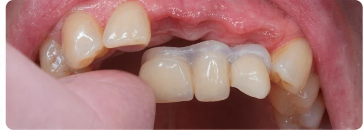
Chybí mi horní stredný + boční + oční zub — jako si ho nahradím?

Najdlhší ohnutý můstek. Tři různé korunky. Oba okolní HRUBÉ. Ohyb 15–25°.

Horní řada — gravitace táhne dolů, kontakty musí být těsné.

Plus balení doporučené u tří chybějících zubů.

Náročnost

5/5

Čas

30–40 minut

Materiál

DentiFlex, 7 g (většinu lahvičky (Plus balení))

Úspěšnost

78%

Retence

Zaklesnutí (tvarový zámek)

Řada zubů

Horní, přední zóna

Jak konstrukce drží

Materiál se po ztuhnutí zaklíní mezi okolní zuby. Žádné lepidlo, žádná chemie — čistě mechanické držení. Můstek zevnitř, korunka zvenku.

Z čeho se konstrukce skládá

Konstrukce se skládá z keramické korunky a můstku z DentiFlex materiálu. Můstek je schovaný zevnitř (od jazyka) — zvenku vidíte jen nový zub.

HORNÝ STREDNÝ + BOČNÝ + OČNÝ ZUB — prierez (tvarový zámek) ▲ VENKU (rty) · ▼ UVNITŘ (jazyk) Okolní zub (kotva) Okolní zub (kotva) KORUNKA MŮSTEK (DentiFlex, 80–85 °C) zámek zámek Vytlačený materiál mezi můstkem a okolními zuby = TVAROVÝ ZÁMEK
HORNÝ STREDNÝ + BOČNÝ + OČNÝ ZUB — pohled zepředu Okolní NOVÝ ZUB Okolní Zvenku vidíte jen korunky. Můstek je schovaný zevnitř.
HORNÝ STREDNÝ + BOČNÝ + OČNÝ ZUB — ohyb můstku ✗ Rovný můstek Trčí ven! Rovný = nesleduje oblouk ✓ Ohnutý můstek (15–25°) Sleduje oblouk ✓ Ohnutý = kopíruje křivku
HORNÝ STREDNÝ + BOČNÝ + OČNÝ ZUB — postup v jednom pohlede 🦷 Korunka 💧 Voda 📦 DentiFlex Změkčit 📏 Můstek ⬇️ Vtlačit 👄 Do úst 🔧 Kontakty 📐 Výška Ztuhnout Hotovo Celkový čas: 30–40 minut

Vizuální princip Denticor

Vizuální postup pro tři sousední zuby v horním oblúku

V horním rade při tří sousedních zubech musí DentiFlex vytvořit spojitú oporu pod všemi korunkami a zároveň se zachytit o okolní zuby. Koláž ukazuje princip výběru korunek, vloženia celku a finálního dotvarovania na místě.

Vizuální postup pro tři sousední zuby v horním oblúku — princip vloženia Denticor můstku s novými zuby a jeho dotvarovania o okolní zuby Vizuální postup pro tři sousední zuby v horním oblúku — princip vloženia Denticor můstku s novými zuby a jeho dotvarovania o okolní zuby Vizuální postup pro tři sousední zuby v horním oblúku — princip vloženia Denticor můstku s novými zuby a jeho dotvarovania o okolní zuby Vizuální postup pro tři sousední zuby v horním oblúku — princip vloženia Denticor můstku s novými zuby a jeho dotvarovania o okolní zuby Vizuální postup pro tři sousední zuby v horním oblúku — princip vloženia Denticor můstku s novými zuby a jeho dotvarovania o okolní zuby Vizuální postup pro tři sousední zuby v horním oblúku — princip vloženia Denticor můstku s novými zuby a jeho dotvarovania o okolní zuby Vizuální postup pro tři sousední zuby v horním oblúku — princip vloženia Denticor můstku s novými zuby a jeho dotvarovania o okolní zuby Vizuální postup pro tři sousední zuby v horním oblúku — princip vloženia Denticor můstku s novými zuby a jeho dotvarovania o okolní zuby
V horním rade při tří sousedních zubech musí DentiFlex vytvořit spojitú oporu pod všemi korunkami a zároveň se zachytit o okolní zuby. Koláž ukazuje princip výběru korunek, vloženia celku a finálního dotvarovania na místě.
Zadní strana můstku býva při horním rade důležitjšia než přední — práve tam se tvorí hlavná stabilita náhrady.

