Vložit a Vybrat: rychlá náhrada chybějícího dolného predného zubu (rezák)

NAJĽAHŠÍ scénář. Gravitácia pomáha (dolní řadu). Nejmenší zub v ústech. 96%+ úspěšnost na první pokus. Pokud se vám podaří jakýkoli scénář, tento se podaří určite.

Gravitace pomáhá — konstrukce leží na dolní řadě.

Dolní přední zuby jsou DROBNÉ. Najčastejšia chyba je příliš hodně materiálu — hrubý můstek se nezmestí mezi drobné zuby. Začněte s málom.

⚡ Vložit a Vyjmout

Tento návod je pro situace, kdy potřebujete nový zub na 1–2 dny — večírek, pohovor, focení, schůzka. Jednoduchý alternativní postup. Konstrukce drží spolehlivě na krátké období.

Pro dlouhodobé nošení (týdny) použijte hlavní návod →

Náročnost

1/5

Čas

10 minut

Materiál

DentiFlex, 3 g (asi tretina lahvičky DentiFlex)

Úspěšnost

96%

Retence

Zaklesnutí (tvarový zámek)

Řada zubů

Dolní, přední zóna

Jak konstrukce drží

Materiál se po ztuhnutí zaklíní mezi okolní zuby. Žádné lepidlo, žádná chemie — čistě mechanické držení. Můstek zevnitř, korunka zvenku.

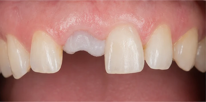
Z čeho se konstrukce skládá

Konstrukce se skládá z keramické korunky a můstku z DentiFlex materiálu. Můstek je schovaný zevnitř (od jazyka) — zvenku vidíte jen nový zub.

DOLNÍ PŘEDNÍ ŘEZÁK — prierez (tvarový zámek) ▲ VENKU (rty) · ▼ UVNITŘ (jazyk) Okolní zub (kotva) Okolní zub (kotva) KORUNKA MŮSTEK (DentiFlex, 80–85 °C) zámek zámek Vytlačený materiál mezi můstkem a okolními zuby = TVAROVÝ ZÁMEK
DOLNÍ PŘEDNÍ ŘEZÁK — pohled zepředu Okolní NOVÝ ZUB Okolní Zvenku vidíte jen korunky. Můstek je schovaný zevnitř.
DOLNÍ PŘEDNÍ ŘEZÁK — postup v jednom pohlede 🦷 Korunka 💧 Voda 📦 DentiFlex Změkčit 📏 Můstek ⬇️ Vtlačit 👄 Do úst 🔧 Kontakty 📐 Výška Ztuhnout Hotovo Celkový čas: 10 minut

Vložit a vyjmout

Nejprve vytvoříte celý celek. Pak ho vložíte do mezery a dotvarujete na místě.

U tohoto rychlého postupu se nedělají samostatné úchytky. Měkký DentiFlex můstek s korunkou se připraví jako jeden kus, vloží se do mezery a následně se prsty jemně přitlačí a dotvaruje tak, aby se přizpůsobil okolí.

Vizuální postup vloženia a dotvarovania náhrady — dolní přední rezák Vizuální postup vloženia a dotvarovania náhrady — dolní přední rezák Vizuální postup vloženia a dotvarovania náhrady — dolní přední rezák Vizuální postup vloženia a dotvarovania náhrady — dolní přední rezák Vizuální postup vloženia a dotvarovania náhrady — dolní přední rezák Vizuální postup vloženia a dotvarovania náhrady — dolní přední rezák

Obrázek slouží jako orientační vysvětlení postupu. Přesné množství DentiFlexu, šířka můstku a finální dotvarování se vždy přizpůsobuje Vašim zubům.

Konstrukce1 korunka + 1 můstek
Nasazenívkládá se jako celek
Dotvarováníprsty přímo v ústech
Vzhledzvenku vidíte hlavně nový zub

Postup krok za krokem

1

Změkčete DentiFlex

Uvarte vodu, odstavte na 1–2 minuty. Nalejte do hrnčeka. Vysypte ~2 gramy DentiFlex. Počkejte dokud granulky nebudú úplně příesvitné (~2 minuty). Vyberte lžičkou.

2

Udělejte kostku podle šířky mezery

Z příesvitného materiálu vytvarujte kocku — velikost přizpůsobte šírke mezery. Dolní přední rezáky jsou drobné — kocka bude malá. Toto bude budúci můstek.

3

Vyberte vhodný zub a otestujte

Z balení vyjměte nejmenší plochú korunku z balení. Priložte ho k mezeře — zkontrolujte, či se zmestí a či má po stranách voln prostor (tam se uchytí můstek). Dolní přední rezák je nejmenší zub v ústech.

