Jak funguje Denticor
Ne lepidlo. Ne cement. Mechanické zaklínění.
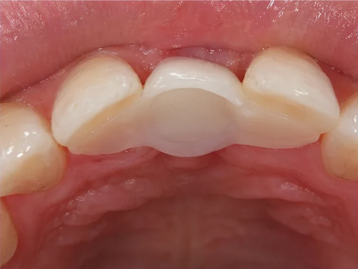
Každý zub má po stranách unikátní povrch — zářezy, výstupky, přirozené nerovnosti. Vámi vybraná zubní korunka sedí na DentiFlex můstku. Po vložení do mezery a přitlačení k sousedním zubům měkký materiál zateče do každé z těchto nerovností. Po ztuhnutí můstek mechanicky obejme sousední zuby a drží na místě — bez lepidla, bez cementu, jen tvarem.
Zepředu i zezadu
Zámok je zezadu — zvonku vidno jen nový zub
Mechanika tvarového zámku se odohráva na zadní strane. Ze strany jazyka DentiFlex obejme sousední zuby a vytvoří oporu, která drží novou korunku na místě. Zepředu se po přitlačení přebytek DentiFlexu vytlačí do tenké vrstvy — výsledek působí prirodzene.
Funguje pro různé situace
Přední zub, stolička — nebo více chybějících najednou
Postup je stejný, ale detail řešení se liší podle toho, který zub chybí a kolik jich chybí. Tady jsou nejčastější scénáře.
Pro každou situaci — který zub chybí, kolik jejich chybí a v které čelisti — máme samostatný návod krok za krokem.
Podívej si všechny návody v poradni →DentiFlex změkne v horké vode
Granulky vhodíte do horké vody (~80–85 °C). Za 2–3 minuty změknou na průhlednou hmotu. Vyberete je lžičkou a spojíte do kuličky na dlani. Materiál je teplý, ale nepálí.
Obejme sousední zuby
Vložíte do mezery. DentiFlex se přitlačí okolo sousedních zubů a vytvoří přesné zárezy podle jejich tvaru. Není to chémia — je to fyzika. Jeden přesný negatívny odtlačok.
Stvrdne a drží mechanicky
Po 60 až 120 sekundách vychladnutí materiál ztvrdne. Má přesný tvar pro vaše konkrétní sousední zuby. Drží mechanicky — jako klíč, který pasuje jen do jednoho zámku.
Žádné lepidlo. Žádný cement. Žádné vrtane. Zub můžete podle potřeby vybrat a opět nasadit. Pokud první pokus nevyjde, materiál lze znovu zahřát a přetvarovat.
Fyzika za principem Denticoru
Denticor je dimenzován na maximální zatížení. Při běžném denním nošení — úsměv, mluvení, měkčí strava — pracuje hluboko v bezpečné zóně.
F = μ × N
Retentná sila = koeficient trenia × prítlačná sila
μ (DentiFlex – sklovina) = 0,3 – 0,5
σ = F / A
Napjatý = sila / kontaktná plocha
Bezpečnostný faktor ≥ 2,0 (zadní)
M = F × d
Ohybový moment = sila × vzdialenost od oporného bodu
Větší mezera = větší moment = pevnější konstrukce
Sily v ústech
Denticor je navrhnutý na maximálne hodnoty. V bežnom živote stačia mnohem nižšie.
| Max. sila skusu | Bežné nosenie | |
|---|---|---|
| Předné zuby | 100 – 175 N | 5 – 20 N |
| Zadní zuby | 350 – 600 N | 30 – 80 N |
Hlavný retenčný mechanizmus není trenie, ale tvarový zámek — můstek tečie do mikroreliéfu sousedních zubů a po stvrdnutí má geometriu, která pasuje jen na ne. Zadní zuby držia silnejšie: mají větší kontaktnú plochu a sila působí téměř kolmo.
Dva druhy DentiFlexu
DentiFlex
Pro zadní a boční zuby
CAPA 6500 — PCL homopolymér
Modul pružnosti: ~400 MPa
Tuhnutie: 60 – 90 s
Tuhší, rychlejší kryštalizuje. Konštrukčný materiál můstku při zadných zubech, kde jsou výše oklúzne sily.
