Chybí mi oba horní přední zuby — jako si jejich nahradím?

Dva chybějící přední zuby — pro mnohých lidí najťažšia situace ze psychického hlediska. Nemožnost normálne se usmiat, strach z rozhovoru, stud na verejnosti.

Na Slovensku se ročne vykoná vyše 600-tisíc extrakcií zubů. Přední zuby jsou jedny z najčastejších obetí úrazov a komplikácií. Pokud vám chybí oba, víte, jaké to je. Tu je návod, jako si oba zuby nahradit v jedné konštrukcii.

Rozumieme, jaké to je těžk psychicky. Tu je přesný návod — zvládnete to, krok za krokem.

Náročnost

4/10 — středně jednoduché

Čas

20–30 minut

Materiál

DentiFlex, 7 — 8 g

Úspěšnost

82 — 88 %

Výdrž

3–7 týdnů

Řada zubů

Horní, přední zóna

Proč právě DentiFlex?

Dva přední zuby = jedna konstrukce s dvomi zuby na jednom můstku. Používate DentiFlex, protože oba zuby jsou v estetickej zóne a potřebujete čas na přesné zarovnanie obou zubů vedle seba. Materiálu třeba více (7 — 8 gramov), protože můstek musí byt dlhší a niest dva zuby místo jedného.

Z čeho se konstrukce skládá

Při horních dvou stredných rezákoch se připraví jeden spoločný DentiFlex můstek s dvěma korunkami. Boční strany sousedních předních zubů jsou tenké, proto se nerobia masívne boční háky. Hlavní držanie vytvára můstek na podnebnej strane a jemné dotvarování při sousedních zubech.

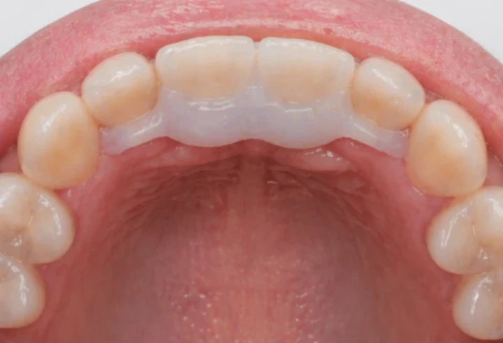
Schválený Denticor vizuál

Jak náhrada vypadá zepředu a zezadu

Oba nové zuby se nejprve vložia do měkkého DentiFlexu a až potom se celá náhrada vloží do mezery jako jeden celok. V ústech se následně prstami dotvaruje tak, aby se stabilne oprela o sousední zuby.

Denticor pro horní dva střední rezáky — pohled zepředu: mezera, připravená náhrada, vloženie a výsledek Denticor pro horní dva střední rezáky — pohled zepředu: mezera, připravená náhrada, vloženie a výsledek Denticor pro horní dva střední rezáky — pohled zepředu: mezera, připravená náhrada, vloženie a výsledek Denticor pro horní dva střední rezáky — pohled zepředu: mezera, připravená náhrada, vloženie a výsledek

Pohled zepředu

Z přední strany jsou viditelné dva nové zuby a tenká čast DentiFlex můstku při dásni. To je při tomto scénáři normálne — můstek musí spojit oba nové zuby a zároveň zůstat tvarovatelný, aby se po vložení jemne dotlačil na místě.

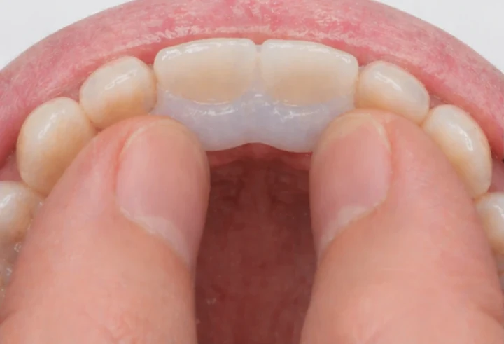
Denticor pro horní dva střední rezáky — pohled zezadu od podnebia: tvar můstku a dosadnuty za novými zuby Denticor pro horní dva střední rezáky — pohled zezadu od podnebia: tvar můstku a dosadnuty za novými zuby Denticor pro horní dva střední rezáky — pohled zezadu od podnebia: tvar můstku a dosadnuty za novými zuby Denticor pro horní dva střední rezáky — pohled zezadu od podnebia: tvar můstku a dosadnuty za novými zuby

Pohled zezadu

Ze zadní — podnebnej — strany je dobre vidět, jako můstek nesie oba nové zuby jako jeden celok. Práve tato vnitřní čast dělá většinu práce: po vložení se jemne přitlačí a dotvaruje tak, aby se stabilne oprela o vnitřní a boční plochy sousedních zubů.

Obrázky jsou orientačnou ukážkou mechaniky Denticor řešení. Skutečná hrúbka můstku a množství DentiFlexu se vždy přizpůsobujú konkrétníj mezeře a tvaru sousedních zubů.

Postup krok za krokem

1

Vyberte dva nové zuby

Hledejte dva podobné přední tvary. Priložte jejich vedle seba k mezeře a overte, že spolu mezeru vyplnia.

