Chybí mi horní oční + dva premoláry — jako si ho nahradím?

Boční řezák TENKÝ → fazeta na očnom. Stolička HRUBÁ → korunky premolárov. Ohyb ~10–20°.

Horní řada — gravitace táhne dolů, kontakty musí být těsné.

Plus balení doporučené u tří chybějících zubů.

Náročnost

5/5

Čas

30–40 minut

Materiál

DentiFlex, 7 g (většinu lahvičky + PLUS) + DentiFlex, 2 g (lepidlo)

Úspěšnost

75%

Retence

Zaklesnutí nebo fazety

Řada zubů

Horní, zadní/žvýkací zóna

Jak konstrukce drží

Zaklesnutí s korunkami (standard) nebo plochý můstek s fazetami (prémiová estetika). Obě metody fungují — záleží na Vašem balení a preferencích.

Z čeho se konstrukce skládá

Konstrukce se skládá z keramické korunky a můstku z DentiFlex materiálu. Můstek je schovaný zevnitř (od jazyka) — zvenku vidíte jen nový zub.

HORNÝ OČNÝ + DVA PREMOLÁRY — prierez (tvarový zámek) ▲ VENKU (rty) · ▼ UVNITŘ (jazyk) Boční řezák (TENKÝ) Premolár (HRUBÝ) KORUNKY MŮSTEK (DentiFlex, 80–85 °C) zámek zámek Vytlačený materiál mezi můstkem a okolními zuby = TVAROVÝ ZÁMEK
HORNÝ OČNÝ + DVA PREMOLÁRY — pohled zepředu Okolní NOVÝ ZUB Okolní Zvenku vidíte jen korunky. Můstek je schovaný zevnitř.
HORNÝ OČNÝ + DVA PREMOLÁRY — ohyb můstku ✗ Rovný můstek Trčí ven! Rovný = nesleduje oblouk ✓ Ohnutý můstek (15–25°) Sleduje oblouk ✓ Ohnutý = kopíruje křivku
HORNÝ OČNÝ + DVA PREMOLÁRY — Variant A (korunka) vs B (fazeta) Okolní Korunka (A) Fazeta (B) Okolní A: rychlejší, 1 fáze. B: hezčí, 3 fáze. Obě fungují.
HORNÝ OČNÝ + DVA PREMOLÁRY — postup v jednom pohlede 🦷 Korunka 💧 Voda 📦 DentiFlex Změkčit 📏 Můstek ⬇️ Vtlačit 👄 Do úst 🔧 Kontakty 📐 Výška Ztuhnout Hotovo Celkový čas: 30–40 minut

Vizuální princip Denticor

Vizuální postup pro oční zub a dva premoláre hore

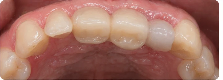
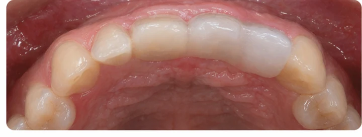
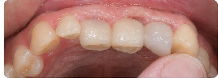
Tato horní kombinácia spája estetickú prednú čast s funkčnejšou bočnou částí. DentiFlex musí obejmout korunky, držet jejich v jedné línii a po vložení vytvořit pevné zachytenie o okolní zuby i směrem k podnebiu.

Vizuální postup pro oční zub a dva premoláre hore — princip vloženia Denticor můstku s novými zuby a jeho dotvarovania o okolní zuby Vizuální postup pro oční zub a dva premoláre hore — princip vloženia Denticor můstku s novými zuby a jeho dotvarovania o okolní zuby Vizuální postup pro oční zub a dva premoláre hore — princip vloženia Denticor můstku s novými zuby a jeho dotvarovania o okolní zuby Vizuální postup pro oční zub a dva premoláre hore — princip vloženia Denticor můstku s novými zuby a jeho dotvarovania o okolní zuby Vizuální postup pro oční zub a dva premoláre hore — princip vloženia Denticor můstku s novými zuby a jeho dotvarovania o okolní zuby Vizuální postup pro oční zub a dva premoláre hore — princip vloženia Denticor můstku s novými zuby a jeho dotvarovania o okolní zuby Vizuální postup pro oční zub a dva premoláre hore — princip vloženia Denticor můstku s novými zuby a jeho dotvarovania o okolní zuby Vizuální postup pro oční zub a dva premoláre hore — princip vloženia Denticor můstku s novými zuby a jeho dotvarovania o okolní zuby
Tato horní kombinácia spája estetickú prednú čast s funkčnejšou bočnou částí. DentiFlex musí obejmout korunky, držet jejich v jedné línii a po vložení vytvořit pevné zachytenie o okolní zuby i směrem k podnebiu.
Pokud můstek sedí správne, náhrada se nevkladá po častiach, ale jako jeden hotový celok.

