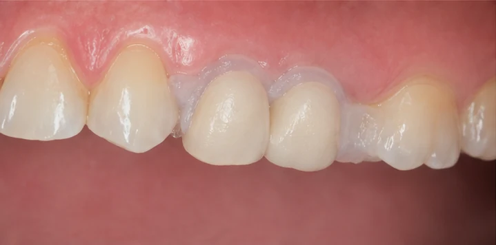
Vložit a Vybrat: rychlá náhrada dvou velkých předních zubů hore

JEDINÝ scénář kde fazety jsou PRIMÁRNE. Oba okolní zuby jsou boční rezáky — TENKÍ. Dva těžk korunky by neudržali. Fazety jsou 1/10 hmotnosti korunek → tvarový zámek stačí.

Horní řada — gravitace táhne dolů, kontakty musí být těsné.

Fazety si vyjměte PRED začatím práce s materiálom. Když máte mokré ruky, není čas hledat.

⚡ Vložit a Vyjmout

Tento návod je pro situace, kdy potřebujete nový zub na 1–2 dny — večírek, pohovor, focení, schůzka. Jednoduchý alternativní postup. Konstrukce drží spolehlivě na krátké období.

Pro dlouhodobé nošení (týdny) použijte hlavní návod →

Náročnost

4/5

Čas

20–25 minut

Materiál

DentiFlex, 6 g (více než polovica lahvičky DentiFlex + malé množství PLUS) + DentiFlex, 2 g (lepidlo)

Úspěšnost

85%

Retence

Fazety (primárne)

Řada zubů

Horní, přední zóna

Jak konstrukce drží

Oba okolní zuby jsou tenké — fazety jsou tu NUTNOSŤ, ne volba. Fazety jsou 1/10 hmotnosti korunek → tvarový zámek na tenkých zubech stačí.

Z čeho se konstrukce skládá

Konstrukce se skládá z keramické korunky a můstku z DentiFlex materiálu. Můstek je schovaný zevnitř (od jazyka) — zvenku vidíte jen nový zub.

HORNÉ DVA STREDNÉ REZÁKY — prierez (tvarový zámek) ▲ VENKU (rty) · ▼ UVNITŘ (jazyk) Okolní zub (HRUBÝ) Okolní zub (TENKÝ) Fazeta Plochý můstek MŮSTEK (DentiFlex, 80–85 °C) zámek zámek Vytlačený materiál mezi můstkem a okolními zuby = TVAROVÝ ZÁMEK
HORNÉ DVA STREDNÉ REZÁKY — pohled zepředu Okolní NOVÝ ZUB Okolní Zvenku vidíte jen korunky. Můstek je schovaný zevnitř.
HORNÉ DVA STREDNÉ REZÁKY — fázy postupu 1. Můstek DentiFlex 80–85 °C 2. Ztuhnout 3 minuty nepít 3. Fazeta DentiFlex 50–55 °C
HORNÉ DVA STREDNÉ REZÁKY — postup v jednom pohlede 🦷 Korunka 💧 Voda 📦 DentiFlex Změkčit 📏 Můstek ⬇️ Vtlačit 👄 Do úst 🔧 Kontakty 📐 Výška Ztuhnout Hotovo Celkový čas: 20–25 minut

Vložit a vyjmout

Nejprve vytvoříte celý celek. Pak ho vložíte do mezery a dotvarujete na místě.

U tohoto rychlého postupu se nedělají samostatné úchytky. Měkký DentiFlex můstek s oběma korunkami se připraví jako jeden kus, vloží se do mezery a následně se prsty jemně přitlačí a dotvaruje tak, aby se přizpůsobil okolí.

Vizuální postup vloženia a dotvarovania náhrady — horní dva střední rezáky Vizuální postup vloženia a dotvarovania náhrady — horní dva střední rezáky Vizuální postup vloženia a dotvarovania náhrady — horní dva střední rezáky Vizuální postup vloženia a dotvarovania náhrady — horní dva střední rezáky Vizuální postup vloženia a dotvarovania náhrady — horní dva střední rezáky Vizuální postup vloženia a dotvarovania náhrady — horní dva střední rezáky

Obrázek slouží jako orientační vysvětlení postupu. Přesné množství DentiFlexu, šířka můstku a finální dotvarování se vždy přizpůsobuje Vašim zubům.

Konstrukce2 korunky + 1 můstek
Nasazenívkládá se jako celek
Dotvarováníprsty přímo v ústech
Vzhledzvenku vidíte hlavně nové zuby

Postup krok za krokem

1

Změkčete DentiFlex

Uvarte vodu, odstavte na 1–2 minuty. Nalejte do hrnčeka. Vysypte ~6 gramy DentiFlex — při dvou zubech potřebujete více materiálu. Počkejte dokud granulky nebudú úplně příesvitné (~2 minuty). Vyberte lžičkou.