2

Připravte si horkou vodu

Ohřejte vodu na 80–85 °C. Nesmí vřít. Jednoduchá zkouška: ponoříte prst na dvě sekundy — pokud je to horké, ale ještě snesitelné, teplota je správná.

3

Změkčete DentiFlex

Odoberte 7 — 8 gramov (většina lahvičky) a vhoďte do horké vody. Za 2 — 3 minuty se granulky stanú průhlednnými a měkdokudi. Spojte jejich do jedné kuličky.

Proč průhledné? Materiál mění barvu podle stavu — bílé granulky = tvrdý. Průhledná hmota = měkký, připravený na tvarování. Když v ústech ztuhne, opět zbělá.
4

Vytvořte můstek

Kuličku roztlačte na plochý oblúčik dlouhý asi 4,5 — 5 cm. Toto je můstek — základ, na kterém budou sediet oba nové zuby. Můstek smeruje hlavne na vnitřnú — podnebnú — stranu. Při horních dvou předních zubech však může byt z přední strany při dásni viditelná i tenká čast DentiFlexu — je to normálne. Můstek musí byt dost dlouhý na oba zuby a na jemné dotvarování při sousedních zubech.

5

Oba nové zuby do můstku

Oba zuby zatlačte vedle sebe do střední části můstku. Mezi nimi nechte kousek materiálu — ten je spojí dohromady. Oba musí být ve stejné výšce.

6

Vytvořte zaklesnutí

Boční strany sousedních předních zubů jsou tenké, proto při tomto návode nerobte masívne boční háky. Na obou koncoch můstku nechte jen dostatok měkkého materiálu na jemné dotvarování při levém a pravom bočnom rezáku. Hlavní držanie vytvára spoločný můstek na podnebnej strane; boční časti slúžia spíš na stabilizáciu a vycentrovanie celé náhrady.

Žádné lepidlo, žádná chémia. Celé drží čisto mechanicky — hlavne díky podnebnej časti můstku a jemnému dotvarovaniu při sousedních zubech.
7

Vložte do úst a tvarujte

Celú konstrukci vložte do mezery v horním rade jako jeden celok. Prstami jemne přitlačte můstek z podnebnej strany a současne dotvarujte měkký materiál při sousedních zubech. Cílem ne jsou velké boční úchyty, ale prirodzené dosadnuty a stabilní opora po zadní a bočních stranách.

Důležit pro horní řadu: konstrukce visí hore nohami a gravitace ji tahá nadol. Proto venujte největšiu pozornost podnebnej časti můstku. Tá musí sediet co nejtesnejší. Materiál při bočních zubech dotvarujte jen jemne — privela DentiFlexu by bylo zbytočne viditelné a neprirodzené.
8

Zarovnejte výšku

Velmi jemně skusujte — jen natolik, abyste zarovnali nový zub do správné výšky. Nesmí být vyšší než sousední zuby. Pokud je, můstek zatlačte hlouběji. Oba zuby musí byt na stejné výške — pokud jeden vyčnieva, při rozhovore to vidno.

9

Nechte ztuhnout

Popíjejte studenou vodu, nebo prostě počkejte 2–3 minuty. Materiál ztuhne do trvalého tvaru. Od tohoto momentu drží.

Zkouška úsměvu

Otevřete ústa dokořán před zrcadlem, jako byste se od srdce smáli. Drží? Výborně, hotovo!

Co když se to nepovede napoprvé?

Vůbec to nevadí. Vhoďte celou konstrukci zpět do horké vody — materiál opět změkne a můžete začít znovu. Nic se neztratí ani neznehodnotí. DentiFlex je možné opakovaně změkčovat a přetvarovávat bez jakékoli ztráty kvality. Materiál je k tomu navržen.

Péče

Na noc zub vyjímejte. Jednou týdně ho namočte do ústní vody (Listerine nebo podobné). Na čištění nikdy nepoužívejte horkou vodu — materiál by změkl a ztratil tvar. Stačí vlažná voda a měkký kartáček.

Kdy Denticor není vhodný

Pokud máte na místě chybějícího zubu čerstvou ránu, zánět nebo otok — počkejte na zhojení. Pokud se sousední zuby kývají — Denticor nemá o co se zachytit. V těchto případech nejprve navštivte zubaře.

Související návody

Vaše situace může být trochu jiná. Podívejte se, zda Vám nesedí některý z těchto scénářů:

Stejná situace v dolní řadě?

Dva malé přední zuby v dolní řadě — 3/10, 15–25 minut

Chybí tři přední zuby?

Tři přední zuby v horním rade — 6/10, 30 — 40 minut

Chybí jen jeden přední zub?

Jeden ze dvou velkých předních zubů v horní řadě — 2/10, 10–15 minut

Nevíte, který návod je Váš?

AI diagnostika to zjistí za 2 minuty, vytvoří návod na míru a pořadí nejvhodnější Denticor balení.

Vyzkoušet diagnostiku →

Nepoužívejte Denticor při: čerstvé ráně po extrakci, zánětu dásní, kývajících se zubech, koncových mezerách (bez sousedního zubu z jedné strany).

AI Zjistěte, zda je Denticor pro Vás
Spustit diagnostiku