Postup krok za krokem

1

Vyberte vopred fazetu pro oční zub

Z balení Extra vyjměte jednu fazetu strednej velikosti. Očný zub je menší než stredný rezák, ale větší než boční rezák — fazeta strednej velikosti pasuje. Priložte ji k pozici špičáku zubu před zrkadlom, zkontrolujte tvar. Odložte ji na suché místo, použijete ji až v druhej fáze.

2

Připravte horkou vodu (80–85 °C)

Uvařte vodu, odstavte z plotny a nechte mírně vychladnout. Voda nesmí vřít. Zkouška: ponoříte prst na dvě sekundy — pokud je to horké, ale ještě snesitelné, teplota je správná.

3

Vysypte většinu DentiFlexu (~6–7 g)

Tři zuby v jednom můstku potřebují dost materiálu — vysypte přibližně tři čtvrtiny lahvičky. Zbytek ponechejte pro případné opravy.

4

Změkčete granulky (1,5–3 minuty)

Granulky vhoďte do horké vody. Za 1,5–3 minuty zmenia farbu z bielej na průhlednú a stanú se měkdokudi. Lžičkou jejich vyjměte a spojte do jedné velké kuličky. Pracujte plynulo — tvarování je komplexnejšie kvůli ohybu, materiál tuhne rychle.

Proč průhlednné? Materiál mení farbu podle stavu — biele granulky = tvrdé. Průhledná hmota = měkká, připravená na tvarování. Když v ústech ztuhne, opět zbeleje.
5

Vytvorte hybridný můstek — levá strana plochá, dve korunky napravo

Kuličku roztlačte na dlhú lištu (~5–6 cm). Můstek má tři pozície vedle seba. Vlevo (pozice špičáku zubu) ponechte plochú rovnú prednú stranu — približne 2 cm bez korunky. Tu se později nalepí fazeta. V strede zatlačte korunku prvého premoláru — žvýkací zub s dvěma hrbolky. Napravo zatlačte korunku druhého premoláru — stejná velikost a tvar jako první, takisto s dvěma hrbolky.

6

Ohnite můstek (mierny ohyb ~10–20°)

Bod ohybu je mezi plochou částí (oční zub) a prvou korunkou (premolár) — přesně tam, kde zubní oblúk prechádza z přední do bočnej roviny. Plochú levou čast (k bočnmu rezáku) nechte v přední rovine. Pravú čast s dvěma korunkami (k stoličke) jemne ohnite dozadu. Uhol je mierny — jen 10–20° — protože oční zub je už čiastočne v bočnej pozici.

7

Vložte můstek sekvenčne — levý konec nejdříve

Můstek nemůžete vložit celý najednou, lebo má ohyb. Postup: 1) Levý plochý konec priložte k bočnmu rezáku — jemne, boční rezák je tenší. 2) Navigujte ohyb okolo rohu zubního oblúka. 3) Pravý konec s druhým premolárom priložte k stoličke — pevnější, stolička je silná kotva. 4) Přitlačte celý můstek nahor k podnebiu.

8

Dotvarujte zaklesnutí — extra opatrne při tenšom sousedovi

Konce můstku jemne přitlačte okolo sousedních zubů, aby vznikll tvarový zámek. Levý konec — při bočnom rezáku — pritláčajte zvlášt jemne. Boční řezák je tenký a krehký, používejte menší tlak. Pravý konec — při stoličke — můžete přitlačit pevnější. Stolička je velká, robustná a unesie tesný kontakt.

Žádné lepidlo. Můstek drží mechanicky — zaklesnutí obejme sousední zuby a tvarový zámek ho stabilizuje na místě.
9

Zarovnajte výšku obou korunek premolárov

Zahryznutím zkontrolujte výšku obou korunek premolárov. Žádná korunka nesmie byt výše jako jej proťajšok na opačnej strane. Pravidlo: radšej o něco nižšie než výše — výše korunky tlačia při skuse a bolí to.