2

Udělejte kostku podle šířky mezery

Z příesvitného materiálu vytvarujte kocku — větší, podle šírky celé mezery po dvou chybějících zubech. Medzera po dvou stredných rezákoch je široká. Kocka musí pokryt celou šírku.

3

Vyberte vhodné zuby a otestujte

Vyberte dve stejné ploché korunky lopatkovitého tvaru — největšie přední zuby v balení. Priložte k mezeře — zkontrolujte, či se obě korunky zmestia vedle seba a či mají po stranách voln prostor pro můstek. Dva velké přední zuby v strede — vyjměte dve stejně velké ploché korunky.

💡 Postupem času se okolní zuby posouvají do volného prostoru — mezera může být menší než dva původní zuby. Někdy stačí jedna větší korunka místo dvou menších.
4

Zuby strčte do kostky

Obě korunky (nebo jednu větší) zatlačte vedle sebe do ještě měkké kostky. Zubní části ven (ke rtům), můstek za nimi (k jazyku).

5

Vložte do mezery a pořádně zatlačte

Celou konstrukci vložte do mezery v horní řadě. Před vložením jemně osušte ubrouskem místo, kde chybí zub (dáseň i okolní zuby). Materiál také osušte. Přitlačte nahoru k dásni a podržte 10–15 sekund. Materiál se vytlačí do prostorů okolo — mezi sousední zuby z obou stran.

6

Jemně povytáhněte — udělejte vůli

Jemně konstrukci povytáhněte směrem ven z mezery. Jen trošku — aby můstek nebyl úplně napevno. Mírná vůle = snadné nasazování i vyjímání. Když náhradu vyjmete, boční strany se mírně zkrátí — to je normální. Při opětovném nasazení se materiál znovu přizpůsobí.

7

Skousněte

Jemně skousněte — nová zubní náhrada přesně sedne na své místo.

8

Jazykem nahmatejte a odstřihněte přebytečný materiál

Jazykem projděte okolo celého můstku. Kde cítíte, že materiál přečnívá nebo Vám vadí — odstřihněte nůžkami nebo přebytečnou část ponořte do horké vody — změkne jen ponořená část a jednoduše ji oddělíte. Stříháte nebo oddělujete, dokud je ještě poddajný.

9

Nechte ztuhnout — hotovo

Nechte v ústech 2–3 minuty nebo popijte studenou vodu. Materiál ztuhne.

Pokud nedrží?

Ponořte boční strany celé zubní náhrady do horké vody — změkne jen to, co jste do vody vložili. Pak náhradu znovu nasaďte — ne pod pravým úhlem, ale pod mírným úhlem, který Vám vyhovuje. Prsty stlačte boční strany můstku směrem k sousedním zubům, aby je dobře obklopily. Na nich to drží.

Co když se to nepovede napoprvé?

DentiFlex je možné opakovaně zahřívat (80–85 °C) a přetvarovat — nic nemůžete pokazit. Materiál se přitom nepoškodí.

Fazeta odpadne

Příčina: Mokrý povrch nebo málo PLUS.

Řešení: Vyberte. PLUS (50–55 °C). Osušte můstek. Nalepte znovu.

Celý můstek padá

Příčina: Kontakty s bočnmi rezákmi voln.

Řešení: Změkčete můstek (80–85 °C — fazety jsou keramické, nezměknú). Oddelte fazety. Pretvarujte — dlhší kontakt. Ztuhnout. Fazety znovu.

Ztuhl rychle

Příčina: DentiFlex tuhne rychle.

Řešení: Horká voda, změkne.

Péče

Na noc konstrukci vyjímejte. Jednou týdně namočte do ústní vody (Listerine nebo podobné). Na čištění NIKDY nepoužívejte horkou vodu — materiál by změkl. Stačí vlažná voda a měkký kartáček.

Kdy Denticor není vhodný

Pokud máte čerstvou ránu, zánět nebo otok — počkejte na zhojení. Pokud se okolní zuby kývají — Denticor nemá o co se zachytit. V těchto případech nejprve navštivte zubaře.

Související návody

Vaše situace může být trochu jiná:

HORNÍ PŘEDNÍ ŘEZÁK

2/5 obtížnost, 10–15 minut

HORNÍ BOČNÍ ŘEZÁK

2/5 obtížnost, 10–15 minut

HORNÍ ŠPIČÁK

4/5 obtížnost, 15–20 minut

Nevíte, který návod je Váš?

AI diagnostika to zjistí za 2 minuty, vytvoří návod na míru a pořadí nejvhodnější Denticor balení.

Vyzkoušet diagnostiku →

Nepoužívejte Denticor při: čerstvé ráně po extrakci, zánětu dásní, kývajících se zubech. Při pochybnostech nejprve navštivte zubaře.

AI Zjistěte, zda je Denticor pro Vás
Spustit diagnostiku