DentiFlex PLUS
Pro přední zuby
CAPA 8502A — PCL ko-polyester diol
Modul pružnosti: nižší
Tuhnutie: 90 – 120 s
Měkčí, pomalšia kryštalizácia — více času na tvarování. Pro přední zuby, kde záleží na precíznosti a presnom dosadnutí korunky.
Nic, co uděláte, se nedá pokazit
DentiFlex je termoplast, který mění svůj stav čistě fyzikálně. Při teplotě nad 60 °C změkne. Při ochlazení ztuhne. Přesně stejná molekulární struktura před i po. Žádná chemická reakce neprobíhá.
Pokud první pokus nevyjde — a při prvním pokusu to téměř nikdy nevyjde dokonale — vhodíte materiál zpět do horké vody. Za dvě minuty je znovu měkký. Začnete odznova.
Bez odpadu. Bez ztráty. Bez stresu.
Nesedí korunka rovně? Zahřejte a narovnejte. Vytvarovali jste můstek trochu hrubě? Zahřejte a přetlačte. Materiál vám odpouští každý pokus.
V praxi to vypadá takto
Princíp mechanického zaklínění a technológiu DentiFlex vyvinula slovenská společnost Sciéntio Laboratories. Denticor je na trhu od roku 2018.
O DentiFlexu
DentiFlex i DentiFlex PLUS jsou na bázi polykaprolaktonu (PCL) — materiálu CAPA od společnosti Ingevity (NYSE: NGVT). Ingevity je globální lídr v PCL technologii s více než 40letou historií.
DentiFlex
CAPA 6500
Polycaprolactone uvádzaný distribútormi jako materiál pro dentální a ortopedické aplikace. Tuhší, rychlejší kryštalizuje. Konštrukčný materiál můstku pro zadní a boční zuby.
DentiFlex PLUS
CAPA 8502A
Lineárny ko-polyester s nižším modulom pružnosti. Pomalšia kryštalizácia — více času na tvarování. Pro přední zuby, kde záleží na jemnej a presnej aplikácii.
Materiál dodávaný přímo od výrobce Ingevity. Certifikace materiálu: TÜV Austria, BPI (Biodegradable Products Institute).
História domáceho nahradzovania zubů
Chybějící zuby lidé řešili tisíce let. Většinou zúfalo.
George Washington měl při prezidentskej prísahe už jen jediný vlastný zub. Alžbeta I. si mezery maskovala kusmi látky. A po Waterloo se zuby padlých prodávái dále jako zboží.
História náhrad zubů není história komfortu. Je to história provizórií, drátov, cudzích materiálov a kompromisov.
2 650 p.n.l. – 500 n.l.
Zlato, kost, jadeit — a první zubař na svete
Hesy-Ra (2650 p.n.l.) — první doložený zubař v histórii. Egypťania — můstky z kosti spojené zlatým drátom. Etruskové — zlaté pásky s lidsdokudi nebo zvířeccími zuby. Mayové — jadeitové inlaye vrtan přímo do živých zubů. Féničania — vyrezávaný slon a zlatý drát.
Číst více
Prvým doloženým zubařem v dějinách byl Hesy-Ra, vysoký úradník na dvore faraóna Džosera okolo roku 2650 před n. l. Jeho hrobka v Sakkáre obsahuje šest cedrových panelov — jedny z najkrajších drevených reliéfov, jaké se zachovali ze starověku — a na nich vytesaný titul Wer-ibeh-senjw, co se prekladá jak „Velký mezi zubaři" nebo alternativne „Velký mezi rezačmi slonoviny". Kromě zubařství byl Hesy-Ra kňazom, hlavným pisárom a správcom daní. Historici dodnes debatujú, či se zubařství učil v Dome Života (inštitúcia, kde se písali medicínske texty), nebo byl samoukom.
