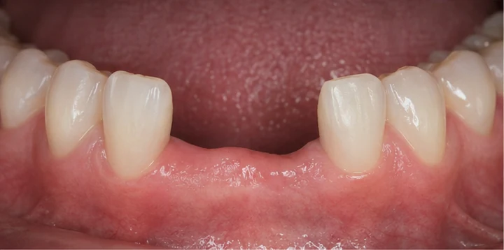
Vložit a Vybrat: rychlá náhrada dvou malých předních zubů dole

Dolní ekvivalent S13 ale BEZ faziet — gravitace kompenzuje tenké okolní zuby. 1 fáza, 1 materiál.

Gravitace pomáhá — konstrukce leží na dolní řadě.

Gravitace pomáhá — méně stresu než horní ekvivalent.

⚡ Vložit a Vyjmout

Tento návod je pro situace, kdy potřebujete nový zub na 1–2 dny — večírek, pohovor, focení, schůzka. Jednoduchý alternativní postup.

Pro dlouhodobé nošení použijte hlavní návod →

Náročnost

2/5

Čas

15 minut

Materiál

DentiFlex, 3.5 g (tretinu až polovicu lahvičky)

Úspěšnost

93%

Retence

Zaklesnutí (tvarový zámek)

Řada zubů

Dolní, přední zóna

Jak konstrukce drží

Materiál se po ztuhnutí zaklíní mezi okolní zuby. Žádné lepidlo, žádná chemie — čistě mechanické držení. Můstek zevnitř, korunka zvenku.

Z čeho se konstrukce skládá

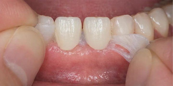
Konstrukce se skladá z keramických korunek a můstku z DentiFlex materiálu. Připraví se jako jeden celok mimo úst, vloží se do mezery a potom se prstami jemne dotvaruje přímo na místě. Můstek je schovaný zvnútra (od jazyka) — zvonku vidíte nové zuby.

Vložit a vyjmout

Nejprve vytvoříte celý celek. Pak ho vložíte do mezery a dotvarujete na místě.

Při tomto rýchlom postupe se nerobia samostatné úchytky. Měkký DentiFlex můstek s oboma korunkami se připraví jako jeden kus, vloží se do mezery a následně se prstami jemne přitlačí a dotvaruje tak, aby se přizpůsobil okoliu.

Denticor rychlá náhrada dvou dolních předních rezákov: mezera, připravený DentiFlex můstek s dvěma zuby, vloženie jako celku a výsledek Denticor rychlá náhrada dvou dolních předních rezákov: mezera, připravený DentiFlex můstek s dvěma zuby, vloženie jako celku a výsledek Denticor rychlá náhrada dvou dolních předních rezákov: mezera, připravený DentiFlex můstek s dvěma zuby, vloženie jako celku a výsledek Denticor rychlá náhrada dvou dolních předních rezákov: mezera, připravený DentiFlex můstek s dvěma zuby, vloženie jako celku a výsledek

Obrázek slouží jako orientační vysvětlení postupu. Přesné množství DentiFlexu, šířka můstku a finální dotvarování se vždy přizpůsobuje Vašim zubům.

