Vložit a Vybrat: rychlá náhrada chybějícího horného predného zubu (rezák)

Přední rezák je jeden z nejlehčích scénářů. Okolní zuby (stredný rezák + boční rezák) poskytujú dobrý tvarový zámek. Pokud zaklesnutí nedrží (boční rezák je velmi tenký), fazeta nalepená DentiFlex je záloha.

Horní řada — gravitace táhne dolů, kontakty musí být těsné.

DentiFlex se dá opakovaně zahřívat (80–85 °C) a přetvarovat — nemůžete nic pokazit. Většina lidí to má na druhý pokus perfektné.

⚡ Vložit a Vyjmout

Tento návod je pro situace, kdy potřebujete nový zub na 1–2 dny — večírek, pohovor, focení, schůzka. Jednoduchý alternativní postup. Konstrukce drží spolehlivě na krátké období.

Pro dlouhodobé nošení (týdny) použijte hlavní návod →

Náročnost

2/5

Čas

10–15 minut

Materiál

DentiFlex, 3 g (asi tretina lahvičky DentiFlex)

Úspěšnost

94%

Retence

Zaklesnutí nebo fazety

Řada zubů

Horní, přední zóna

Jak konstrukce drží

Zaklesnutí s korunkami (standard) nebo plochý můstek s fazetami (prémiová estetika). Obě metody fungují — záleží na Vašem balení a preferencích.

Z čeho se konstrukce skládá

Konstrukce se skládá z keramické korunky a můstku z DentiFlex materiálu. Můstek je schovaný zevnitř (od jazyka) — zvenku vidíte jen nový zub.

HORNÍ PŘEDNÍ ŘEZÁK — prierez (tvarový zámek) ▲ VENKU (rty) · ▼ UVNITŘ (jazyk) Okolní zub (HRUBÝ) Okolní zub (TENKÝ) KORUNKA MŮSTEK (DentiFlex, 80–85 °C) zámek zámek Vytlačený materiál mezi můstkem a okolními zuby = TVAROVÝ ZÁMEK
HORNÍ PŘEDNÍ ŘEZÁK — pohled zepředu Okolní NOVÝ ZUB Okolní Zvenku vidíte jen korunky. Můstek je schovaný zevnitř.
HORNÍ PŘEDNÍ ŘEZÁK — Variant A (korunka) vs B (fazeta) Okolní Korunka (A) Fazeta (B) Okolní A: rychlejší, 1 fáze. B: hezčí, 3 fáze. Obě fungují.
HORNÍ PŘEDNÍ ŘEZÁK — fázy postupu 1. Můstek DentiFlex 80–85 °C 2. Ztuhnout 3 minuty nepipat 3. Fazeta DentiFlex 50–55 °C
HORNÍ PŘEDNÍ ŘEZÁK — postup v jednom pohlede 🦷 Korunka 💧 Voda 📦 DentiFlex Změkčit 📏 Můstek ⬇️ Vtlačit 👄 Do úst 🔧 Kontakty 📐 Výška Ztuhnout Hotovo Celkový čas: 10–15 minut

Vložit a vyjmout

Nejprve vytvoříte celý celek. Pak ho vložíte do mezery a dotvarujete na místě.

U tohoto rychlého postupu se nedělají samostatné úchytky. Měkký DentiFlex můstek s korunkou se připraví jako jeden kus, vloží se do mezery a následně se prsty jemně přitlačí a dotvaruje tak, aby se přizpůsobil okolí.

Vizuální postup vloženia a dotvarovania náhrady — horní přední rezák Vizuální postup vloženia a dotvarovania náhrady — horní přední rezák Vizuální postup vloženia a dotvarovania náhrady — horní přední rezák Vizuální postup vloženia a dotvarovania náhrady — horní přední rezák

Obrázek slouží jako orientační vysvětlení postupu. Přesné množství DentiFlexu, šířka můstku a finální dotvarování se vždy přizpůsobuje Vašim zubům.

Konstrukce1 korunka + 1 můstek
Nasazenívkládá se jako celek
Dotvarováníprsty přímo v ústech
Vzhledzvenku vidíte hlavně nový zub

Postup krok za krokem

1

Změkčete DentiFlex

Uvarte vodu, odstavte na 1–2 minuty. Nalejte do hrnčeka. Vysypte ~3 gramy DentiFlex. Počkejte dokud granulky nebudú úplně příesvitné (~2 minuty). Vyberte lžičkou.