Najstaršie doložené pokusy o náhradu zubu — takzvaný el-Quatta bridge — pocházejí z okolia Káhiry, datované okolo roku 2500 před n. l. Dva zuby spojené dvojitým zlatým drátom, objevené egyptológom Hermannom Junkerom v roku 1914. Archeológovia debatujú, či slúžili nositelůi během života, nebo byli pridané při pochovávaní — v každém případe ukazujú, že už před 4 500 rokmi byl chybějící zub důvodem na zásah. Neskorší Ebersov papyrus (okolo 1550 před n. l.) — nejdelší ze staroegyptských medicínskych textov, 20 metrov a 110 stran — obsahuje recepty na bolest zubů: zmesi medu, jačmeňa, bylín a minerálov na ústne výplachy a výpln.
Féničania (okolo 1500 před n. l.) používali zlatý drát na fixaci zubů už před Etruskami. Etruskové (severné Taliansko, okolo 700 před n. l.) posunuli remeslo dále. Jejich zlatotepci vytepávali zlaté pásky, které slúžili jako strojček, a do nich pripevňovali lidské nebo zvířecí zuby. Protézy se našli zejména v hrobech zámožných žen — důkaz, že už v antice byl důstojný úsměv při banketových rautoch společenskou otázkou. Rimania tento postup prevzali a rozšírili. Rímsky lekár Aulus Cornelius Celsus (25 před n. l. – 50 n. l.) v diele De Medicina napsal: „Pokud se některá/é zuby po údere nebo z iných príčin kývajú, třeba jejich zviazat zlatým drátom k stabilným zubem." V roku 2000 archeológovia v Římě odkryli kremované pozostatky ženy z 1.–2. storočia n. l. se zlatou protézou — první archeologický důkaz rímskej protetiky mimo etruských hrobů.
Mayové (Guatemala, Mexiko, Honduras, 250 – 1550 n. l.) išli v odvahe najďalej. Vrtali drobné otevřy přímo do živých zubů kamennými nástrojmi a vkladali do nich inlaye z jadeitu, tyrkysu, obsidiánu, pyritu nebo hematitu. Fixačný cement byl organickej povahy a obsahoval hydroxyapatit (stejnú zložku jakou má lidská sklovina). Mayové dokonca farbili cement tak, aby zodpovedal farbe inlayu — zelený (yax) pro jadeit, černý (ek) pro pyrit. Více jako polovica mayských cementy byla červenkastá — farba, která v samotných kameňoch není, co znamená, že ji Mayové pridávali zámerne.
V roku 1931 manželia Wilson a Dorothy Popenoe objevili v Hondurase čelist mayskej ženy ze 7.–8. storočia, do které byli vsadené tři mušlové implantáty místo dolních rezákov. Röntgenové snímky ukázali výrazný nárast kosti okolo dvou implantátov — první známy případ osseointegrácie, teda vrástania implantátu do kosti. Tá istá žena měla funkčné zubní implantáty 1 200 let před tým, než Per-Ingvar Brånemark tento princip „objevil" v roku 1965.
Nedávna štúdia (2025) publikovaná v Journal of Archaeological Science: Reports priniesla další prekvapenie: jadeitové inlaye se našli i v zubech mayských dětí — doposud se předpokládalo, že tato úprava byla výlučn pro dospelých. Tři zuby s nedokončeným rastom kořenů ukazujú, že inlaye byli aplikované za života dítěťa, ne posmrtne.
Zajímavost: u Mayů se takové dentální úpravy vyskytovaly u všech společenských vrstev a obou pohlaví — až jeden ze tří mužů z elity měl inlay. Nebola to výsada elity jako v Římě — byla to kulturní norma, která se šírila naprieč celou Strednou Amerikou.
500 – 1500 n.l.
Barbieri, kováči a kleště
Po zákaze chirurgie pro mníchov (1163) prevzali úlohu zubaře barbieri-chirurgovia s rozpálenými kleštěmi a bez anestézie. Pokud barbier nebol, šlo se ku kováčovi. Královna Alžbeta I. si mezery vyplňujela kusmi látky.
