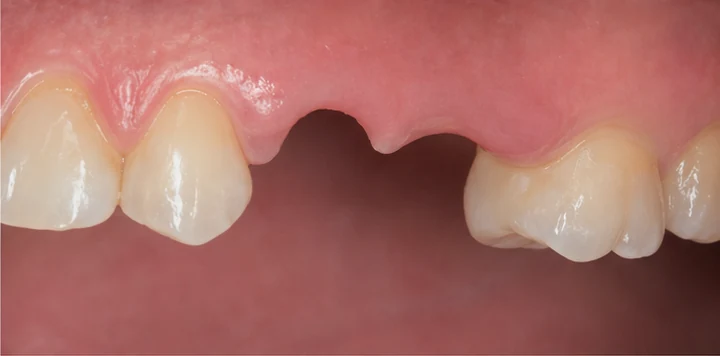
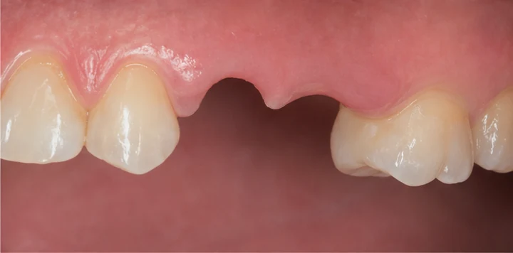
Chybí mi dva horní boční zuby vedle seba — jako si jejich nahradím?

Dva boční zuby vedle seba — velká mezera v žuvacej zóne. Jedlo se zachytáva, žuvanie je nepohodlné, a jazykem neustále nahmatáte prázdne místo.

Dva zuby na jednom můstku zvýšia objem konstrukce, takže potřebujete více materiálu a více trpělivosti. Ale princip je stejný — můstek, dva zuby, zaklesnutí na sousedů.

Více materiálu, více trpělivosti, ale princip je stejný. Zvládnete to.

Náročnost

5/10 — středně nároční

Čas

25–35 minut

Materiál

DentiFlex, 10 — 12 g

Úspěšnost

78 — 85 %

Výdrž

3–7 týdnů

Řada zubů

Horní, boční a zadní zóna

Vizuální návod

Tyto vizuální návody jsou platné pro tento typ problému

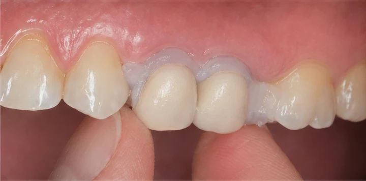
Vizuální návod — chybějící dva horní premoláre Vizuální návod — chybějící dva horní premoláre Vizuální návod — chybějící dva horní premoláre Vizuální návod — chybějící dva horní premoláre Vizuální návod — chybějící dva horní premoláre Vizuální návod — chybějící dva horní premoláre Vizuální návod — chybějící dva horní premoláre Vizuální návod — chybějící dva horní premoláre Vizuální návod — chybějící dva horní premoláre Vizuální návod — chybějící dva horní premoláre

Proč právě DentiFlex?

Boční a zadní zuby = DentiFlex (tvrdší, pevnější). Dva zuby v žuvacej zóne znamenajú větší zátěž na konstrukci. Proto více materiálu (10 — 12 gramov) a širší můstek. Pokud mají zuby dutinky, vyplňte jejich materiálom — vnitřní zámek výrazne zlepší stabilitu.

Z čeho se konstrukce skládá

U dvou sousedních zadních zubů jde o robustnější DentiFlex můstek, který nese dvě korunky a napojuje se na okolní zuby. Nepotřebujeme unikátní obrázek pro každý pár — princip je stejný jako u zadního zubu, jen můstek je delší.

Jak Denticor funguje při chybějících dvou horních premolároch

Postup krok za krokem

1

Vyberte dva nové zuby

Boční nebo zadní tvary. Pokud mají dutinky, vyplňte jejich materiálom — vznikne vnitřní zámek.

2

Připravte si horkou vodu

Ohřejte vodu na 80–85 °C. Nesmí vřít. Jednoduchá zkouška: ponoříte prst na dvě sekundy — pokud je to horké, ale ještě snesitelné, teplota je správná.

3

Změkčete DentiFlex

Odoberte 10 — 12 gramov a vhoďte do horké vody. Za 2 — 3 minuty se granulky stanú průhlednnými a měkdokudi. Spojte jejich do jedné kuličky. DentiFlex tuhne rychlejší jako PLUS — pracujte proto svižne.

Proč průhledné? Materiál mění barvu podle stavu — bílé granulky = tvrdý. Průhledná hmota = měkký, připravený na tvarování. Když v ústech ztuhne, opět zbělá.
4

Vyplňte dutinky (pokud jejich zuby mají)

Odlomte malé kúsky materiálu a vtlačte do dutiniek obou zubů. Vnitřní zámek výrazne spevní konstrukci při žuvacom tlaku.

5

Vytvořte můstek

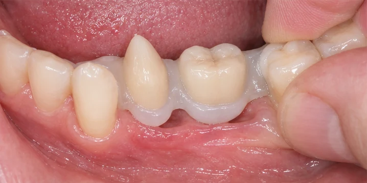
Kuličku roztlačte na plochý oblúčik dlouhý asi 4,5 — 5 cm. Toto je můstek — základ, na kterém bude nový zub sediet. Můstek se umisťuje na vnitřnú stranu zubů, teda od jazyka. Zvonku ho nikdo neuvidí — viditelný bude jen nový zub. Pro zadní zuby robte můstek hrubší — asi centimeter a pol široký.