2

Udělejte kostku podle šířky mezery

Z příesvitného materiálu vytvarujte kocku — velikost přizpůsobte šírke mezery. Přední rezák je úzky, kocka bude malá. Toto bude budúci můstek.

3

Vyberte vhodný zub a otestujte

Z balení vyjměte plochú korunku lopatkovitého tvaru — největší přední zub. Priložte ho k mezeře — zkontrolujte, či se zmestí a či má po stranách voln prostor (tam se uchytí můstek). Velký přední rezák — plochý, lopatkovitý tvar.

💡 Postupem času se okolní zuby posouvají směrem do volného prostoru — mezera může být menší než původní zub. Někdy stačí jeden menší zub místo původního.
4

Zub strčte do kostky

Vybranou korunku zatlačte do ještě měkké kostky. Zubní část směřuje ven (ke rtům), můstek zůstane za ní (k jazyku).

5

Vložte do mezery a pořádně zatlačte

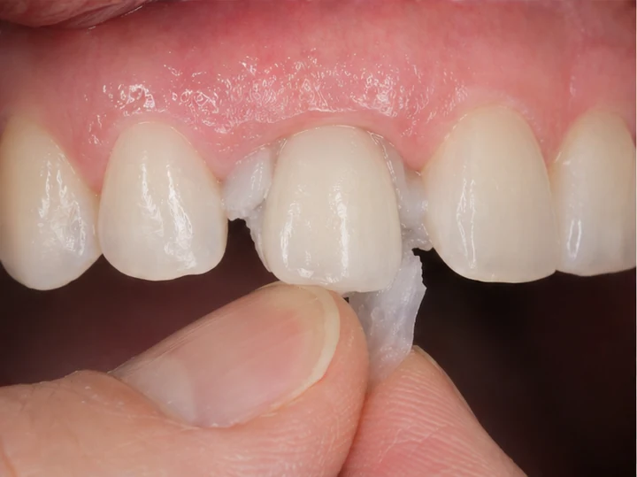
Celú konstrukci (zub + kocka) vložte do mezery v horním rade. Korunka von, můstek k jazyku. Před vložením jemne osušte servítkou místo, kde chybí zub (dáseň i okolní zuby). Materiál také osušte. Přitlačte nahor k dásni. Materiál se vytlačí do příestorov okolo — mezi sousední zuby.

6

Jemně povytáhněte — udělejte vůli

To je důležité: jemně konstrukci povytáhněte směrem ven z mezery. Jen trošku — aby můstek nebyl úplně napevno. Pokud by byl příliš těsný, budete mít problém s vyjímáním. Mírná vůle = snadné nasazování i vyjímání. Když náhradu vyjmete, boční strany se mírně zkrátí — to je normální. Při opětovném nasazení se materiál znovu přizpůsobí.

7

Skousněte

Jemně skousněte — nová zubní náhrada přesně sedne na své místo. Uvidíte i pocítíte, že výška sedí oproti ostatním zubům.

8

Jazykem nahmatejte přebytečný materiál

Jazykem projděte okolo můstku. Kde cítíte, že materiál přečnívá nebo Vám vadí — odstřihněte to nůžkami nebo přebytečnou část ponořte do horké vody — změkne jen ponořená část a jednoduše ji oddělíte.

