Vložit a Vybrat: rychlá náhrada chybějícího dolného bočnho zubu (rezák)

Téměř identický se S7. Malý zub, gravitace pomáha. Očný zub z jedné strany = lepší kotvící bod (robustnejší).

Gravitace pomáhá — konstrukce leží na dolní řadě.

Velmi podobný postup jako S7 (dolní přední rezák). Očný zub je robustnejší — lepší kotva. 95% úspěšnost.

⚡ Vložit a Vyjmout

Tento návod je pro situace, kdy potřebujete nový zub na 1–2 dny — večírek, pohovor, focení, schůzka. Jednoduchý alternativní postup.

Pro dlouhodobé nošení použijte hlavní návod →

Náročnost

1/5

Čas

10 minut

Materiál

DentiFlex, 3 g (asi tretina lahvičky DentiFlex)

Úspěšnost

95%

Retence

Zaklesnutí (tvarový zámek)

Řada zubů

Dolní, přední zóna

Jak konstrukce drží

Materiál se po ztuhnutí zaklíní mezi okolní zuby. Žádné lepidlo, žádná chemie — čistě mechanické držení. Můstek zevnitř, korunka zvenku.

Z čeho se konstrukce skládá

Konstrukce se skládá z keramické korunky a můstku z DentiFlex materiálu. Můstek je schovaný zevnitř (od jazyka) — zvenku vidíte jen nový zub.

DOLNÍ BOČNÍ ŘEZÁK — prierez (tvarový zámek) ▲ VENKU (rty) · ▼ UVNITŘ (jazyk) Okolní zub (kotva) Okolní zub (kotva) KORUNKA MŮSTEK (DentiFlex, 80–85 °C) zámek zámek Vytlačený materiál mezi můstkem a okolními zuby = TVAROVÝ ZÁMEK
DOLNÍ BOČNÍ ŘEZÁK — pohled zepředu Okolní NOVÝ ZUB Okolní Zvenku vidíte jen korunky. Můstek je schovaný zevnitř.
Gravitácia: S2 (horní) vs S8 (dolní) HORNÍ BOČNÍ ŘEZÁK Konstrukce Gravitace PROTI Tahá nadol — 2/5 Kontakty musí být EXTRA těsné DOLNÍ BOČNÍ ŘEZÁK Konstrukce Gravitace POMÁHÁ Drží na místě — 1/5
DOLNÍ BOČNÍ ŘEZÁK — postup v jednom pohlede 🦷 Korunka 💧 Voda 📦 DentiFlex Změkčit 📏 Můstek ⬇️ Vtlačit 👄 Do úst 🔧 Kontakty 📐 Výška Ztuhnout Hotovo Celkový čas: 10 minut

Vložit a vyjmout

Nejprve vytvoříte celý celek. Pak ho vložíte do mezery a dotvarujete na místě.

U tohoto rychlého postupu se nedělají samostatné úchytky. Měkký DentiFlex můstek s korunkou se připraví jako jeden kus, vloží se do mezery a následně se prsty jemně přitlačí a dotvaruje tak, aby se přizpůsobil okolí.

Vizuální postup vloženia a dotvarovania náhrady — dolní boční rezák Vizuální postup vloženia a dotvarovania náhrady — dolní boční rezák Vizuální postup vloženia a dotvarovania náhrady — dolní boční rezák Vizuální postup vloženia a dotvarovania náhrady — dolní boční rezák Vizuální postup vloženia a dotvarovania náhrady — dolní boční rezák Vizuální postup vloženia a dotvarovania náhrady — dolní boční rezák

Obrázek slouží jako orientační vysvětlení postupu. Přesné množství DentiFlexu, šířka můstku a finální dotvarování se vždy přizpůsobuje Vašim zubům.

Konstrukce1 korunka + 1 můstek
Nasazenívkládá se jako celek
Dotvarováníprsty přímo v ústech
Vzhledzvenku vidíte hlavně nový zub

Postup krok za krokem

1

Změkčete DentiFlex

Uvarte vodu, odstavte na 1–2 minuty. Nalejte do hrnčeka. Vysypte ~2.5 gramy DentiFlex. Počkejte dokud granulky nebudú úplně příesvitné (~2 minuty). Vyberte lžičkou.

2

Udělejte kostku podle šířky mezery

Z příesvitného materiálu vytvarujte kocku — velikost přizpůsobte šírke mezery. Kocka bude malá — dolní rezáky jsou drobné. Toto bude budúci můstek.

3

Vyberte vhodný zub a otestujte

Z balení vyjměte malú plochú korunku — o něco větší než nejmenší přední rezák. Priložte ho k mezeře — zkontrolujte, či se zmestí a či má po stranách voln prostor (tam se uchytí můstek). Malý zub vedle dolného predného rezáka.

💡 Postupem času se okolní zuby posouvají směrem do volného prostoru — mezera může být menší než původní zub. Někdy stačí jeden menší zub místo původního.
4

Zub strčte do kostky

Vybranou korunku zatlačte do ještě měkké kostky. Zubní část směřuje ven (ke rtům), můstek zůstane za ní (k jazyku).