6

Oba nové zuby do můstku

Oba zuby zatlačte vedle sebe do střední části můstku. Mezi nimi nechte kousek materiálu — ten je spojí dohromady. Oba musí být ve stejné výšce.

7

Vytvořte zaklesnutí

Zaklesnutí ne jsou žádná samostatná súčiastka — jsou to jednoduše konce toho istého můstku. Uchopte levý konec můstku prstami a vytiahnite ho do jazýčku dlhého asi 1 — 1,5 cm. To isté na pravom konci. Susedné zuby jsou velké — zaklesnutí musí byt širšie, každá jeden a pol až dva centimetre. Tyto jazýčky potom v ústech ohnete okolo sousedních zubů — obejmou jejich a budou držet celou konstrukci na místě.

Žádné lepidlo, žádná chemie. Celé drží čistě mechanicky — zaklesnutí obepnou sousední zuby a drží na místě.
8

Vložte do úst a tvarujte

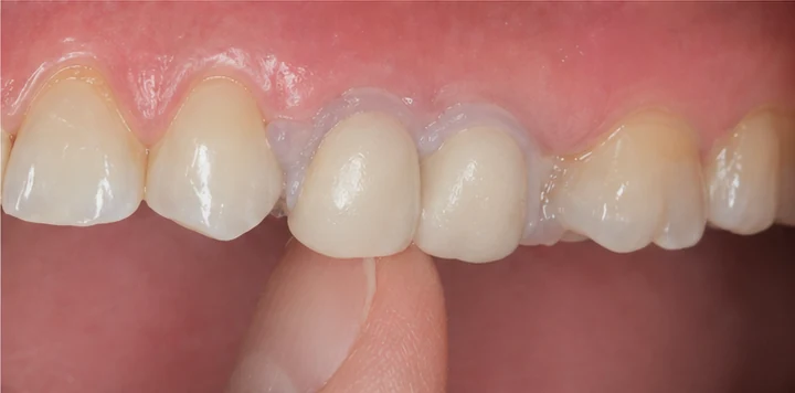
Celou konstrukci vložte do mezery v horní řadě. Palci přitlačte zaklesnutí okolo sousedních zubů. Tvarujte je tak, aby co nejlépe kopírovaly tvar sousedů. Čím těsněji sedí, tím lépe drží.

Důležité pro horní řadu: konstrukce visí vzhůru nohama a gravitace ji táhne dolů. Zaklesnutí proto musí sedět opravdu těsně. Při tvarování je důkladně přitlačte — to je klíč k tomu, aby zub držel spolehlivě.
9

Zarovnejte výšku

Velmi jemně skusujte — jen natolik, abyste zarovnali nový zub do správné výšky. Nesmí být vyšší než sousední zuby. Pokud je, můstek zatlačte hlouběji.

10

Nechte ztuhnout

Popíjejte studenou vodu, nebo prostě počkejte 2–3 minuty. Materiál ztuhne do trvalého tvaru. Od tohoto momentu drží.

Zkouška úsměvu

Otevřete ústa dokořán před zrcadlem, jako byste se od srdce smáli. Drží? Výborně, hotovo!

Co když se to nepovede napoprvé?

Vůbec to nevadí. Vhoďte celou konstrukci zpět do horké vody — materiál opět změkne a můžete začít znovu. Nic se neztratí ani neznehodnotí. DentiFlex je možné opakovaně změkčovat a přetvarovávat bez jakékoli ztráty kvality. Materiál je k tomu navržen.

Péče

Na noc zub vyjímejte. Jednou týdně ho namočte do ústní vody (Listerine nebo podobné). Na čištění nikdy nepoužívejte horkou vodu — materiál by změkl a ztratil tvar. Stačí vlažná voda a měkký kartáček.

Kdy Denticor není vhodný

Pokud máte na místě chybějícího zubu čerstvou ránu, zánět nebo otok — počkejte na zhojení. Pokud se sousední zuby kývají — Denticor nemá o co se zachytit. V těchto případech nejprve navštivte zubaře.

Související návody

Vaše situace může být trochu jiná. Podívejte se, zda Vám nesedí některý z těchto scénářů:

Chybí jen jeden premolár?

Malá stolička mezi špičákem zubem a velkou stoličkou — 3/10, 15–20 minut

Chybí jen jedna stolička?

Stolička se sousedními zuby z obou stran — 3/10, 15–20 minut

Stejná situace v dolní řadě?

Dva premoláry nebo premolár a stolička v dolní řadě — 4/10, 25–35 minut

Nevíte, který návod je Váš?

AI diagnostika to zjistí za 2 minuty, vytvoří návod na míru a pořadí nejvhodnější Denticor balení.

Vyzkoušet diagnostiku →

Nepoužívejte Denticor při: čerstvé ráně po extrakci, zánětu dásní, kývajících se zubech, koncových mezerách (bez sousedního zubu z jedné strany).

AI Zjistěte, zda je Denticor pro Vás
Spustit diagnostiku