9

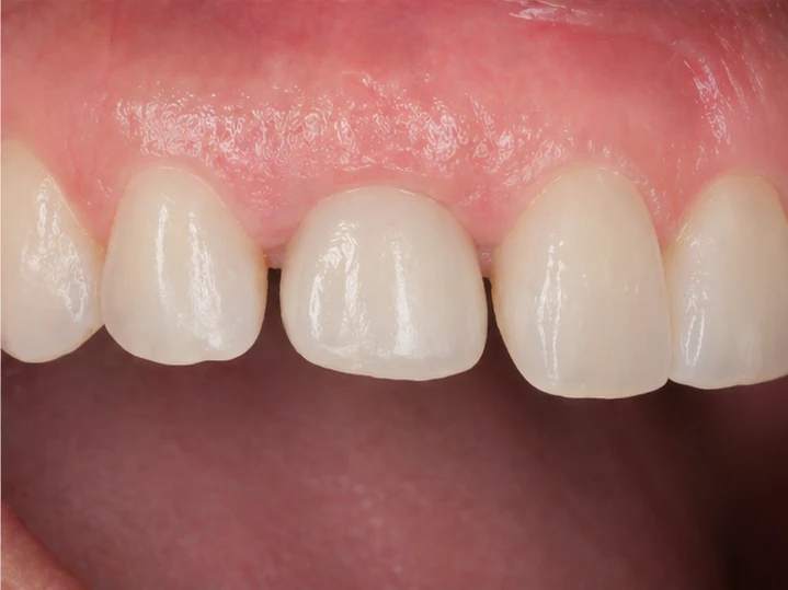
Nechte ztuhnout — hotovo

Nechte konstrukci v ústech 2–3 minuty nebo popijte studenou vodu. Materiál ztuhne. Podívejte se do zrcadla — nový zub je na místě.

Pokud nedrží?

Ponořte boční strany celé zubní náhrady do horké vody — změkne jen to, co jste do vody vložili. Pak náhradu znovu nasaďte — ne pod pravým úhlem, ale pod mírným úhlem, který Vám vyhovuje. Prsty stlačte boční strany můstku směrem k sousedním zubům, aby je dobře obklopily. Na nich to drží.

Co když se to nepovede napoprvé?

DentiFlex je možné opakovaně zahřívat (80–85 °C) a přetvarovat — nic nemůžete pokazit. Materiál se přitom nepoškodí.

Můstek nedrží / padá

Příčina: Kontakty s okolními zuby jsou voln, hlavne s tendokud bočnm rezákom.

Řešení: Změkčete (80–85 °C). Přitlačte kontakty TESNEJŠIE. Pokud stále nedrží — boční rezák je příliš tenký pro zaklesnutí. Projděte na FAZETU: změkčite, urobte můstek BEZ korunky (plochý), nechte ztuhnout, nalepte fazetu DentiFlex-om (50–55 °C) na prednú stranu.

Zub je příliš vysoký

Příčina: Můstek nesedí dost hlboko mezi zuby.

Řešení: Změkčete. Zatlačte můstek hlbšie k dásni. Jemne zahryznitím zarovnajte.

Materiál je příliš tekutý / lepí sa

Příčina: Voda byla příliš horká.

Řešení: Nechte kuliču 30–60 sekund chladnút na vzduchu. Správná konzistencia: jako teplý vosk.

Materiál ztuhl příliš rychle

Příčina: DentiFlex tuhne rychlejší než DentiFlex. Normálne.

Řešení: Vhoďte zpět do horké vody (80–85 °C). Změkne znova. Opakovaně, bez ztráty kvality.

Vidno materiál zvonku

Příčina: Můstek je zvonku místo zvnútra.

Řešení: Změkčete. Otočte — můstek ZVNÚTRA (od jazyka), korunka VON.

Péče

Na noc konstrukci vyjímejte. Jednou týdně namočte do ústní vody (Listerine nebo podobné). Na čištění NIKDY nepoužívejte horkou vodu — materiál by změkl. Stačí vlažná voda a měkký kartáček.

Kdy Denticor není vhodný

Pokud máte čerstvou ránu, zánět nebo otok — počkejte na zhojení. Pokud se okolní zuby kývají — Denticor nemá o co se zachytit. V těchto případech nejprve navštivte zubaře.

Související návody

Vaše situace může být trochu jiná:

HORNÍ BOČNÍ ŘEZÁK

2/5 obtížnost, 10–15 minut

HORNÍ ŠPIČÁK

4/5 obtížnost, 15–20 minut

HORNÍ PREMOLÁR

3/5 obtížnost, 15 minut

Nevíte, který návod je Váš?

AI diagnostika to zjistí za 2 minuty, vytvoří návod na míru a pořadí nejvhodnější Denticor balení.

Vyzkoušet diagnostiku →

Nepoužívejte Denticor při: čerstvé ráně po extrakci, zánětu dásní, kývajících se zubech. Při pochybnostech nejprve navštivte zubaře.

AI Zjistěte, zda je Denticor pro Vás
Spustit diagnostiku