Konstrukce2 korunky + 1 měkký můstek
Nasazenívkladá se jako jeden celok
Dotvarováníprsty přímo v ústech
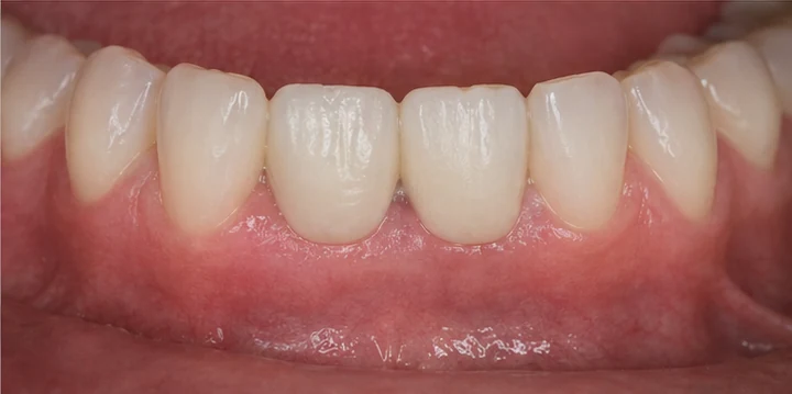
Vzhledzvenku vidíte hlavně nové zuby
DOLNÉ DVA PREDNÉ REZÁKY — prierez (tvarový zámek) ▲ VENKU (rty) · ▼ UVNITŘ (jazyk) Okolní zub (HRUBÝ) Okolní zub (TENKÝ) KORUNKY MŮSTEK (DentiFlex, 80–85 °C) zámek zámek Vytlačený materiál mezi můstkem a okolními zuby = TVAROVÝ ZÁMEK
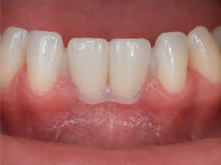
DOLNÉ DVA PREDNÉ REZÁKY — pohled zepředu Okolní NOVÝ ZUB Okolní Zvenku vidíte jen korunky. Můstek je schovaný zevnitř.
Gravitácia: S13 (horní) vs S19 (dolní) HORNÉ DVA STREDNÉ REZÁKY Konstrukce Gravitace PROTI Tahá nadol — 4/5 Kontakty musí být EXTRA těsné DOLNÉ DVA PREDNÉ REZÁKY Konstrukce Gravitace POMÁHÁ Drží na místě — 2/5
DOLNÉ DVA PREDNÉ REZÁKY — postup v jednom pohlede 🦷 Korunka 💧 Voda 📦 DentiFlex Změkčit 📏 Můstek ⬇️ Vtlačit 👄 Do úst 🔧 Kontakty 📐 Výška Ztuhnout Hotovo Celkový čas: 15 minut

Vložit a vyjmout

Nejprve vytvoříte celý celek. Pak ho vložíte do mezery a dotvarujete na místě.

U tohoto rychlého postupu se nedělají samostatné úchytky. Měkký DentiFlex můstek s oběma korunkami se připraví jako jeden kus, vloží se do mezery a následně se prsty jemně přitlačí a dotvaruje tak, aby se přizpůsobil okolí.

Vizuální postup vloženia a dotvarovania náhrady — dolní dva přední rezáky Vizuální postup vloženia a dotvarovania náhrady — dolní dva přední rezáky Vizuální postup vloženia a dotvarovania náhrady — dolní dva přední rezáky Vizuální postup vloženia a dotvarovania náhrady — dolní dva přední rezáky Vizuální postup vloženia a dotvarovania náhrady — dolní dva přední rezáky Vizuální postup vloženia a dotvarovania náhrady — dolní dva přední rezáky

Obrázek slouží jako orientační vysvětlení postupu. Přesné množství DentiFlexu, šířka můstku a finální dotvarování se vždy přizpůsobuje Vašim zubům.

Konstrukce2 korunky + 1 můstek
Nasazenívkládá se jako celek
Dotvarováníprsty přímo v ústech
Vzhledzvenku vidíte hlavně nové zuby

Postup krok za krokem

1

Změkčete DentiFlex

Uvarte vodu, odstavte na 1–2 minuty. Nalejte do hrnčeka. Vysypte ~3.5 gramy DentiFlex — při dvou zubech potřebujete více materiálu. Počkejte dokud granulky nebudú úplně příesvitné (~2 minuty). Vyberte lžičkou.

2

Udělejte kostku podle šířky mezery

Z příesvitného materiálu vytvarujte kocku — větší, podle šírky celé mezery po dvou chybějících zubech. Dolní přední jsou drobné — kocka bude malá, ale musí pokryt obě mezery.

3

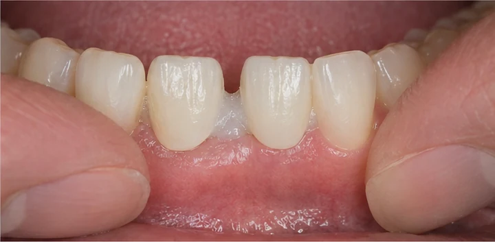
Vyberte vhodné zuby a otestujte

Vyberte dve nejmenší ploché korunky z balení. Priložte k mezeře — zkontrolujte, či se obě korunky zmestia vedle seba a či mají po stranách voln prostor pro můstek. Dva nejmenší zuby v ústech — dolní přední rezáky.