💡 Postupem času se okolní zuby posouvají směrem do volného prostoru — mezera může být menší než původní zub. Někdy stačí jeden menší zub místo původního.
4

Zub strčte do kostky

Vybranou korunku zatlačte do ještě měkké kostky. Zubní část směřuje ven (ke rtům), můstek zůstane za ní (k jazyku).

5

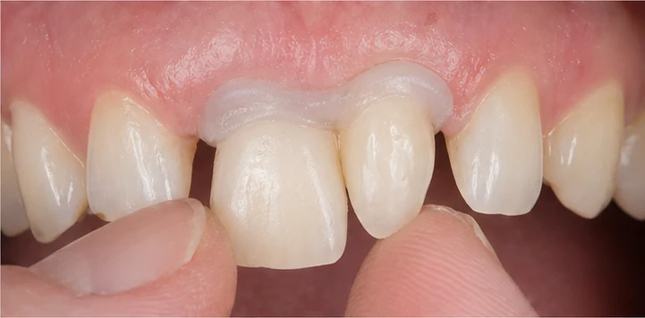
Vložte do mezery a pořádně zatlačte

Celú konstrukci (zub + kocka) vložte do mezery v dolním rade. Korunka von, můstek k jazyku. Před vložením jemne osušte servítkou místo, kde chybí zub (dáseň i okolní zuby). Materiál také osušte. Přitlačte nadol k dásni. Materiál se vytlačí do příestorov okolo — mezi sousední zuby.

6

Jemně povytáhněte — udělejte vůli

To je důležité: jemně konstrukci povytáhněte směrem ven z mezery. Jen trošku — aby můstek nebyl úplně napevno. Pokud by byl příliš těsný, budete mít problém s vyjímáním. Mírná vůle = snadné nasazování i vyjímání. Když náhradu vyjmete, boční strany se mírně zkrátí — to je normální. Při opětovném nasazení se materiál znovu přizpůsobí.

7

Skousněte

Jemně skousněte — nová zubní náhrada přesně sedne na své místo. Uvidíte i pocítíte, že výška sedí oproti ostatním zubům.

8

Jazykem nahmatejte přebytečný materiál

Jazykem projděte okolo můstku. Kde cítíte, že materiál přečnívá nebo Vám vadí — odstřihněte to nůžkami nebo přebytečnou část ponořte do horké vody — změkne jen ponořená část a jednoduše ji oddělíte.

9

Nechte ztuhnout — hotovo

Nechte konstrukci v ústech 2–3 minuty nebo popijte studenou vodu. Materiál ztuhne. Podívejte se do zrcadla — nový zub je na místě.

Pokud nedrží?

Ponořte boční strany celé zubní náhrady do horké vody — změkne jen to, co jste do vody vložili. Pak náhradu znovu nasaďte — ne pod pravým úhlem, ale pod mírným úhlem, který Vám vyhovuje. Prsty stlačte boční strany můstku směrem k sousedním zubům, aby je dobře obklopily. Na nich to drží.

Co když se to nepovede napoprvé?

DentiFlex je možné opakovaně zahřívat (80–85 °C) a přetvarovat — nic nemůžete pokazit. Materiál se přitom nepoškodí.

Hýbe se do stran

Příčina: Kontakty volné.

Řešení: Změkčete. Přitlačte tesnejšie. Při dolním rade je toto zriedkavé — gravitace pomáha.

Můstek se nezmestí

Příčina: Příliš hodně materiálu pro drobné dolní zuby.

Řešení: Změkčete. Urobte TENŠÍ a UŽŠÍ můstek. Dolní přední jsou nejmenší.

Ztuhl rychle

Příčina: DentiFlex tuhne rychle.

Řešení: Horká voda, změkne. Opakovaně.

Péče

Na noc konstrukci vyjímejte. Jednou týdně namočte do ústní vody (Listerine nebo podobné). Na čištění NIKDY nepoužívejte horkou vodu — materiál by změkl. Stačí vlažná voda a měkký kartáček.

Kdy Denticor není vhodný

Pokud máte čerstvou ránu, zánět nebo otok — počkejte na zhojení. Pokud se okolní zuby kývají — Denticor nemá o co se zachytit. V těchto případech nejprve navštivte zubaře.

Související návody

Vaše situace může být trochu jiná:

DOLNÍ BOČNÍ ŘEZÁK

1/5 obtížnost, 10 minut

DOLNÍ ŠPIČÁK

3/5 obtížnost, 15 minut

DOLNÍ PREMOLÁR

2/5 obtiažnost, 15 minut

Nevíte, který návod je Váš?

AI diagnostika to zjistí za 2 minuty, vytvoří návod na míru a pořadí nejvhodnější Denticor balení.

Vyzkoušet diagnostiku →

Nepoužívejte Denticor při: čerstvé ráně po extrakci, zánětu dásní, kývajících se zubech. Při pochybnostech nejprve navštivte zubaře.

AI Zjistěte, zda je Denticor pro Vás
Spustit diagnostiku