Vložit a Vybrat: rychlá náhrada chybějícího horného bočnho zubu (rezák)

Boční řezák je nejmenší přední zub. Okolní zuby: stredný rezák (velký, plochý) + oční zub (konický). Dva úplně různé tvary kotiev. Zaklesnutí funguje — pokud ne, fazeta jako záloha.

Horní řada — gravitace táhne dolů, kontakty musí být těsné.

Boční řezák je malý a lehký — tvarový zámek ho lehko udrží. Pokud nedrží, nejčastější príčina je že korunka je příliš velká (vybrali jste korunku středního rezáka místo bočnho).

⚡ Vložit a Vyjmout

Tento návod je pro situace, kdy potřebujete nový zub na 1–2 dny — večírek, pohovor, focení, schůzka. Jednoduchý alternativní postup. Konstrukce drží spolehlivě na krátké období.

Pro dlouhodobé nošení (týdny) použijte hlavní návod →

Náročnost

2/5

Čas

10–15 minut

Materiál

DentiFlex, 2.5 g (asi štvrtina lahvičky DentiFlex)

Úspěšnost

92%

Retence

Zaklesnutí nebo fazety

Řada zubů

Horní, přední zóna

Jak konstrukce drží

Zaklesnutí s korunkami (standard) nebo plochý můstek s fazetami (prémiová estetika). Obě metody fungují — záleží na Vašem balení a preferencích.

Z čeho se konstrukce skládá

Konstrukce se skládá z keramické korunky a můstku z DentiFlex materiálu. Můstek je schovaný zevnitř (od jazyka) — zvenku vidíte jen nový zub.

HORNÍ BOČNÍ ŘEZÁK — prierez (tvarový zámek) ▲ VENKU (rty) · ▼ UVNITŘ (jazyk) Očný zub (konický) Stolička (HRUBÁ) KORUNKY MŮSTEK (DentiFlex, 80–85 °C) zámek zámek Vytlačený materiál mezi můstkem a okolními zuby = TVAROVÝ ZÁMEK
HORNÍ BOČNÍ ŘEZÁK — pohled zepředu Okolní NOVÝ ZUB Okolní Zvenku vidíte jen korunky. Můstek je schovaný zevnitř.
HORNÍ BOČNÍ ŘEZÁK — Variant A (korunka) vs B (fazeta) Okolní Korunka (A) Fazeta (B) Okolní A: rychlejší, 1 fáze. B: hezčí, 3 fáze. Obě fungují.
HORNÍ BOČNÍ ŘEZÁK — fázy postupu 1. Můstek DentiFlex 80–85 °C 2. Ztuhnout 3 minuty nepít 3. Fazeta DentiFlex 50–55 °C
HORNÍ BOČNÍ ŘEZÁK — postup v jednom pohlede 🦷 Korunka 💧 Voda 📦 DentiFlex Změkčit 📏 Můstek ⬇️ Vtlačit 👄 Do úst 🔧 Kontakty 📐 Výška Ztuhnout Hotovo Celkový čas: 10–15 minut

Vložit a vyjmout

Nejprve vytvoříte celý celek. Pak ho vložíte do mezery a dotvarujete na místě.

U tohoto rychlého postupu se nedělají samostatné úchytky. Měkký DentiFlex můstek s korunkou se připraví jako jeden kus, vloží se do mezery a následně se prsty jemně přitlačí a dotvaruje tak, aby se přizpůsobil okolí.

Vizuální postup vloženia a dotvarovania náhrady — horní boční rezák Vizuální postup vloženia a dotvarovania náhrady — horní boční rezák Vizuální postup vloženia a dotvarovania náhrady — horní boční rezák Vizuální postup vloženia a dotvarovania náhrady — horní boční rezák

Obrázek slouží jako orientační vysvětlení postupu. Přesné množství DentiFlexu, šířka můstku a finální dotvarování se vždy přizpůsobuje Vašim zubům.

Konstrukce1 korunka + 1 můstek
Nasazenívkládá se jako celek
Dotvarováníprsty přímo v ústech
Vzhledzvenku vidíte hlavně nový zub

Postup krok za krokem

1

Změkčete DentiFlex

Uvarte vodu, odstavte na 1–2 minuty. Nalejte do hrnčeka. Vysypte ~2.5 gramy DentiFlex. Počkejte dokud granulky nebudú úplně příesvitné (~2 minuty). Vyberte lžičkou.

2

Udělejte kostku podle šířky mezery

Z příesvitného materiálu vytvarujte kocku — velikost přizpůsobte šírke mezery. Boční řezák je malý, kocka bude menšia. Toto bude budúci můstek.

3

Vyberte vhodný zub a otestujte

Z balení vyjměte menšiu plochú korunku — užší zub vedle velkého predného. Priložte ho k mezeře — zkontrolujte, či se zmestí a či má po stranách voln prostor (tam se uchytí můstek). Boční řezák — menší a užší než velký přední.

💡 Postupem času se okolní zuby posouvají směrem do volného prostoru — mezera může být menší než původní zub. Někdy stačí jeden menší zub místo původního.
4

Zub strčte do kostky

Vybranou korunku zatlačte do ještě měkké kostky. Zubní část směřuje ven (ke rtům), můstek zůstane za ní (k jazyku).