Číst více
Po páde Rímskej ríše se remeslo náhrady zubů z Európy na dlouhé storočia prakticky vytratilo. Vedomosti antických zlatníkov se nezachovali. Do 12. storočia se starostlivosti o zuby venovali kláštorní mnísi — ale pápežský zákaz v roku 1163 im vykonávanie chirurgických úkonov zakázal. Odvtedy prevzali tuto úlohu lidé, kteří měli ostré nástroje a pevné ruky: barbieri-chirurgovia. Ale i zlatníci, klenotníci a kováči — ktokolvek, kdo měl kleště a istú ruku.
Barbier ohříval kleště, vytrhával zuby bez jakékoliv anestézie (pokud pacient měl štěstí, opil se alkoholom), ošetroval krvácajúce rany obkladmi z pálenej kopřiv nebo rozžeraveným železom. Pokud barbier nebol v okolí, pacienti se obracali na potulného liečitele, kupca na jarmoku — nebo přímo na kováča s bežnými kováčskymi kleštěmi. Dobové ilustrácie ukazujú kováčov, jako trhajú zuby na trhu při hudobnom sprievode — hudba slúžila i jako distrakcia pro diváka, i jako překryty kriku pacienta.
V 14. století zostrojil francúzsky chirurg Guy de Chauliac nástroj nazvaný „pelikán" (tvarovo pripomínal vtáčí zobák). Používal se na extrakcie zubů až do 18. storočia a způsobil nespočetn mnoho zlomených čelustí, lebo často vytiahol spolu se zubem i okolnú kost. Pelikán byl v skutečnosti taký brutálny, že čelustné zlomeniny byli považované za běžný „vedlajší efekt" ošetřenia.
Náhrady v tomto období prakticky neexistovali. Královna Alžbeta I. (vládla 1558 – 1603) měla vážne problémy se zuby a při verejných vystúpeniach si vyplňujela mezery kusmi bielej látky, aby nebolo vidět, že jej chybí zuby. Královna Anglie, cisárovná mnohých území — a napriek tomu jej jediným dostupný řešením byla handra.
Najstaršia známa európska kompletná zubní protéza pochází z hrobu při Kolíne nad Rýnom z roku 1500, je vyrobená z kosti a fixovaná dvomi pružinami. Pro bežného Európana byla úplně nedostupn. První moderná kvalifikácia v zubnom lekárstve — Licence in Dental Surgery (LDS) — vznikla v Británii až v roku 1860. To znamená, že po celé stáročia vaše zuby léčili lidé bez jakéhokoliv formálneho vzdelania.
1558 – 1603
Čierne zuby jako symbol bohatstva
V alžbetínskej Anglii byl cukr taký drahý, že černé zuby — rozožraté cukrom — se stali symbolom bohatstva. Kdo měl biele zuby, byl chudobný. Chudobní si proto zámerne čiernili zuby sadzami, aby vypadali bohatšie.
Číst více
Cukr se do Anglie dostal s koloniálním obchodem v 16. století, ale jeho cena ho dělala dostupný jen pro elitu — stál téměř tolik co koření nebo perly. Aristokracie ho konzumovala v obrovských množtvách. Gróf z Northumberlandu objednal za jediný rok více jako 900 kilogramov cukru. Král Henrich VIII. měl vlastního osobního cukrára.
Alžbeta I. byla známa svou závislosťou na sladkom. Čistila si zuby pastou z cukru a medu nanesenou handrou — co jejich ničilo ještě rychlejší. Když ji v roku 1599 navštívil nemecký cestovatel Paul Hentzner, popsal ji slovami: úzke pery, černé zuby — chyba, kterou Angličania trpia pro nadmerné používanie cukru.
Když v decembri 1578 už královna nedokázala spat od bolesti zubů, lekári jej doporučili vytržení. Odmietla — bála se bolesti. Aby ji presvedčil, nechal si londýnsky biskup John Aylmer před jej očami vytiahnut vlastný zub — hoci jejich už hodně neměl. Královna nakoniec súhlasila.
