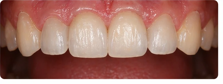
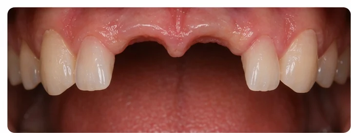
Chybí mi horní dva střední + boční rezák — jako si ho nahradím?

Přes stredovú líniu. Opačný boční rezák TENKÝ → fazeta na jeho strane. Očný zub HRUBÝ → korunky.

Horní řada — gravitace táhne dolů, kontakty musí být těsné.

Plus balení doporučené u tří chybějících zubů.

Náročnost

5/5

Čas

30–40 minut

Materiál

DentiFlex, 7 g (většinu lahvičky + PLUS) + DentiFlex, 2 g (lepidlo)

Úspěšnost

77%

Retence

Zaklesnutí nebo fazety

Řada zubů

Horní, přední zóna

Jak konstrukce drží

Zaklesnutí s korunkami (standard) nebo plochý můstek s fazetami (prémiová estetika). Obě metody fungují — záleží na Vašem balení a preferencích.

Z čeho se konstrukce skládá

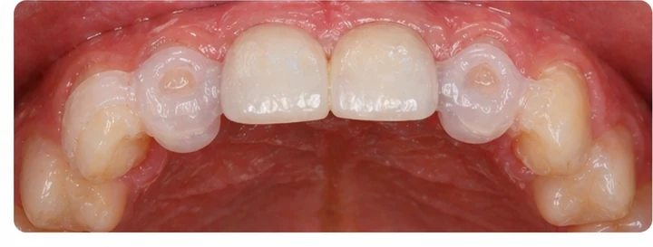
Konstrukce se skládá z keramické korunky a můstku z DentiFlex materiálu. Můstek je schovaný zevnitř (od jazyka) — zvenku vidíte jen nový zub.

HORNÉ DVA STREDNÉ + BOČNÝ REZÁK — prierez (tvarový zámek) ▲ VENKU (rty) · ▼ UVNITŘ (jazyk) Boční řezák (TENKÝ) Premolár (HRUBÝ) KORUNKY MŮSTEK (DentiFlex, 80–85 °C) zámek zámek Vytlačený materiál mezi můstkem a okolními zuby = TVAROVÝ ZÁMEK
HORNÉ DVA STREDNÉ + BOČNÝ REZÁK — pohled zepředu Okolní NOVÝ ZUB Okolní Zvenku vidíte jen korunky. Můstek je schovaný zevnitř.
HORNÉ DVA STREDNÉ + BOČNÝ REZÁK — Variant A (korunka) vs B (fazeta) Okolní Korunka (A) Fazeta (B) Okolní A: rychlejší, 1 fáze. B: hezčí, 3 fáze. Obě fungují.
HORNÉ DVA STREDNÉ + BOČNÝ REZÁK — postup v jednom pohlede 🦷 Korunka 💧 Voda 📦 DentiFlex Změkčit 📏 Můstek ⬇️ Vtlačit 👄 Do úst 🔧 Kontakty 📐 Výška Ztuhnout Hotovo Celkový čas: 30–40 minut

Vizuální princip Denticor

Vizuální postup pro dva sousední horní přední zuby

Při horním rade musí můstek držet dva nové zuby jako jeden celok. DentiFlex obejme korunky ze spodnej i bočnej strany, vloží se do mezery a přímo v ústech se přitlačením a dotvarovaním stabilizuje o okolní zuby.