5

Vložte do mezery a pořádně zatlačte

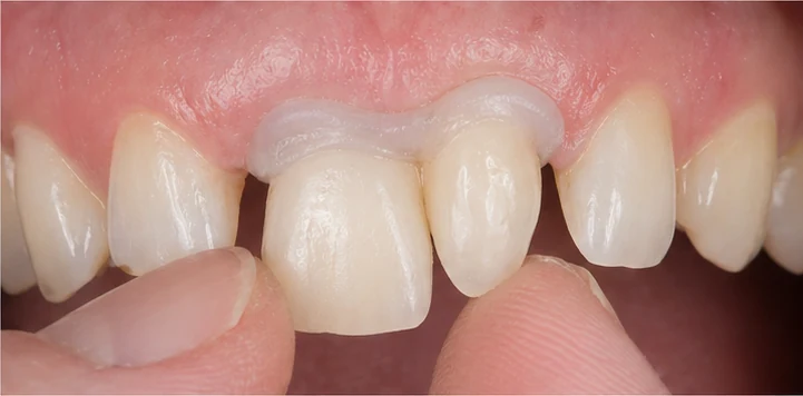
Celú konstrukci (zub + kocka) vložte do mezery v dolním rade. Korunka von, můstek k jazyku. Před vložením jemne osušte servítkou místo, kde chybí zub (dáseň i okolní zuby). Materiál také osušte. Přitlačte nadol k dásni. Materiál se vytlačí do příestorov okolo — mezi sousední zuby.

6

Jemně povytáhněte — udělejte vůli

To je důležité: jemně konstrukci povytáhněte směrem ven z mezery. Jen trošku — aby můstek nebyl úplně napevno. Pokud by byl příliš těsný, budete mít problém s vyjímáním. Mírná vůle = snadné nasazování i vyjímání. Když náhradu vyjmete, boční strany se mírně zkrátí — to je normální. Při opětovném nasazení se materiál znovu přizpůsobí.

7

Skousněte

Jemně skousněte — nová zubní náhrada přesně sedne na své místo. Uvidíte i pocítíte, že výška sedí oproti ostatním zubům.

8

Jazykem nahmatejte přebytečný materiál

Jazykem projděte okolo můstku. Kde cítíte, že materiál přečnívá nebo Vám vadí — odstřihněte to nůžkami nebo přebytečnou část ponořte do horké vody — změkne jen ponořená část a jednoduše ji oddělíte.

9

Nechte ztuhnout — hotovo

Nechte konstrukci v ústech 2–3 minuty nebo popijte studenou vodu. Materiál ztuhne. Podívejte se do zrcadla — nový zub je na místě.

Pokud nedrží?

Ponořte boční strany celé zubní náhrady do horké vody — změkne jen to, co jste do vody vložili. Pak náhradu znovu nasaďte — ne pod pravým úhlem, ale pod mírným úhlem, který Vám vyhovuje. Prsty stlačte boční strany můstku směrem k sousedním zubům, aby je dobře obklopily. Na nich to drží.

Co když se to nepovede napoprvé?

DentiFlex je možné opakovaně zahřívat (80–85 °C) a přetvarovat — nic nemůžete pokazit. Materiál se přitom nepoškodí.

Nedrží / padá

Příčina: Kontakty s okolními zuby volné.

Řešení: Změkčete (80–85 °C). Přitlačte kontakty tesnejšie.

Materiál ztuhl rychle

Příčina: DentiFlex tuhne rychle. Normálne.

Řešení: Horká voda (80–85 °C), změkne. Opakovaně.

Péče

Na noc konstrukci vyjímejte. Jednou týdně namočte do ústní vody (Listerine nebo podobné). Na čištění NIKDY nepoužívejte horkou vodu — materiál by změkl. Stačí vlažná voda a měkký kartáček.

Kdy Denticor není vhodný

Pokud máte čerstvou ránu, zánět nebo otok — počkejte na zhojení. Pokud se okolní zuby kývají — Denticor nemá o co se zachytit. V těchto případech nejprve navštivte zubaře.

Související návody

Vaše situace může být trochu jiná:

DOLNÍ PŘEDNÍ ŘEZÁK

1/5 obtížnost, 10 minut

DOLNÍ ŠPIČÁK

3/5 obtížnost, 15 minut

DOLNÍ PREMOLÁR

2/5 obtiažnost, 15 minut

Nevíte, který návod je Váš?

AI diagnostika to zjistí za 2 minuty, vytvoří návod na míru a pořadí nejvhodnější Denticor balení.

Vyzkoušet diagnostiku →

Nepoužívejte Denticor při: čerstvé ráně po extrakci, zánětu dásní, kývajících se zubech. Při pochybnostech nejprve navštivte zubaře.

AI Zjistěte, zda je Denticor pro Vás
Spustit diagnostiku