Alžbeta zároveň zakázala zobrazovanie nelichotivých portrétov své osoby. Prikazovala, aby všechny nové portréty vychádzali z jedné idealizovanej šablóny. Na slávnom Rainbow Portrait z roku 1600 vypadá jako mladá žena — v skutečnosti měla téměř 70 let a většinu zubů už stratila.
1500 – 1800
Slonovina, cukr a zuby otrokov
Cukrová epidémia v 18. století zničila zuby celé Európy. Najbežnejšie materiály protéz: slonovina a hrošie kly. Do nich se vsádzali lidské zuby — kupované od chudobných, vytahované odsúdencom, nebo koupiené od otrokov. George Washington měl protézy z hrošieho kla s mosadznými klincami — a možná se zuby svých otrokov.
Číst více
V 18. století nastala zásadná zmena: cukr. Atlantický obchod s otrokmi sprístupnil cukr masám v Európe a Severnej Amerike. Sladkosti se stali módou — a s nimi prišiel masový zubní kaz. Dopyt po protézach explodoval a s ním i celé nové odvetvie: dentistika.
Francúzsky lekár Pierre Fauchard vydal v roku 1728 knihu Le Chirurgien Dentiste — první kompletný traktát o modernej stomatológii, vrátane postupů výroby protéz. Napriek pokroku však zůstala pravda nezmenená: zubní náhrady byli luxus, který si běžný člověk nemohol dovolit.
Najbežnejšími materiálmi byli slonovina a hrošie kly — z nich se vyrezávala základná doska protézy, do které byli pripevnené lidské zuby. Cena kompletnej protézy byla v 80. letech 18. storočia více než 100 libier — v dnešných peniazoch ekvivalent desiatok tisíc eur. Lidské zuby byli vyhledávnejšie jako porcelánové nebo slonovinové — byli pohodlnejšie, vypadali prirodzenejšie a lepší se s nimi jedlo.
Bežným zdrojom byli chudobní lidé, kteří si nechávali vytrhávat zdravé zuby za pár šilingov. Inzerát v newyorskom novinách z roku 1783 ponúkal 2 guineas za každý zdravý přední zub. Dobové karikatúry zobrazujú chudobných mužů a deti sediace s otevřenými ústami před zubařem, zatím co bohatá dáma čeká v nasledujúcej miestnosti na „nové" zuby.
George Washington — první prezident USA — trpel zubními problémami celý dospelý život. Když v roku 1789 skladal prvú prezidentskú prísahu, měl v ústech už jen jediný vlastný zub: dolní levý první premolár. Jeho zubař Dr. John Greenwood z New Yorku mu vyrobil protézu z hrošieho kla, lidských zubů a mosadzných klincov, s otevřom pro ten jediný zůstávajíc zub. Záznamy z Mount Vernonu ukazujú, že Washington kupoval zuby od svých otrokov — historici nevědí s istotou, či tyto zuby skončili v jeho vlastných protézach. Mýtus o „drevených zubech" vznikll z toho, že slonovinové zuby po letech pitia portského vína a madeirského vína sčerneli a vypadali jako drevo. Washingtonov zubař mu v liste z roku 1798 vyčítal: „Sada, kterou jste mi poslali z Filadelfie, byla velmi černá… portské víno, keďže je kyslé, odnáša z nich všetok lesk."
Istý pokrok priniesol rok 1770, když francúzsky lekárnik Alexis Duchâteau vyrobil první porcelánové protézy. Sám trpel na zapáchajúce protézy z hrošieho kla a chtěl něco lepší. Porcelán však praskal, byl příliš biely, působil neprirodzene. Zubař Nicolas Dubois De Chemant porcelán zlepšil a v roku 1791 získál první britský patent.
1815 – 1860
„Waterloo teeth"
Po bitke při Waterloo (18. jún 1815) zůstalo na bojisku približne 50 000 padlých. Obchodníci z Londýna systematicky vytrhávali zuby mrtvym, triedili jejich do sudov a prodávái zubařem. Prax přetrvala přes Krymskú vojnu až do americkej občianskej vojny.
