Vložit a Vybrat: rychlá náhrada chybějící stoličky dole (sousední zuby z obou stran)

Dolní ekvivalent S5. Největšia korunka (4 hrboleky), dutinka = vnitřní zámek. Gravitácia pomáha. Nejmenší stres ze stoličkových scénářů.

Gravitace pomáhá — konstrukce leží na dolní řadě.

Skontrolujte dutinku na korunke stoličky. Pokud je — vyplňte DentiFlex-om = výrazne lepší držanie.

⚡ Vložit a Vyjmout

Tento návod je pro situace, kdy potřebujete nový zub na 1–2 dny — večírek, pohovor, focení, schůzka. Jednoduchý alternativní postup.

Pro dlouhodobé nošení použijte hlavní návod →

Náročnost

2/5

Čas

15–20 minut

Materiál

DentiFlex, 5.5 g (většinu lahvičky DentiFlex)

Úspěšnost

93%

Retence

Zaklesnutí (tvarový zámek)

Řada zubů

Dolní, zadní/žvýkací zóna

Jak konstrukce drží

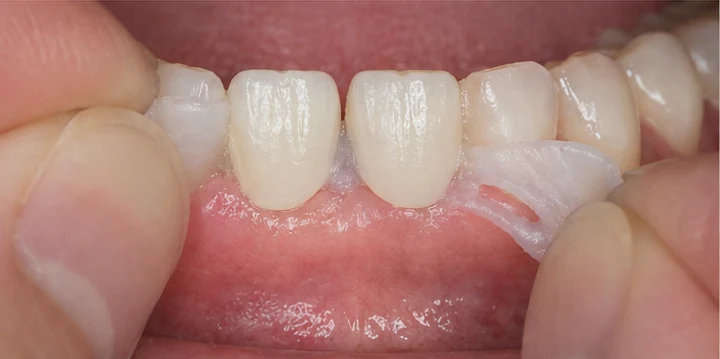
Materiál se po ztuhnutí zaklíní mezi okolní zuby. Žádné lepidlo, žádná chemie — čistě mechanické držení. Můstek zevnitř, korunka zvenku.

Z čeho se konstrukce skládá

Konstrukce se skládá z keramické korunky a můstku z DentiFlex materiálu. Můstek je schovaný zevnitř (od jazyka) — zvenku vidíte jen nový zub.

DOLNÁ STOLIČKA SO SUSEDNÝMI ZUBAMI Z OBOCH STRÁN — prierez (tvarový zámek) ▲ VENKU (rty) · ▼ UVNITŘ (jazyk) Okolní zub (kotva) Okolní zub (kotva) KORUNKA MŮSTEK (DentiFlex, 80–85 °C) zámek zámek Vytlačený materiál mezi můstkem a okolními zuby = TVAROVÝ ZÁMEK
DOLNÁ STOLIČKA SO SUSEDNÝMI ZUBAMI Z OBOCH STRÁN — pohled zepředu Okolní NOVÝ ZUB Okolní Zvenku vidíte jen korunky. Můstek je schovaný zevnitř.
Gravitácia: S5 (horní) vs S11 (dolní) HORNÁ STOLIČKA SO SUSEDNÝMI ZUBAMI Z OBOCH STRÁN Konstrukce Gravitace PROTI Tahá nadol — 3/5 Kontakty musí být EXTRA těsné DOLNÁ STOLIČKA SO SUSEDNÝMI ZUBAMI Z OBOCH STRÁN Konstrukce Gravitace POMÁHÁ Drží na místě — 2/5
DOLNÁ STOLIČKA SO SUSEDNÝMI ZUBAMI Z OBOCH STRÁN — dutinka = vnitřní zámek 1. Korunka otočená Dutinka Priehlbina na spodku 2. Vyplnená DentiFlex Vyplnená materiálom 3. Vnitřní zámek Materiál se prepojil!
DOLNÁ STOLIČKA SO SUSEDNÝMI ZUBAMI Z OBOCH STRÁN — postup v jednom pohlede 🦷 Korunka 💧 Voda 📦 DentiFlex Změkčit 📏 Můstek ⬇️ Vtlačit 👄 Do úst 🔧 Kontakty 📐 Výška Ztuhnout Hotovo Celkový čas: 15–20 minut

Vložit a vyjmout

Nejprve vytvoříte celý celek. Pak ho vložíte do mezery a dotvarujete na místě.

U tohoto rychlého postupu se nedělají samostatné úchytky. Měkký DentiFlex můstek s oběma korunkami se připraví jako jeden kus, vloží se do mezery a následně se prsty jemně přitlačí a dotvaruje tak, aby se přizpůsobil okolí.

Vizuální postup vloženia a dotvarovania náhrady — dolnú stoličku se sousedem Vizuální postup vloženia a dotvarovania náhrady — dolnú stoličku se sousedem Vizuální postup vloženia a dotvarovania náhrady — dolnú stoličku se sousedem Vizuální postup vloženia a dotvarovania náhrady — dolnú stoličku se sousedem Vizuální postup vloženia a dotvarovania náhrady — dolnú stoličku se sousedem Vizuální postup vloženia a dotvarovania náhrady — dolnú stoličku se sousedem

Obrázek slouží jako orientační vysvětlení postupu. Přesné množství DentiFlexu, šířka můstku a finální dotvarování se vždy přizpůsobuje Vašim zubům.

