Chybí mi horní premolár — jako si ho nahradím?

Premolár — malá stolička, kterou zvonku téměř nevidno. Ale vy víte, že tam není. Cítite to při jedení, při rozprávaní, a občas i tu mezeru jazykem.

Hoci premolár není esteticky taký kritický jako přední zuby, jeho absencia postupne ovlivňuje sousední zuby — začínajú se nakláňat do mezery. Denticor vám pomůže tuto mezeru preklenút.

I když ho nevidno při úsměve, víme, že vás trápi. Tu je přesný návod — zvládnete to.

Náročnost

3/10 — jednoduché

Čas

15–20 minut

Materiál

DentiFlex, 4–5 g

Úspěšnost

85 — 92 %

Výdrž

4–10 týdnů

Řada zubů

Horní, boční zóna

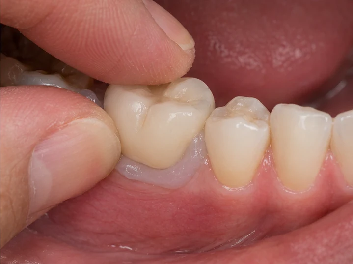
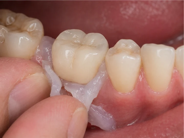
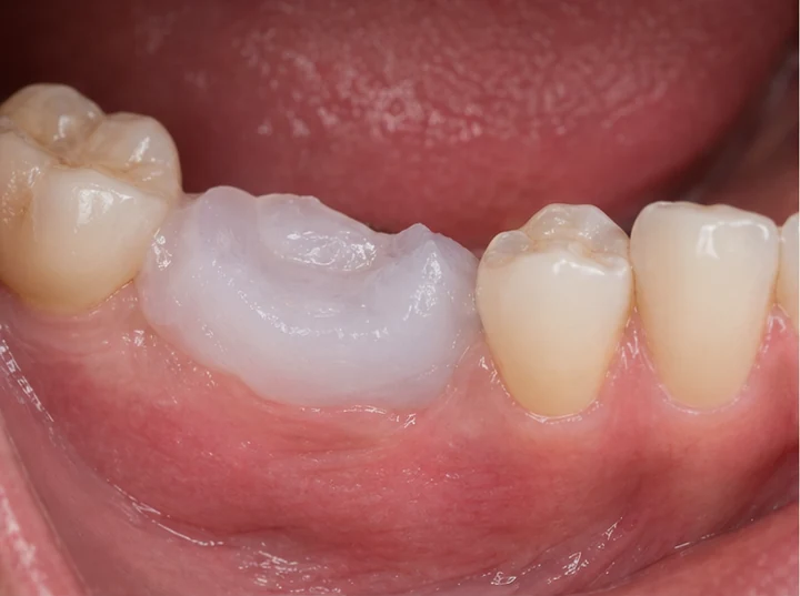
Vizuální návod

Tyto vizuální návody jsou platné pro tento typ problému

Vizuální návod — chybějící horní premolár Vizuální návod — chybějící horní premolár Vizuální návod — chybějící horní premolár

Proč právě DentiFlex?

Premolár je v bočnej časti úst, kde je větší žvýkací zátěž jako při předních zubech. Proto používate DentiFlex (ne PLUS) — je tvrdší a pevnější po stuhnutí. Rychléjšie tuhne, co znamená kratší pracovný čas, ale na boční zub to úplně stačí — nepotřebujete takú přesnost jako při předních.

Z čeho se konstrukce skládá

Celá náhrada se skládá z nového zubu a můstku z DentiFlex materiálu. Můstek i zaklesnutí jsou z jednoho kusu — konce můstku prsty vytáhnete a ohnete okolo sousedních zubů.

Pohled zezadu (od jazyka) — zvenku vidíte jen nový zub Sousední zub Sousední zub NOVÝ ZUB MŮSTEK Dáseň Můstek + zaklesnutí = jeden kus materiálu. Konce můstku prsty ohnete okolo sousedů.

Postup krok za krokem

1

Vyberte si nový zub z balení

Otevřete balení s 84 zuby. Premolár je menší než stolička, ale větší než rezák. Na žuvacej ploche má dva hrboleky. Priložte ho k mezeře a porovnajte se sousedními zuby. Nemusí sediet na milimeter přesně — stačí podobná velikost a tvar.

2

Připravte si horkou vodu

Ohřejte vodu na 80–85 °C. Nesmí vřít. Jednoduchá zkouška: ponoříte prst na dvě sekundy — pokud je to horké, ale ještě snesitelné, teplota je správná.

