Chybí mi dolní rezák a oční zub — jako si jejich nahradím?

Rezák a oční zub vedle seba v dolním rade — mezera na rozhraní přední a bočnej časti. Viditelná při širšom úsměve.

Dolní variant je jednodušší jako horní — gravitace pomáha. Dva různé tvary zubů na jednom můstku vyžadujú trpělivost, ale princip je stejný.

Gravitácia pomáha, ohnutý můstek je klíčový. Zvládnete to.

Náročnost

4/10 — středně jednoduché

Čas

20–30 minut

Materiál

DentiFlex, 6–7 g

Úspěšnost

85 — 90 %

Výdrž

3–8 týdnů

Řada zubů

Dolní, přední a boční zóna

Vizuální návod

Tyto vizuální návody jsou platné pro tento typ problému

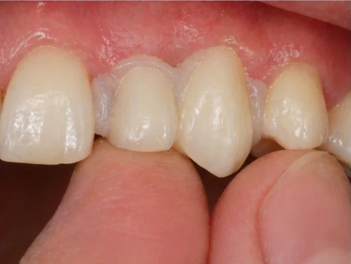
Vizuální návod — chybějící dolní rezák a oční zub Vizuální návod — chybějící dolní rezák a oční zub Vizuální návod — chybějící dolní rezák a oční zub Vizuální návod — chybějící dolní rezák a oční zub Vizuální návod — chybějící dolní rezák a oční zub Vizuální návod — chybějící dolní rezák a oční zub Vizuální návod — chybějící dolní rezák a oční zub Vizuální návod — chybějící dolní rezák a oční zub Vizuální návod — chybějící dolní rezák a oční zub Vizuální návod — chybějící dolní rezák a oční zub Vizuální návod — chybějící dolní rezák a oční zub Vizuální návod — chybějící dolní rezák a oční zub

Proč právě DentiFlex?

Estetická zóna v dolním rade = DentiFlex. Gravitácia pomáha, takže zaklesnutí nemusia byt tak extrémne tesné jako hore. Materiálu 6 — 7 gramov pro dva zuby.

Postup krok za krokem

1

Vyberte dva nové zuby

Malý pro rezák, špičatý pro oční zub. Dva různé tvary.

2

Připravte si horkou vodu

Ohřejte vodu na 80–85 °C. Nesmí vřít. Jednoduchá zkouška: ponoříte prst na dvě sekundy — pokud je to horké, ale ještě snesitelné, teplota je správná.

3

Změkčete DentiFlex

Odoberte 6 — 7 gramov a vhoďte do horké vody. Za 2 — 3 minuty se granulky stanú průhlednnými a měkdokudi. Spojte jejich do jedné kuličky.

Proč průhledné? Materiál mění barvu podle stavu — bílé granulky = tvrdý. Průhledná hmota = měkký, připravený na tvarování. Když v ústech ztuhne, opět zbělá.
4

Vytvořte ohnutý můstek

Toto je klíčový krok. Můstek nevytvárajte rovný, ale ohnutý do tvaru písmena L. Délka asi 4 cm. Jedná čast kopíruje přední zuby, druhá boční. Důvod: oblúk zubů se tu prirodzene láme a rovný můstek by od dásně odstával.

Ohnutý můstek je klíčem k úspěchu. Pokud by byl rovný, v rohu oblouku by od dásně odstával a konstrukce by neseděla.
5

Oba zuby do ohnutého můstku

Rezák do rovnej časti, oční zub do ohnutej časti. Ohnutý můstek je nevyhnutný i v dolním rade — kopíruje oblúk čelisti.

6

Vytvořte zaklesnutí

Zaklesnutí ne jsou žádná samostatná súčiastka — jsou to jednoduše konce toho istého můstku. Uchopte levý konec můstku prstami a vytiahnite ho do jazýčku dlhého asi 1 — 1,5 cm. To isté na pravom konci. Jedna dopredu na další rezák, druhá dozadu na premolár. Tyto jazýčky potom v ústech ohnete okolo sousedních zubů — obejmou jejich a budou držet celou konstrukci na místě.

Žádné lepidlo, žádná chemie. Celé drží čistě mechanicky — zaklesnutí obepnou sousední zuby a drží na místě.
7

Vložte do úst a tvarujte

Celou konstrukci vložte do mezery v dolní řadě. Palci přitlačte zaklesnutí okolo sousedních zubů. Tvarujte je tak, aby co nejlépe kopírovaly tvar sousedů.

V dolní řadě gravitace pomáhá — konstrukce leží v mezeře místo toho, aby visela. Zaklesnutí nemusí být tak extrémně těsná jako v horní řadě.
8

Zarovnejte výšku

Velmi jemně skusujte — jen natolik, abyste zarovnali nový zub do správné výšky. Nesmí být vyšší než sousední zuby. Pokud je, můstek zatlačte hlouběji.

9

Nechte ztuhnout

Popíjejte studenou vodu, nebo prostě počkejte 2–3 minuty. Materiál ztuhne do trvalého tvaru. Od tohoto momentu drží.

Zkouška úsměvu

Otevřete ústa dokořán před zrcadlem, jako byste se od srdce smáli. Drží? Výborně, hotovo!

Co když se to nepovede napoprvé?

Vůbec to nevadí. Vhoďte celou konstrukci zpět do horké vody — materiál opět změkne a můžete začít znovu. Nic se neztratí ani neznehodnotí. DentiFlex je možné opakovaně změkčovat a přetvarovávat bez jakékoli ztráty kvality. Materiál je k tomu navržen.

Péče

Na noc zub vyjímejte. Jednou týdně ho namočte do ústní vody (Listerine nebo podobné). Na čištění nikdy nepoužívejte horkou vodu — materiál by změkl a ztratil tvar. Stačí vlažná voda a měkký kartáček.

Kdy Denticor není vhodný

Pokud máte na místě chybějícího zubu čerstvou ránu, zánět nebo otok — počkejte na zhojení. Pokud se sousední zuby kývají — Denticor nemá o co se zachytit. V těchto případech nejprve navštivte zubaře.

Související návody

Vaše situace může být trochu jiná. Podívejte se, zda Vám nesedí některý z těchto scénářů:

Podobná situace v horním rade?

Dva zuby na prechode mezi prednou a bočnou částí — 5/10, 25–35 minut

Chybí jen dolní rezák?

Malý zub vedle dolného predného rezáka — 2/10, 10–15 minut

Chybí jen dolní oční zub?

Špičatý zub v dolní řadě — 3/10, 15–20 minut

Nevíte, který návod je Váš?

AI diagnostika to zjistí za 2 minuty, vytvoří návod na míru a pořadí nejvhodnější Denticor balení.

Vyzkoušet diagnostiku →

Nepoužívejte Denticor při: čerstvé ráně po extrakci, zánětu dásní, kývajících se zubech, koncových mezerách (bez sousedního zubu z jedné strany).

AI Zjistěte, zda je Denticor pro Vás
Spustit diagnostiku