Chybí mi horní boční rezák a oční zub — jako si jejich nahradím?

Boční řezák a oční zub — dva zuby na rozhraní přední a bočnej časti úst. Medzera je viditelná při širšom úsměve a ovlivňuje celkový dojem.

Toto je náročnější scénář, protože oba zuby mají výrazne odlišné tvary — boční rezák je plochý, oční zub je špičatý. Výběr správných zubů z balení je tu klíčový.

Náročnejší scénář, ale zvládnutelný. Klíčom je ohnutý můstek. Nebojte se — provedeme vás tým krok za krokem. Zvládnete to.

Náročnost

5/10 — středně nároční

Čas

25–35 minut

Materiál

DentiFlex, 7 — 8 g

Úspěšnost

78 — 85 %

Výdrž

2 — 7 týdnů

Řada zubů

Horní, přední a boční zóna

Proč právě DentiFlex?

Estetická zóna = DentiFlex. Dva různé tvary zubů na jednom můstku vyžadujú přesnost — pomalšie tuhnuty PLUS materiálu vám dá čas na zarovnanie. Můstek musí byt mírně ohnutý, aby kopíroval oblúk čelisti v místě, kde se přední zuby ohýbajú do bočních.

Z čeho se konstrukce skládá

Náhrada se skladá z dvou různých korunek — menší boční rezák a výraznejší oční zub — a z jedného spoločního DentiFlex můstku. Můstek obopína nové korunky ze stran, spája jejich do jedného celku a po vložení se dotvaruje k okolním zubem.

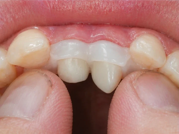
Schválený Denticor vizuál

Horní boční rezák + oční zub: pohled zepředu i zezadu

Tu se náhrada musí přizpůsobit rohu zubního oblúka. DentiFlex můstek nesie oba nové zuby jako jeden celok, obopína jejich ze stran a po vložení se dotvaruje tak, aby se pevne spojil s okolními zuby.

Denticor náhrada pro horní boční rezák a oční zub — pohled zepředu, vloženie můstku a výsledek Denticor náhrada pro horní boční rezák a oční zub — pohled zepředu, vloženie můstku a výsledek Denticor náhrada pro horní boční rezák a oční zub — pohled zepředu, vloženie můstku a výsledek Denticor náhrada pro horní boční rezák a oční zub — pohled zepředu, vloženie můstku a výsledek

Pohled zepředu

Z přední strany je vidět rozdíl mezi menším bočnm rezákom a výraznejším špičákem zubem. DentiFlex je viditelný zejména tam, kde prechádza mezi okolními zuby a novou náhradou — práve tyto kontakty pomáhajú držet celý můstek.

Denticor náhrada pro horní boční rezák a oční zub — pohled zezadu od podnebia, jako můstek obopína okolní zuby Denticor náhrada pro horní boční rezák a oční zub — pohled zezadu od podnebia, jako můstek obopína okolní zuby Denticor náhrada pro horní boční rezák a oční zub — pohled zezadu od podnebia, jako můstek obopína okolní zuby Denticor náhrada pro horní boční rezák a oční zub — pohled zezadu od podnebia, jako můstek obopína okolní zuby

Pohled zezadu

Ze zadní — podnebnej — strany je vidět, jako robustnejší můstek obopína okolní zuby a zároveň nesie nové korunky. Při tomto návode je důležit, aby můstek kopíroval zubní oblúk a oprel se o zuby před i za mezerou.

Obrázky jsou orientačnou ukážkou mechaniky Denticor řešení. Přesná hrúbka můstku, poloha korunek a množství DentiFlexu se vždy přizpůsobujú tvaru mezery a okolním zubem.

Postup krok za krokem

1

Vyberte dva nové zuby — různé tvary

Menší pro boční rezák, špičatý pro oční zub. Dva výrazne odlišné tvary.

2

Připravte si horkou vodu

Ohřejte vodu na 80–85 °C. Nesmí vřít. Jednoduchá zkouška: ponoříte prst na dvě sekundy — pokud je to horké, ale ještě snesitelné, teplota je správná.

3

Změkčete DentiFlex

Odoberte 7 — 8 gramov a vhoďte do horké vody. Za 2 — 3 minuty se granulky stanú průhlednnými a měkdokudi. Spojte jejich do jedné kuličky.