Postup krok za krokem

1

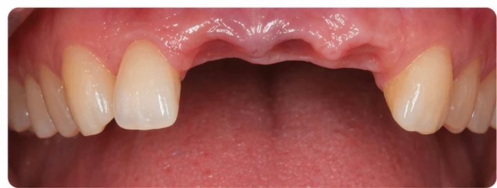
Preskúmajte mezeru — tři zuby v rohu horného oblúka

Otevřete ústa před zrkadlom. Tři zuby chybí — od stredovej línie přes roh oblúka. Vlevo je opačný stredný rezák (tenší, levá kotva), vpravo je první premolár (hrubší, hlavná kotva). Medzera má mierny ohyb tam, kde se přední rovina mení na bočnú.

2

Připravte horkou vodu (80–85 °C)

Uvařte vodu, odstavte z plotny a nechte mírně vychladnout. Voda nesmí vřít. Zkouška: ponoříte prst na dvě sekundy — pokud je to horké, ale ještě snesitelné, teplota je správná.

3

Vysypte většinu DentiFlexu (~6–7 g)

Tři zuby v jednom můstku potřebují dost materiálu — vysypte přibližně tři čtvrtiny lahvičky. Zbytek ponechejte pro případné opravy.

4

Změkčete granulky (1,5–3 minuty)

Granulky vhoďte do horké vody. Za 1,5–3 minuty zmenia farbu z bielej na průhlednú a stanú se měkdokudi. Lžičkou jejich vyjměte a spojte do jedné velké kuličky. Pracujte plynulo — tvarování je komplexnejšie kvůli ohybu, materiál tuhne rychle.

Proč průhlednné? Materiál mení farbu podle stavu — biele granulky = tvrdé. Průhledná hmota = měkká, připravená na tvarování. Když v ústech ztuhne, opět zbeleje.
5

Vytvořte rovný můstek se třemi korunkami

Nejprve vytvorte rovný můstek — ohyb pridáte v dalším kroku. Tři korunky vedle seba zleva doprava: 1) Střední rezák — největší přední horní zub, plochý a široký. 2) Boční řezák — menší než stredný, mírně zaoblený. 3) Očný zub — konický, špičatý nadol. Můstek musí byt rovný a všechny tři pozície v jedné rovine.

6

Ohnite můstek — ohyb 10–20° mezi bočnm rezákom a špičákem zubem

Bod ohybu je mezi bočnm rezákom a špičákem zubem — přesně tam, kde se přední rovina mení na bočnú. Přední čast (stredný + boční rezák) zůstává v přední rovine. Čast s špičákem zubem jemne ohnite dozadu. Uhol je mierny — jen 10–20°. Horní oblúk je v tejto pozici relatívne plytší, takže nemusíte tlačit velký úhel.

7

Vložte můstek sekvenčne — přední konec první

Můstek nemůžete vložit celý najednou kvůli ohybu. Postup: 1) Přední konec priložte k opačnému střednímu rezáku — jemne, je tenší. 2) Navigujte ohyb okolo rohu oblúka. 3) Boční konec priložte k prvému premoláru — pevnější, premolár je hlavná kotva. 4) Přitlačte celý můstek nahor k podnebiu.

8

Dotvarujte zaklesnutí při obou kotvách

Konce můstku jemne přitlačte okolo sousedních zubů, aby vznikll tvarový zámek. Přední konec — při opačnom strednom rezáku — pritláčajte zvlášt jemne. Střední rezák je tenší a krehkejší než premolár, používejte menší tlak. Boční konec — při prvom premoláre — můžete přitlačit pevnější. Premolár je hlavná kotva, unesie tesný kontakt.