3

Změkčete DentiFlex

Odoberte 4 — 5 gramov a vhoďte do horké vody. Za 2 — 3 minuty se granulky stanú průhlednnými a měkdokudi. Spojte jejich do jedné kuličky. DentiFlex tuhne rychlejší jako PLUS — pracujte proto svižne.

Proč průhledné? Materiál mění barvu podle stavu — bílé granulky = tvrdý. Průhledná hmota = měkký, připravený na tvarování. Když v ústech ztuhne, opět zbělá.
4

Vytvořte můstek

Kuličku roztlačte do plochého obloučku dlouhého asi 3 cm. To je můstek — základ, na kterém bude nový zub sedět. Můstek se umisťuje na vnitřní stranu zubů, tedy od jazyka. Zvenku ho nikdo neuvidí — viditelný bude jen nový zub. Pro boční zuby robte můstek o něco širší než pro přední — asi centimeter.

5

Nasaďte nový zub na můstek

Nový zub zatlačte do středu můstku. Spodní část se mírně zaboří do měkkého materiálu — přesně to chceme. Materiál zub obepne a udrží ho na místě.

6

Vytvořte zaklesnutí

Zaklesnutí ne jsou žádná samostatná súčiastka — jsou to jednoduše konce toho istého můstku. Uchopte levý konec můstku prstami a vytiahnite ho do jazýčku dlhého asi 1 — 1,5 cm. To isté na pravom konci. Jednu na oční zub, druhú na stoličku. Tyto jazýčky potom v ústech ohnete okolo sousedních zubů — obejmou jejich a budou držet celou konstrukci na místě.

Žádné lepidlo, žádná chemie. Celé drží čistě mechanicky — zaklesnutí obepnou sousední zuby a drží na místě.
7

Vložte do úst a tvarujte

Celou konstrukci vložte do mezery v horní řadě. Palci přitlačte zaklesnutí okolo sousedních zubů. Tvarujte je tak, aby co nejlépe kopírovaly tvar sousedů. Čím těsněji sedí, tím lépe drží.

Důležité pro horní řadu: konstrukce visí vzhůru nohama a gravitace ji táhne dolů. Zaklesnutí proto musí sedět opravdu těsně. Při tvarování je důkladně přitlačte — to je klíč k tomu, aby zub držel spolehlivě.
8

Zarovnejte výšku

Velmi jemně skusujte — jen natolik, abyste zarovnali nový zub do správné výšky. Nesmí být vyšší než sousední zuby. Pokud je, můstek zatlačte hlouběji. Premolár by měl byt o něco nižší než sousední zuby.

9

Nechte ztuhnout

Popíjejte studenou vodu, nebo prostě počkejte 2–3 minuty. Materiál ztuhne do trvalého tvaru. Od tohoto momentu drží.

Zkouška úsměvu

Otevřete ústa dokořán před zrcadlem, jako byste se od srdce smáli. Drží? Výborně, hotovo!

Co když se to nepovede napoprvé?

Vůbec to nevadí. Vhoďte celou konstrukci zpět do horké vody — materiál opět změkne a můžete začít znovu. Nic se neztratí ani neznehodnotí. DentiFlex je možné opakovaně změkčovat a přetvarovávat bez jakékoli ztráty kvality. Materiál je k tomu navržen.

Péče

Na noc zub vyjímejte. Jednou týdně ho namočte do ústní vody (Listerine nebo podobné). Na čištění nikdy nepoužívejte horkou vodu — materiál by změkl a ztratil tvar. Stačí vlažná voda a měkký kartáček.

Kdy Denticor není vhodný

Pokud máte na místě chybějícího zubu čerstvou ránu, zánět nebo otok — počkejte na zhojení. Pokud se sousední zuby kývají — Denticor nemá o co se zachytit. V těchto případech nejprve navštivte zubaře.

Související návody

Vaše situace může být trochu jiná. Podívejte se, zda Vám nesedí některý z těchto scénářů:

Stejný zub v dolním rade?

Malá stolička v dolní řadě — 3/10, 15–20 minut

Chybí i špičák vedle?

Dva zuby na přechodu mezi přední a zadní částí — 5/10, 25–35 minut

Chybí i stolička vedle?

Dva premoláry nebo premolár a stolička — 5/10, 25–35 minut

Nevíte, který návod je Váš?

AI diagnostika to zjistí za 2 minuty, vytvoří návod na míru a pořadí nejvhodnější Denticor balení.

Vyzkoušet diagnostiku →

Nepoužívejte Denticor při: čerstvé ráně po extrakci, zánětu dásní, kývajících se zubech, koncových mezerách (bez sousedního zubu z jedné strany).

AI Zjistěte, zda je Denticor pro Vás
Spustit diagnostiku