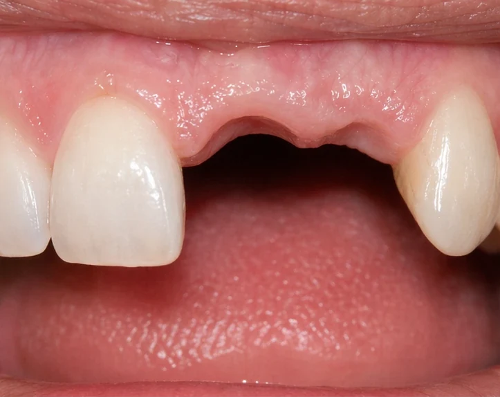
Chybí mi horní stredný i boční rezák — jako si jejich nahradím?

Střední i boční rezák vedle seba — široká mezera na jedné strane, která je viditelná při každém úsměve. Okolie si to všimne okamžite.

Oba zuby nahradíte jednou konstrukcí — dva zuby na jednom můstku. Postup je velmi podobný scénářu s dvomi strednými rezákmi, jen zuby jsou různé velké — stredný větší, boční menší.

Široká mezera, ale jeden můstek, dva zuby — a máte úsměv zpět. Zvládnete to.

Náročnost

4/10 — středně jednoduché

Čas

20–30 minut

Materiál

DentiFlex, 7 — 8 g

Úspěšnost

82 — 88 %

Výdrž

3–7 týdnů

Řada zubů

Horní, přední zóna

Proč právě DentiFlex?

Přední zuby = DentiFlex pro přesné tvarování. Dva různé velké zuby na jednom můstku vyžadujú trpělivost při zarovnaní — PLUS vám dá více pracovného času díky pomalšiemu tuhnutiu.

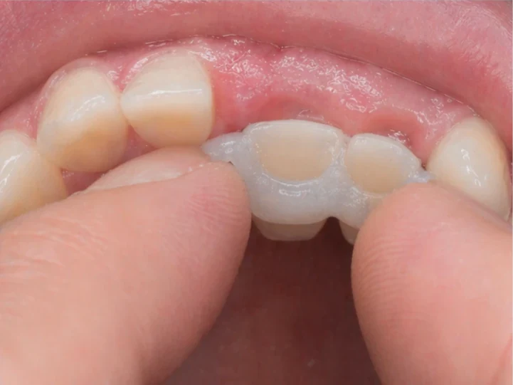
Z čeho se konstrukce skládá

Při tomto scénáři se dělá jedna spoločná náhrada pro dva sousední zuby. Větší stredný rezák i menší boční rezák se vložia do jedného měkkého DentiFlex můstku a do mezery se vkladajú najednou jako jeden celok.

Schválený Denticor vizuál

Jak vypadá nasazení zepředu a zezadu

Můstek drží oba nové zuby spolu. Po vložení se tvaruje přímo na místě, aby se oprel o sousední stredný rezák na jedné strane a o oční zub na druhej. Při horním rade je důležit zejména zadní — podnebná — nosná čast.

Denticor pro horní stredný a boční rezák — pohled zepředu: mezera, připravená náhrada, vloženie a výsledek Denticor pro horní stredný a boční rezák — pohled zepředu: mezera, připravená náhrada, vloženie a výsledek Denticor pro horní stredný a boční rezák — pohled zepředu: mezera, připravená náhrada, vloženie a výsledek Denticor pro horní stredný a boční rezák — pohled zepředu: mezera, připravená náhrada, vloženie a výsledek

Pohled zepředu

Z přední strany je vidět, že větší stredný rezák a menší boční rezák jsou spojené do jedné náhrady. Při tomto type řešení může byt tenká vrstva DentiFlexu při dásni jemne viditelná — je to normálna součást můstku, který drží oba zuby spolu.

Denticor pro horní stredný a boční rezák — pohled zezadu od podnebia: tvar můstku a dosadnuty za novými zuby Denticor pro horní stredný a boční rezák — pohled zezadu od podnebia: tvar můstku a dosadnuty za novými zuby Denticor pro horní stredný a boční rezák — pohled zezadu od podnebia: tvar můstku a dosadnuty za novými zuby Denticor pro horní stredný a boční rezák — pohled zezadu od podnebia: tvar můstku a dosadnuty za novými zuby

Pohled zezadu

Ze zadní — podnebnej — strany je vidět hlavnú nosnú čast můstku. Práve tu se Dentiflex dotvaruje tak, aby celá náhrada sedela stabilne a přitlačila se k bočnm i zadným plochám oporných zubů.

Obrázky jsou orientačnou ukážkou mechaniky Denticor řešení. Přesná hrúbka můstku, poloha obou korunek a množství DentiFlexu se vždy přizpůsobujú šírke mezery a tvaru oporných zubů.

Postup krok za krokem

1

Vyberte dva nové zuby — různé velikosti

Větší pro stredný rezák, menší pro boční. Priložte jejich vedle seba k mezeře.