Vizuální postup pro dva sousední horní přední zuby — princip vloženia Denticor můstku s novými zuby a jeho dotvarovania o okolní zuby Vizuální postup pro dva sousední horní přední zuby — princip vloženia Denticor můstku s novými zuby a jeho dotvarovania o okolní zuby Vizuální postup pro dva sousední horní přední zuby — princip vloženia Denticor můstku s novými zuby a jeho dotvarovania o okolní zuby Vizuální postup pro dva sousední horní přední zuby — princip vloženia Denticor můstku s novými zuby a jeho dotvarovania o okolní zuby Vizuální postup pro dva sousední horní přední zuby — princip vloženia Denticor můstku s novými zuby a jeho dotvarovania o okolní zuby Vizuální postup pro dva sousední horní přední zuby — princip vloženia Denticor můstku s novými zuby a jeho dotvarovania o okolní zuby Vizuální postup pro dva sousední horní přední zuby — princip vloženia Denticor můstku s novými zuby a jeho dotvarovania o okolní zuby Vizuální postup pro dva sousední horní přední zuby — princip vloženia Denticor můstku s novými zuby a jeho dotvarovania o okolní zuby
Při horním rade musí můstek držet dva nové zuby jako jeden celok. DentiFlex obejme korunky ze spodnej i bočnej strany, vloží se do mezery a přímo v ústech se přitlačením a dotvarovaním stabilizuje o okolní zuby.
Horní řadu vyžaduje presnejšie dotvarování zvnútra. Zepředu má zůstat náhrada estetická, vzadu musí byt pevná.

Postup krok za krokem

1

Vyberte vopred fazetu pro stredný rezák při tenšom sousedním zube

Z balení Extra si připravte fazety. Potrebujete jednu větší fazetu — stredný rezák je největší přední zub. Fazeta půjd na pozici středního rezáka, který bude bližší k tenšiemu sousednímu zubu (opačnému bočnmu rezáku). Priložte ji k mezeře — sedí velkostne na pozici jedného středního rezáka? Odložte ji na suché místo, použijete ji až v druhej fáze.

2

Připravte horkou vodu (80–85 °C)

Uvařte vodu, odstavte z plotny a nechte mírně vychladnout. Voda nesmí vřít. Zkouška: ponoříte prst na dvě sekundy — pokud je to horké, ale ještě snesitelné, teplota je správná.

3

Vysypte většinu DentiFlexu (~6–7 g)

Tři zuby v jednom hybridnom můstku potřebují dost materiálu — vysypte približne tři štvrtiny lahvičky. Zvyšok ponechte pro případné opravy.

4

Změkčete granulky (1,5–3 minuty)

Granulky vhoďte do horké vody. Za 1,5–3 minuty zmenia farbu z bielej na průhlednú a stanú se měkdokudi. Lžičkou jejich vyjměte a spojte do jedné velké kuličky. Pracujte plynulo — materiál tuhne rychle.

Proč průhlednné? Materiál mení farbu podle stavu — biele granulky = tvrdé. Průhledná hmota = měkká, připravená na tvarování. Když v ústech ztuhne, opět zbeleje.
5

Vytvorte hybridný můstek — levá strana plochá, pravá s korunkami

Kuličku roztlačte na dlhú lištu (~5–6 cm). Můstek má tři pozície vedle seba. Vlevo (při tenšom sousedním zube) ponechte plochú rovnú prednú stranu — približne 2 cm bez korunky. Tu se později nalepí fazeta. V strede zatlačte korunku středního rezáka — největšieho predného zubu. Napravo zatlačte korunku bočnho rezáka — menšiu, nižšiu, zaoblenú. Můstek musí byt rovný — všechny tři pozície jsou v jedné přední rovine.

6

Vložte můstek do úst — zevnitř

Plochá strana von směrem k perám, korunky také von, zvyšok můstku k jazyku. Vložte celý můstek najednou, ne po častiach. Levý konec ide k opačnému bočnmu rezáku (tenší sousední zub). Pravý konec k očnímu zubu (silnejší sousední zub). Přitlačte můstek nahor k podnebiu.

7

Dotvarujte zaklesnutí — extra opatrne při tenšom sousedovi

Konce můstku jemne přitlačte okolo sousedních zubů, aby vznikll tvarový zámek. Levý konec — při opačnom bočnom rezáku — pritláčajte zvlášt jemne. Boční řezák je tenší a krehkejší než oční zub, proto tu používejte menší tlak. Pravý konec — při očnom zube — můžete přitlačit pevnější. Očný zub je dlouhý a silný, unesie tesný kontakt.