Číst více
18. júna 1815 se při belgickej dedine Waterloo odohrala bitka, v které britsko-pruské vojská porazili Napoleona. Na bojisku zůstalo ležat približne 50 000 padlých vojakov — většinou mladých mužů se zdravým chrupom. Jejich telá ležali v bahne dva dny, dokud jejich začali pochovávat.
Během tých dvou dní se na bojisku zjavili tři skupiny lidí: prežívajúci vojaci, miestni obyvatelia a profesionálni lúpežníci — některí prišli až z Londýna, vyzbrojení kleštěmi. Systematicky vytrhávali přední zuby mrtvym vojakom, triedili jejich do drevených sudov a v zimných mesiacoch jejich prodávái zubařem na Londýnskej burze. Moláre se z bojísk tahali zriedkavo — byli příliš hlboko zasadené a těžší se vytahovali. Proto se protézy skladali prevažne z předních zubů.
Zuby se vyvarili, skrátili se kořeny, zotriedili se podle velikosti a namontovali se na platne ze slonoviny nebo hrošieho kla s pružinami. Keďže zuby pocházeli od různých lidí, žádná protéza nebola z jedného chrupu — byli to vždy zmesi od různých darcov. Výsledné protézy se v Londýne prodávái pod prezývkou „Waterloo teeth" a zubaři se nimi chválili v inzerátoch.
Pro zákazníků mělo psychologické čaro nosit zuby z „padlého hrdinu anglickej armády". Lepšie mít zuby od relatívne zdravého mladého muža zabitého delovou gulou nebo šablou, než rezáky vytiahnuté z nemocí zhnitej mrtvoly z hrobu nebo z obešenca, který příliš dlouho visel na šibenici. Realita byla krutejšia — zuby mohli pocházet i z mrtvol z hromadných hrobů, od popravených zločincov, nebo od obetí tyfusu, kterých mrtvoly si zaobstarávali tzv. resurrection men (hrobári-zlodeji, vykrádajúci čerstvo pochované telá).
Jedným z obchodníkov, kteří se na Waterloo nachádzali, byl Claudius Ash — vojnový chirurg, který zuby z bojiska následně prodává a později se stal jedným z najvýznamnejších výrobcov zubních protéz v Británii.
Obchod s Waterloo teeth prežil do polovice 19. storočia. Podobné vlny zásobovania vyvolala Krymská vojna (1853 – 1856) a Americká občianska vojna (1861 – 1865) — po tej druhej americkí obchodníci vyvážali zuby padlých vojakov do Európy v sudoch po tisícoch. V Londýnskom múzeu Britskej dentální asociácie (BDA) si dodnes můžete podívat se na originální protézu ze slonoviny s „Waterloo teeth" zasadenými do platne.
1850 – 1937
Vulkanit a akrylát
Charles Goodyear v roku 1839 objevil vulkanizáciu kaučuku. První vulkanitová protéza prišla v roku 1854 — prvýkrát si zubní protézy mohli dovolit i bežní lidé, ne jen elita. V roku 1937 se etabloval PMMA — dodnes standard.
Číst více
Bod zlomu priniesol americký vynálezca Charles Goodyear. V roku 1839 objevil vulkanizáciu kaučuku — proces, kterým se měkká prírodná guma mení na tvrdý, formovatelný materiál. Jeho brat Nelson Goodyear tento materiál pomenoval Vulcanite a v roku 1851 ho patentoval. V roku 1854 vznikla první vulkanitová zubní protéza — kombinácia vulkanitovej bázy a porcelánových zubů.
Vulkanit zásadne zmenil ekonomiku protetiky. Byl cenově dostupn, pružný, dal se přizpůsobit individuálnímu tvaru čelisti, držel pomocu vákua a vypadal prirodzene. Prvýkrát v dějinách si zubní protézy mohli dovolit i bežní lidé, ne jen bohatí.
Vulkanit dominoval téměř 75 let. V roku 1909 Leo Baekeland vynašiel bakelit, první plne syntetický plast. Bakelit priniesol další pokrok, hoci měl problém s farbou a homogenitou. Definitívnym víťazom éry se však stal materiál, který dodnes dominuje protetike: polymetylmetakrylát (PMMA), uvedený do dentální praxe v roku 1937.