2

Připravte si horkou vodu

Ohřejte vodu na 80–85 °C. Nesmí vřít. Jednoduchá zkouška: ponoříte prst na dvě sekundy — pokud je to horké, ale ještě snesitelné, teplota je správná.

3

Změkčete DentiFlex

Odoberte 7 — 8 gramov a vhoďte do horké vody. Za 2 — 3 minuty se granulky stanú průhlednnými a měkdokudi. Spojte jejich do jedné kuličky.

Proč průhledné? Materiál mění barvu podle stavu — bílé granulky = tvrdý. Průhledná hmota = měkký, připravený na tvarování. Když v ústech ztuhne, opět zbělá.
4

Vytvořte můstek

Kuličku roztlačte na plochý oblúčik dlouhý asi 4,5 — 5 cm. Toto je můstek — základ, na kterém budou sediet oba nové zuby. Při horním strednom a bočnom rezáku smeruje můstek hlavne na vnitřnú — podnebnú — stranu, ale z přední strany může byt při dásni jemne viditelná i tenká vrstva DentiFlexu.

5

Oba nové zuby do můstku

Větší zub — stredný rezák — zatlačte bližší k stredu úst. Menší zub — boční rezák — umistite směrem k očnímu zubu. Oba musí sediet vedle seba jako jeden celok a mezi nimi nechte jen tolik materiálu, kolik třeba na pevné spojenie.

6

Vytvořte zaklesnutí

Zaklesnutí ne jsou samostatná súčiastka — jsou to konce toho istého můstku. Na jednom konci nechte materiál pro oporu o sousední stredný rezák, na druhom pro oporu o oční zub. Při předních zubech není třeba dělat masívne háky; cílem je spíš to, aby se měkký DentiFlex po vložení jemne dotvaroval okolo bočních a zadných ploch obou oporných zubů.

Žádné lepidlo, žádná chémia. Celé drží čisto mechanicky — díky spoločnímu můstku na podnebnej strane a jemnému dotvarovaniu při sousedním strednom rezáku a očnom zube.
7

Vložte do úst a tvarujte

Celú konstrukci vložte do mezery v horním rade jako jeden celok. Prstami jemne přitlačte můstek z podnebnej strany a zároveň dotvarujte materiál při sousedním strednom rezáku a očnom zube. Cílem je, aby náhrada prirodzene sadla a stabilne se oprela o obě strany mezery.

Důležit pro horní řadu: konstrukce visí hore nohami a gravitace ji tahá nadol. Proto venujte největšiu pozornost podnebnej časti můstku a dotvarovaniu při oporných zubech. Materiál musí sediet tesne, ale prirodzene — ne jako hrubá masa na přední strane.
8

Zarovnejte výšku

Velmi jemně skusujte — jen natolik, abyste zarovnali nový zub do správné výšky. Nesmí být vyšší než sousední zuby. Pokud je, můstek zatlačte hlouběji. Boční řezák je prirodzene kratší než stredný — to je normálne.

9

Nechte ztuhnout

Popíjejte studenou vodu, nebo prostě počkejte 2–3 minuty. Materiál ztuhne do trvalého tvaru. Od tohoto momentu drží.

Zkouška úsměvu

Otevřete ústa dokořán před zrcadlem, jako byste se od srdce smáli. Drží? Výborně, hotovo!

Co když se to nepovede napoprvé?

Vůbec to nevadí. Vhoďte celou konstrukci zpět do horké vody — materiál opět změkne a můžete začít znovu. Nic se neztratí ani neznehodnotí. DentiFlex je možné opakovaně změkčovat a přetvarovávat bez jakékoli ztráty kvality. Materiál je k tomu navržen.

Péče

Na noc zub vyjímejte. Jednou týdně ho namočte do ústní vody (Listerine nebo podobné). Na čištění nikdy nepoužívejte horkou vodu — materiál by změkl a ztratil tvar. Stačí vlažná voda a měkký kartáček.

Kdy Denticor není vhodný

Pokud máte na místě chybějícího zubu čerstvou ránu, zánět nebo otok — počkejte na zhojení. Pokud se sousední zuby kývají — Denticor nemá o co se zachytit. V těchto případech nejprve navštivte zubaře.

Související návody

Vaše situace může být trochu jiná. Podívejte se, zda Vám nesedí některý z těchto scénářů:

Chybí jen stredný rezák?

Jeden ze dvou velkých předních zubů v horní řadě — 2/10, 10–15 minut

Chybí jen boční rezák?

Menší zub vedle velkého předního řezáku — 2/10, 10–15 minut

Stejná kombinácia v dolním rade?

Dva zuby na přechodu v dolní řadě — 4/10, 20–30 minut

Nevíte, který návod je Váš?

AI diagnostika to zjistí za 2 minuty, vytvoří návod na míru a pořadí nejvhodnější Denticor balení.

Vyzkoušet diagnostiku →

Nepoužívejte Denticor při: čerstvé ráně po extrakci, zánětu dásní, kývajících se zubech, koncových mezerách (bez sousedního zubu z jedné strany).

AI Zjistěte, zda je Denticor pro Vás
Spustit diagnostiku