💡 Postupem času se okolní zuby posouvají do volného prostoru — mezera může být menší než dva původní zuby. Někdy stačí jedna větší korunka místo dvou menších.
4

Zuby strčte do kostky

Obě korunky (nebo jednu větší) zatlačte vedle sebe do ještě měkké kostky. Zubní části ven (ke rtům), můstek za nimi (k jazyku).

5

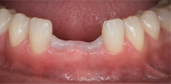
Vložte do mezery a pořádně zatlačte

Celou konstrukci vložte do mezery v dolní řadě. Před vložením jemně osušte ubrouskem místo, kde chybí zub (dáseň i okolní zuby). Materiál také osušte. Přitlačte dolů k dásni a podržte 10–15 sekund. Materiál se vytlačí do prostorů okolo — mezi sousední zuby z obou stran.

6

Jemně povytáhněte — udělejte vůli

Jemně konstrukci povytáhněte směrem ven z mezery. Jen trošku — aby můstek nebyl úplně napevno. Mírná vůle = snadné nasazování i vyjímání. Když náhradu vyjmete, boční strany se mírně zkrátí — to je normální. Při opětovném nasazení se materiál znovu přizpůsobí.

7

Skousněte

Jemně skousněte — nová zubní náhrada přesně sedne na své místo.

8

Jazykem nahmatejte a odstřihněte přebytečný materiál

Jazykem projděte okolo celého můstku. Kde cítíte, že materiál přečnívá nebo Vám vadí — odstřihněte nůžkami nebo přebytečnou část ponořte do horké vody — změkne jen ponořená část a jednoduše ji oddělíte. Stříháte nebo oddělujete, dokud je ještě poddajný.

9

Nechte ztuhnout — hotovo

Nechte v ústech 2–3 minuty nebo popijte studenou vodu. Materiál ztuhne.

Pokud nedrží?

Ponořte boční strany celé zubní náhrady do horké vody — změkne jen to, co jste do vody vložili. Pak náhradu znovu nasaďte — ne pod pravým úhlem, ale pod mírným úhlem, který Vám vyhovuje. Prsty stlačte boční strany můstku směrem k sousedním zubům, aby je dobře obklopily. Na nich to drží.

Co když se to nepovede napoprvé?

DentiFlex je možné opakovaně zahřívat (80–85 °C) a přetvarovat — nic nemůžete pokazit. Materiál se přitom nepoškodí.

Nedrží / padá

Příčina: Kontakty volné.

Řešení: Změkčete (80–85 °C). Těsnější kontakty.

Ztuhl rychle

Příčina: DentiFlex tuhne rychle.

Řešení: Horká voda (80–85 °C), změkne.

Péče

Na noc konstrukci vyjímejte. Jednou týdně namočte do ústní vody (Listerine nebo podobné). Na čištění NIKDY nepoužívejte horkou vodu — materiál by změkl. Stačí vlažná voda a měkký kartáček.

Kdy Denticor není vhodný

Pokud máte čerstvou ránu, zánět nebo otok — počkejte na zhojení. Pokud se okolní zuby kývají — Denticor nemá o co se zachytit. V těchto případech nejprve navštivte zubaře.

Související návody

Vaše situace může být trochu jiná:

DOLNÍ PŘEDNÍ ŘEZÁK

1/5 obtížnost, 10 minut

DOLNÍ BOČNÍ ŘEZÁK

1/5 obtížnost, 10 minut

DOLNÍ ŠPIČÁK

3/5 obtížnost, 15 minut

Nevíte, který návod je Váš?

AI diagnostika to zjistí za 2 minuty, vytvoří návod na míru a pořadí nejvhodnější Denticor balení.

Vyzkoušet diagnostiku →

Nepoužívejte Denticor při: čerstvé ráně po extrakci, zánětu dásní, kývajících se zubech. Při pochybnostech nejprve navštivte zubaře.

AI Zjistěte, zda je Denticor pro Vás
Spustit diagnostiku