1980 — dnes
Hrudka plastu, TikTok a 120 miliónov lidí bez zubu
V USA chybí aspoň jeden zub 120 miliónom dospelých — a 72 miliónov z nich nemá zubní poistenie. V 80. letech prišiel Dentemp — první volně prodejný zubní cement. Po roku 2010 prišlo něco horšie: balíčky plastových kuliček z čínskych e-shopov, které má pacient rukou vytvarovat do tvaru zubu. Na TikToku má hashtag #DIYdentist více než 3 milióny zhliadnutí.
Číst více
Dentemp je na trhu více jako 40 let. Zinkoxid-eugenolový prípravok určený na dočasné prilepenie uvolněnej korunky nebo výpln — ne na výrobu nového zubu. Dodnes je nejpredávanejší volně prodejná dentálna pomůcka v USA. Později prišli konkurenčné produkty (DenTek Temparin, založený v roku 1985) s podobným zložením. Všechny řeší stejný problém: něco vypadlo, třeba to prilepit nazpět na pár dní. Žádný z nich nevytvorí nový zub.
S nástupom globálnych e-shopov se po roku 2010 objevila úplně nová kategória: „tooth repair kits" — balíčky termoplastických granuliek. Bezmenní čínski výrobcovia s názvami jako Formit Crafts, Sukh, SmileFix, Brige, JXE JXO, Ceonam, RAINFLOW a desiatky dalších prodáváú plastové kuličky, které se v horké vode změkú. Pacient má materiál rukou vytvarovat do podoby zubu. Ceny se pohybujú okolo 10–500 Kč. Některé balení neprichádzajú ani s tlačeným návodom — inštrukcie jsou zakopané v popise produktu na Amazonu. Jediné, co mají spoloční: nálepku „Made in China" a žádné dohledatelné informace o výrobci.
Materiál není certifikovaný jako bezpečný pro kontakt s potravinami. Nemá certifikaci FDA. Recenze na Amazonu popisují výsledky, které vypadají jako bílá žvýkačka nalepená na zubech. Zubaři varují, že pod plastom se hromadia baktérie a zvyšky jedla, co vedie k ďasnovým ochoreniam a dalšímu rozpadu zubů — a v konečnom důsledku k drahšiemu zákroku, než byl ten, kterému se pacient původně snažil vyhnout.
Na TikToku se z toho stal virálny fenomén. Lidé natáčajú videá, jako si vyrábajú zuby z InstaMorph kuliček, pilujú si zuby pilníkom na nechty, lepia si mezery dentálnym cementom z Amazonu nebo si robia domáce fazety z kompozitnej živice po dvojdňovom online kurze. Jedno video s návodom na výrobu zubu z plastových kuliček získálo 1,7 milióna zhliadnutí. Zubaři reagujú vlastnými videami, kde ukazujú následky — zničenú sklovinu, recesiu dásní, zuby popraskané od neodborného zásahu.
Proč to lidé robia? Odpoveď je jednoduchá: nemají na zubaře. Tretina dospelých Američanov nebola u zubaře za posledný rok. 43 % uvádza jako důvod cenu. Stovky tisíc Američanov ročne cestujú za zubním ošetřením do Mexika, Kostariky, Maďarska nebo Thajska — i s letenkou a hotelom je to levnějšíe než ošetřenie doma. V Európe je situace lepší, ale i tu jsou zubní implantáty pro většinu lidí finančne nedostupn — běžná cena jedného implantátu na Slovensku je 800–2 0 Kč.
Každá situace v ústech je jiná
Přední zub se řeší jinak než stolička. Univerzální návod pro každého neexistuje — proto diagnostika připraví návod přesně pro vás.
Spustit diagnostiku →PO–PIA 8:00–19:00
Obsah a vybrané odborné formulace byli redakčne a odborně konzultované s PharmDr. Mariannou Žitňanovou (výzkum a vývoj léků, 15 let praxe) a Mgr. Máriou Spišákovou (klinická farmacie, vědecký výzkum a vývoj, 40 let praxe).