Žádné lepidlo. Můstek drží mechanicky — zaklesnutí obejme sousední zuby a tvarový zámek ho stabilizuje na místě.
9

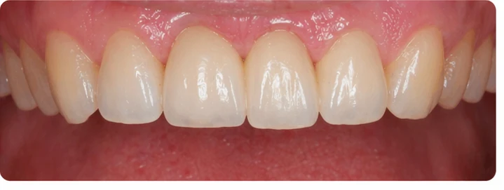
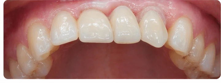
Dotvarujte tvar korunek zvonku

Z vonkajšej strany (od pier) zkontrolujte v zrcadle tvar každej z tří korunek. Střední rezák má byt široký a plochý se zarovnaným okrajom. Boční řezák má byt o něco užší a zaoblenejší. Očný zub má mít zachovaný špičatý hrot smerujúci nadol — je to najtypickejší znak špičáku zubu. Pokud je některý tvar nepřesný, dotvarujte prstami, dokud je materiál ještě měkký.

10

Skontrolujte profil — můstek nesmie trčat

Podívejte se zboku do zrkadla. Můstek musí kopírovat plynulú krivku zubního oblúka — žádný hrb, žádný zub nesmie trčat dopredu ani dovnútra. Pokud některá/é korunka prečnieva, jemne ji zatlačte zpět, dokud je materiál ještě tvárny.

11

Nechte ztuhnout — 3 minuty, nepít!

Můstek tuhne 3 minuty přímo v ústech. Během čekání nepite a nejedzte. Po stuhnutí materiál stabilne drží.

Skúška — vizuálně, skusom, rečou

Před zrkadlom zkontrolujte výšku, tvar a symetriu s opačnou stranou — tři nové zuby musí ladit s vlastnými. Zatnite zuby — žádná korunka nesmie prekážat při skuse. Řekněte A-E-I-O-U — drží? Otevřete ústa dokořán, jako kebyste se od srdca smiali — drží? Hotovo.

Co když se to nepovede napoprvé?

DentiFlex je možné opakovaně zahřívat (80–85 °C) a přetvarovat — nic nemůžete pokazit. Materiál se přitom nepoškodí.

Padá

Příčina: Kontakty/ohyb.

Řešení: Změkčete. Ohnite presnejšie. Tesnejšie.

Praskne

Příčina: Ostrý ohyb.

Řešení: Přidat materiál + jemnejší oblúk.

Péče

Na noc konstrukci vyjímejte. Jednou týdně namočte do ústní vody (Listerine nebo podobné). Na čištění NIKDY nepoužívejte horkou vodu — materiál by změkl. Stačí vlažná voda a měkký kartáček.

Kdy Denticor není vhodný

Pokud máte čerstvou ránu, zánět nebo otok — počkejte na zhojení. Pokud se okolní zuby kývají — Denticor nemá o co se zachytit. V těchto případech nejprve navštivte zubaře.

Související návody

Vaše situace může být trochu jiná:

HORNÍ PŘEDNÍ ŘEZÁK

2/5 obtížnost, 10–15 minut

HORNÍ BOČNÍ ŘEZÁK

2/5 obtížnost, 10–15 minut

HORNÍ ŠPIČÁK

4/5 obtížnost, 15–20 minut

Nevíte, který návod je Váš?

AI diagnostika to zjistí za 2 minuty, vytvoří návod na míru a pořadí nejvhodnější Denticor balení.

Vyzkoušet diagnostiku →

Nepoužívejte Denticor při: čerstvé ráně po extrakci, zánětu dásní, kývajících se zubech. Při pochybnostech nejprve navštivte zubaře.

AI Zjistěte, zda je Denticor pro Vás
Spustit diagnostiku