Žádné lepidlo. Můstek drží mechanicky — zaklesnutí obejme sousední zuby a tvarový zámek ho stabilizuje na místě.
8

Zarovnajte výšku korunek

Střední rezák i boční rezák musí byt v symetrii s vlastnými zuby na opačnej strane. Před zrkadlom porovnajte výšku. Zahryznutím zkontrolujte — můstek nesmie prekážat při skuse. Pokud prekáža, jemne dotvarujte.

9

Nechte ztuhnout — 3 minuty, nepít!

Můstek tuhne 3 minuty přímo v ústech. Během čekání nepite a nejedzte. Připravte si fazetu a DentiFlex PLUS pro druhú fázu — nalepenie fazety na plochú stranu můstku.

10

Vyjměte ztuhlý můstek z úst

Po 3 minutách můstek opatrně vyjměte. Měl by být tvrdý a držet pevný tvar.

11

Připravte DentiFlex PLUS (50–55 °C)

Malé množství, asi 1–2 g. Voda 50–55 °C — nižšia teplota než při DentiFlexe. DentiFlex PLUS je měkčí materiál, určený na nalepenie fazety. Granulky budou za chvílu průhlednné.

12

Nalepte fazetu na plochú stranu můstku

Postup:
1) Osušte plochú prednú stranu můstku.
2) Naneste tenkou vrstvu DentiFlexu PLUS na pozici středního rezáka (levá čast můstku).
3) Priložte fazetu — konvexnou (vyklenutou) stranou von.
4) Přitlačte ji 10 sekund, dokud neprilipne.

13

Vraťte můstek zpět do úst

Stejná orientácia jako předtím — plochá strana s nalepenou fazetou von, korunky von, můstek k jazyku. Přitlačte nahor.

14

Nechte ztuhnout další 3 minuty, nepít!

Po druhej fáze nechte můstek ztuhnout ještě 3 minuty. Nepite, nejedzte. Po stuhnutí drží fazeta pevne na můstku a celá konstrukce je stabilní.

Skúška — vizuálně, skusom, rečou

Před zrkadlom zkontrolujte výšku, tvar a symetriu s opačnou stranou — tři nové zuby musí ladit s vlastnými. Zatnite zuby — můstek nesmie prekážat při skuse. Řekněte A-E-I-O-U — drží? Otevřete ústa dokořán, jako kebyste se od srdca smiali — drží? Hotovo.

Co když se to nepovede napoprvé?

DentiFlex je možné opakovaně zahřívat (80–85 °C) a přetvarovat — nic nemůžete pokazit. Materiál se přitom nepoškodí.

Fazeta odpadne

Příčina: Mokrý povrch.

Řešení: Osušit. PLUS znovu.

Padá

Příčina: Kontakty.

Řešení: Tesnejšie k očnímu.

Péče

Na noc konstrukci vyjímejte. Jednou týdně namočte do ústní vody (Listerine nebo podobné). Na čištění NIKDY nepoužívejte horkou vodu — materiál by změkl. Stačí vlažná voda a měkký kartáček.

Kdy Denticor není vhodný

Pokud máte čerstvou ránu, zánět nebo otok — počkejte na zhojení. Pokud se okolní zuby kývají — Denticor nemá o co se zachytit. V těchto případech nejprve navštivte zubaře.

Související návody

Vaše situace může být trochu jiná:

HORNÍ PŘEDNÍ ŘEZÁK

2/5 obtížnost, 10–15 minut

HORNÍ BOČNÍ ŘEZÁK

2/5 obtížnost, 10–15 minut

HORNÍ ŠPIČÁK

4/5 obtížnost, 15–20 minut

Nevíte, který návod je Váš?

AI diagnostika to zjistí za 2 minuty, vytvoří návod na míru a pořadí nejvhodnější Denticor balení.

Vyzkoušet diagnostiku →

Nepoužívejte Denticor při: čerstvé ráně po extrakci, zánětu dásní, kývajících se zubech. Při pochybnostech nejprve navštivte zubaře.

AI Zjistěte, zda je Denticor pro Vás
Spustit diagnostiku