5

Vložte do mezery a pořádně zatlačte

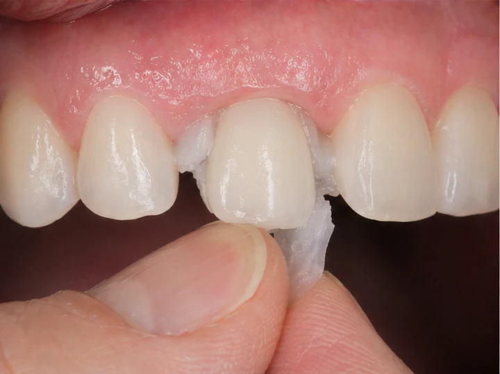
Celú konstrukci (zub + kocka) vložte do mezery v horním rade. Korunka von, můstek k jazyku. Před vložením jemne osušte servítkou místo, kde chybí zub (dáseň i okolní zuby). Materiál také osušte. Přitlačte nahor k dásni. Materiál se vytlačí do příestorov okolo — mezi sousední zuby.

6

Jemně povytáhněte — udělejte vůli

To je důležité: jemně konstrukci povytáhněte směrem ven z mezery. Jen trošku — aby můstek nebyl úplně napevno. Pokud by byl příliš těsný, budete mít problém s vyjímáním. Mírná vůle = snadné nasazování i vyjímání. Když náhradu vyjmete, boční strany se mírně zkrátí — to je normální. Při opětovném nasazení se materiál znovu přizpůsobí.

7

Skousněte

Jemně skousněte — nová zubní náhrada přesně sedne na své místo. Uvidíte i pocítíte, že výška sedí oproti ostatním zubům.

8

Jazykem nahmatejte přebytečný materiál

Jazykem projděte okolo můstku. Kde cítíte, že materiál přečnívá nebo Vám vadí — odstřihněte to nůžkami nebo přebytečnou část ponořte do horké vody — změkne jen ponořená část a jednoduše ji oddělíte.

9

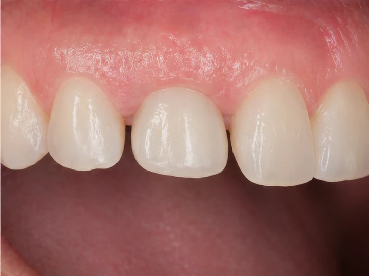
Nechte ztuhnout — hotovo

Nechte konstrukci v ústech 2–3 minuty nebo popijte studenou vodu. Materiál ztuhne. Podívejte se do zrcadla — nový zub je na místě.

Pokud nedrží?

Ponořte boční strany celé zubní náhrady do horké vody — změkne jen to, co jste do vody vložili. Pak náhradu znovu nasaďte — ne pod pravým úhlem, ale pod mírným úhlem, který Vám vyhovuje. Prsty stlačte boční strany můstku směrem k sousedním zubům, aby je dobře obklopily. Na nich to drží.

Co když se to nepovede napoprvé?

DentiFlex je možné opakovaně zahřívat (80–85 °C) a přetvarovat — nic nemůžete pokazit. Materiál se přitom nepoškodí.

Nedrží / padá

Příčina: Kontakty voln, hlavne s konicdokud špičákem zubem.

Řešení: Změkčete. Přitlačte TESNEJŠIE k očnímu zubu — materiál musí koniku OBOPNÚŤ. Pokud stále nedrží → fazeta: plochý můstek + fazeta DentiFlex.

Nový zub je příliš velký

Příčina: Vybrali jste korunku středního rezáka místo bočnho.

Řešení: Vyberte menšiu korunku. Boční řezák je nejmenší přední zub.

Příliš vysoký

Příčina: Boční řezák musí byt NIŽŠÍ než okolní.

Řešení: Změkčete. Zatlačte hlbšie. Boční řezák = prirodzene nižší.

Ztuhl rychle

Příčina: DentiFlex tuhne rychle. Normálne.

Řešení: Horká voda (80–85 °C), změkne. Opakovaně.

Péče

Na noc konstrukci vyjímejte. Jednou týdně namočte do ústní vody (Listerine nebo podobné). Na čištění NIKDY nepoužívejte horkou vodu — materiál by změkl. Stačí vlažná voda a měkký kartáček.

Kdy Denticor není vhodný

Pokud máte čerstvou ránu, zánět nebo otok — počkejte na zhojení. Pokud se okolní zuby kývají — Denticor nemá o co se zachytit. V těchto případech nejprve navštivte zubaře.

Související návody

Vaše situace může být trochu jiná:

HORNÍ PŘEDNÍ ŘEZÁK

2/5 obtížnost, 10–15 minut

HORNÍ ŠPIČÁK

4/5 obtížnost, 15–20 minut

HORNÍ PREMOLÁR

3/5 obtížnost, 15 minut

Nevíte, který návod je Váš?

AI diagnostika to zjistí za 2 minuty, vytvoří návod na míru a pořadí nejvhodnější Denticor balení.

Vyzkoušet diagnostiku →

Nepoužívejte Denticor při: čerstvé ráně po extrakci, zánětu dásní, kývajících se zubech. Při pochybnostech nejprve navštivte zubaře.

AI Zjistěte, zda je Denticor pro Vás
Spustit diagnostiku