Proč průhledné? Materiál mění barvu podle stavu — bílé granulky = tvrdý. Průhledná hmota = měkký, připravený na tvarování. Když v ústech ztuhne, opět zbělá.
4

Vytvořte ohnutý můstek

Toto je klíčový krok. Můstek nevytvárajte jako rovnú pásku. Vytvorte robustnejší ohnutý můstek, který kopíruje přechod z předních zubů do bočnej časti chrupu. Jedna čast smeruje k střednímu rezáku, druhá k premoláru. Můstek má zároveň obopínat nové korunky ze stran, ne jen sediet za nimi.

Ohnutý můstek je klíčom k úspechu. Pokud by byl rovný, v rohu oblúka by od dásně odstával. Můstek musí kopírovat oblúk a pritom vytvořit boční kontakty mezi novými korunkami a okolními zuby.
5

Oba zuby do můstku

Menší boční rezák vložte do prednejšej časti můstku, výraznejší oční zub do časti, kde se oblúk láme směrem dozadu. Oba zuby musí byt pevne zasadené v jednom kuse DentiFlexu, který jejich obopína ze stran.

6

Vytvořte zaklesnutí

Zaklesnutí ne jsou samostatné súčiastky — jsou to konce toho istého můstku. Jeden konec se dotvaruje při strednom rezáku, druhý při premolári. Smerujú různými smermi, protože tato náhrada sedí v rohu zubního oblúka. Důležit je, aby DentiFlex vytvořil kontakt mezi okolními zuby a novou náhradou a aby nové korunky obopínal i zboku.

Žádné lepidlo, žádná chémia. Celé drží čisto mechanicky — okolní zuby držia DentiFlex můstek a můstek drží oba nové zuby.
7

Vložte do úst a tvarujte

Celú konstrukci vložte do mezery v horním rade jako jeden celok. Prstami jemne přitlačte můstek z podnebnej strany a dotvarujte ho při strednom rezáku i při premolári. Cílem je, aby DentiFlex obopěl nové korunky a zároveň se pevne napojil na okolní zuby.

Důležit pro horní řadu: konstrukce visí hore nohami a gravitace ji tahá nadol. Proto musí podnebná čast můstku sediet tesne a boční kontakty při okolních zubech musí byt dobre dotvarované.
8

Zarovnejte výšku

Velmi jemně skusujte — jen natolik, abyste zarovnali nový zub do správné výšky. Nesmí být vyšší než sousední zuby. Pokud je, můstek zatlačte hlouběji.

9

Nechte ztuhnout

Popíjejte studenou vodu, nebo prostě počkejte 2–3 minuty. Materiál ztuhne do trvalého tvaru. Od tohoto momentu drží.

Zkouška úsměvu

Otevřete ústa dokořán před zrcadlem, jako byste se od srdce smáli. Drží? Výborně, hotovo!

Co když se to nepovede napoprvé?

Vůbec to nevadí. Vhoďte celou konstrukci zpět do horké vody — materiál opět změkne a můžete začít znovu. Nic se neztratí ani neznehodnotí. DentiFlex je možné opakovaně změkčovat a přetvarovávat bez jakékoli ztráty kvality. Materiál je k tomu navržen.

Péče

Na noc zub vyjímejte. Jednou týdně ho namočte do ústní vody (Listerine nebo podobné). Na čištění nikdy nepoužívejte horkou vodu — materiál by změkl a ztratil tvar. Stačí vlažná voda a měkký kartáček.

Kdy Denticor není vhodný

Pokud máte na místě chybějícího zubu čerstvou ránu, zánět nebo otok — počkejte na zhojení. Pokud se sousední zuby kývají — Denticor nemá o co se zachytit. V těchto případech nejprve navštivte zubaře.

Související návody

Vaše situace může být trochu jiná. Podívejte se, zda Vám nesedí některý z těchto scénářů:

Chybí jen boční rezák?

Menší zub vedle velkého předního řezáku — 2/10, 10–15 minut

Chybí jen oční zub?

Špičatý zub v rohu úsměvu — 3/10, 15–20 minut

Podobná situace v dolním rade?

Dva zuby na přechodu v dolní řadě — 4/10, 20–30 minut

Nevíte, který návod je Váš?

AI diagnostika to zjistí za 2 minuty, vytvoří návod na míru a pořadí nejvhodnější Denticor balení.

Vyzkoušet diagnostiku →

Nepoužívejte Denticor při: čerstvé ráně po extrakci, zánětu dásní, kývajících se zubech, koncových mezerách (bez sousedního zubu z jedné strany).

AI Zjistěte, zda je Denticor pro Vás
Spustit diagnostiku