10

Nechte ztuhnout — 3 minuty, nepít!

Můstek tuhne 3 minuty přímo v ústech. Během čekání nepite a nejedzte. Připravte si fazetu a DentiFlex PLUS pro druhú fázu — nalepenie fazety na plochú stranu můstku.

11

Vyjměte ztuhlý můstek z úst

Po 3 minutách můstek opatrně vyjměte. Měl by být tvrdý a držet pevný tvar.

12

Připravte DentiFlex PLUS (50–55 °C)

Malé množství, asi 1–2 g. Voda 50–55 °C — nižšia teplota než při DentiFlexe. DentiFlex PLUS je měkčí materiál, určený na nalepenie fazety. Granulky budou za chvílu průhlednné.

13

Nalepte fazetu na plochú stranu (pozice špičáku zubu)

Postup: 1) Osušte plochú prednú stranu můstku. 2) Naneste tenkou vrstvu DentiFlex PLUS na pozici špičáku zubu (levá čast můstku). 3) Priložte fazetu — konvexnou (vyklenutou) stranou von. 4) Přitlačte ji 10 sekund, dokud neprilipne.

14

Vraťte můstek zpět do úst

Stejná orientácia jako předtím — plochá strana s nalepenou fazetou von, korunky von, můstek k jazyku. Vkladajte sekvenčne kvůli ohybu (stejně jako při kroku 7). Přitlačte nahor.

15

Nechte ztuhnout další 3 minuty, nepít!

Po druhej fáze nechte můstek ztuhnout ještě 3 minuty. Nepite, nejedzte. Po stuhnutí drží fazeta pevne na můstku a celá konstrukce je stabilní.

Skúška — vizuálně, skusom, rečou

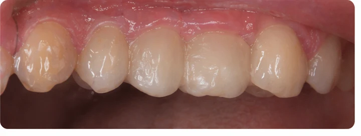
Před zrkadlom zkontrolujte výšku, tvar a symetriu s opačnou stranou — tři nové zuby musí ladit s vlastnými. Zatnite zuby — žádná korunka nesmie prekážat při skuse. Řekněte A-E-I-O-U — drží? Otevřete ústa dokořán, jako kebyste se od srdca smiali — drží? Hotovo.

Co když se to nepovede napoprvé?

DentiFlex je možné opakovaně zahřívat (80–85 °C) a přetvarovat — nic nemůžete pokazit. Materiál se přitom nepoškodí.

Fazeta odpadne

Příčina: Mokrý.

Řešení: Osušit. PLUS.

Padá

Příčina: Kontakty/ohyb.

Řešení: Tesnejšie k stoličke. Ohnite presnejšie.

Praskne

Příčina: Ohyb.

Řešení: Materiál + jemnejší oblúk.

Péče

Na noc konstrukci vyjímejte. Jednou týdně namočte do ústní vody (Listerine nebo podobné). Na čištění NIKDY nepoužívejte horkou vodu — materiál by změkl. Stačí vlažná voda a měkký kartáček.

Kdy Denticor není vhodný

Pokud máte čerstvou ránu, zánět nebo otok — počkejte na zhojení. Pokud se okolní zuby kývají — Denticor nemá o co se zachytit. V těchto případech nejprve navštivte zubaře.

Související návody

Vaše situace může být trochu jiná:

HORNÍ PŘEDNÍ ŘEZÁK

2/5 obtížnost, 10–15 minut

HORNÍ BOČNÍ ŘEZÁK

2/5 obtížnost, 10–15 minut

HORNÍ ŠPIČÁK

4/5 obtížnost, 15–20 minut

Nevíte, který návod je Váš?

AI diagnostika to zjistí za 2 minuty, vytvoří návod na míru a pořadí nejvhodnější Denticor balení.

Vyzkoušet diagnostiku →

Nepoužívejte Denticor při: čerstvé ráně po extrakci, zánětu dásní, kývajících se zubech. Při pochybnostech nejprve navštivte zubaře.

AI Zjistěte, zda je Denticor pro Vás
Spustit diagnostiku