Konstrukce2 korunky + 1 můstek
Nasazenívkládá se jako celek
Dotvarováníprsty přímo v ústech
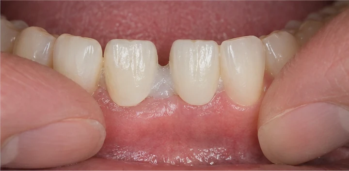
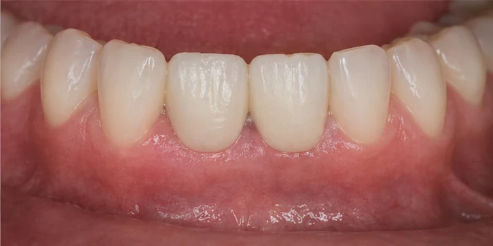
Vzhledzvenku vidíte hlavně nové zuby

Postup krok za krokem

1

Změkčete DentiFlex

Uvarte vodu, odstavte na 1–2 minuty. Nalejte do hrnčeka. Vysypte ~5 gramy DentiFlex. Počkejte dokud granulky nebudú úplně příesvitné (~2 minuty). Vyberte lžičkou.

2

Udělejte kostku podle šířky mezery

Z příesvitného materiálu vytvarujte kocku — velikost přizpůsobte šírke mezery. Stolička je široká — kocka bude velká. Toto bude budúci můstek.

3

Vyberte vhodný zub a otestujte

Z balení vyjměte největšiu korunku se širokou žuvacou plochou. Priložte k mezeře — zkontrolujte, či se zmestí a či má po stranách voln prostor. Pokud korunka má ve vnútri dutinku, vtlačte do nej malý kousek materiálu — vnitřní zámek, zub se potom nemůže od můstku odtrhnút. Stolička je najširší zub. Gravitácia pomáha — dolní konstrukce držia lehšie.

💡 Postupem času se okolní zuby posouvají směrem do volného prostoru — mezera může být menší než původní zub.
4

Zub strčte do kostky

Vybranou korunku zatlačte do ještě měkké kostky. Žvýkací plocha směřuje nahoru, můstek zůstane za korunkou směrem k jazyku.

5

Vložte do mezery a pořádně zatlačte

Celú konstrukci vložte do mezery v dolním rade. Před vložením jemne osušte servítkou místo, kde chybí zub (dáseň i okolní zuby). Materiál také osušte. Přitlačte nadol k dásni a podržte. Materiál se vytlačí do příestorov okolo — obkolesí sousední zuby z bokov.

6

Jemně povytáhněte — udělejte vůli

Jemně konstrukci povytáhněte směrem ven z mezery. Jen trošku — aby můstek nebyl úplně napevno. Mírná vůle = snadné nasazování i vyjímání. Když náhradu vyjmete, boční strany se mírně zkrátí — to je normální. Při opětovném nasazení se materiál znovu přizpůsobí.

7

Skousněte

Jemně skousněte — nová zubní náhrada přesně sedne na své místo. Žvýkací plocha by měla být ve stejné výšce jako okolní zuby.

8

Jazykem nahmatejte a odstřihněte přebytečný materiál

Jazykem projděte okolo můstku. Kde cítíte, že materiál přečnívá nebo Vám vadí — odstřihněte nůžkami nebo přebytečnou část ponořte do horké vody — změkne jen ponořená část a jednoduše ji oddělíte. Stříháte nebo oddělujete, dokud je ještě poddajný.

9

Nechte ztuhnout — hotovo

Nechte v ústech 2–3 minuty nebo popijte studenou vodu. Materiál ztuhne.

Pokud nedrží?

Ponořte boční strany celé zubní náhrady do horké vody — změkne jen to, co jste do vody vložili. Pak náhradu znovu nasaďte — ne pod pravým úhlem, ale pod mírným úhlem, který Vám vyhovuje. Prsty stlačte boční strany můstku směrem k sousedním zubům, aby je dobře obklopily. Zaklesnutí + obklopení okolních zubů = na tom to drží.

Co když se to nepovede napoprvé?

DentiFlex je možné opakovaně zahřívat (80–85 °C) a přetvarovat — nic nemůžete pokazit. Materiál se přitom nepoškodí.

Padá

Příčina: Kontakty volné nebo můstek tenký.

Řešení: Změkčete. Hrubší můstek (4mm+). Tesnejšie. Dutinka — vyplňte.

Bolí

Příčina: Příliš vysoká.

Řešení: Změkčete, zatlačte hlbšie.

Korunka vypadne

Příčina: Málo zatlačená.

Řešení: DentiFlex (50–55 °C) na spodok a do dutinky. Vložit zpět.

Péče

Na noc konstrukci vyjímejte. Jednou týdně namočte do ústní vody (Listerine nebo podobné). Na čištění NIKDY nepoužívejte horkou vodu — materiál by změkl. Stačí vlažná voda a měkký kartáček.

Kdy Denticor není vhodný

Pokud máte čerstvou ránu, zánět nebo otok — počkejte na zhojení. Pokud se okolní zuby kývají — Denticor nemá o co se zachytit. V těchto případech nejprve navštivte zubaře.

Související návody

Vaše situace může být trochu jiná:

DOLNÍ PŘEDNÍ ŘEZÁK

1/5 obtížnost, 10 minut

DOLNÍ BOČNÍ ŘEZÁK

1/5 obtížnost, 10 minut

DOLNÍ ŠPIČÁK

3/5 obtížnost, 15 minut

Nevíte, který návod je Váš?

AI diagnostika to zjistí za 2 minuty, vytvoří návod na míru a pořadí nejvhodnější Denticor balení.

Vyzkoušet diagnostiku →

Nepoužívejte Denticor při: čerstvé ráně po extrakci, zánětu dásní, kývajících se zubech. Při pochybnostech nejprve navštivte zubaře.

AI Zjistěte, zda je Denticor pro Vás
Spustit diagnostiku