Chybí mi horní dva premoláry + stolička — jako si ho nahradím?

Tři žvýkací zuby. Oba okolní HRUBÉ (oční + stolička). ROVNÝ můstek. Najviac materiálu.

Horní řada — gravitace táhne dolů, kontakty musí být těsné.

Plus balení doporučené u tří chybějících zubů.

Náročnost

5/5

Čas

30–40 minut

Materiál

DentiFlex, 7 g (celou lahvičku+ (Plus NEVYHNUTNÉ))

Úspěšnost

80%

Retence

Zaklesnutí (tvarový zámek)

Řada zubů

Horní, zadní/žvýkací zóna

Jak konstrukce drží

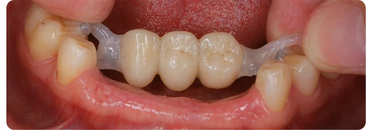
Materiál se po ztuhnutí zaklíní mezi okolní zuby. Žádné lepidlo, žádná chemie — čistě mechanické držení. Můstek zevnitř, korunka zvenku.

Z čeho se konstrukce skládá

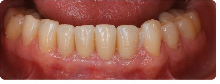
Konstrukce se skládá z keramické korunky a můstku z DentiFlex materiálu. Můstek je schovaný zevnitř (od jazyka) — zvenku vidíte jen nový zub.

HORNÉ DVA PREMOLÁRY + STOLIČKA — prierez (tvarový zámek) ▲ VENKU (rty) · ▼ UVNITŘ (jazyk) Okolní zub (kotva) Okolní zub (kotva) KORUNKY MŮSTEK (DentiFlex, 80–85 °C) zámek zámek Vytlačený materiál mezi můstkem a okolními zuby = TVAROVÝ ZÁMEK
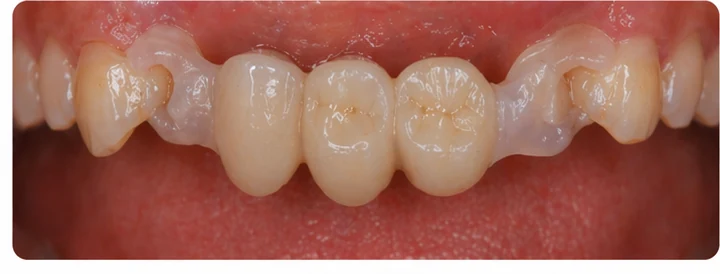
HORNÉ DVA PREMOLÁRY + STOLIČKA — pohled zepředu Okolní NOVÝ ZUB Okolní Zvenku vidíte jen korunky. Můstek je schovaný zevnitř.
HORNÉ DVA PREMOLÁRY + STOLIČKA — postup v jednom pohlede 🦷 Korunka 💧 Voda 📦 DentiFlex Změkčit 📏 Můstek ⬇️ Vtlačit 👄 Do úst 🔧 Kontakty 📐 Výška Ztuhnout Hotovo Celkový čas: 30–40 minut

Vizuální princip Denticor

Vizuální postup pro dva premoláre a stoličku hore

Horní zadní úsek potřebuje pevnú oporu směrem k podnebiu a dobré zachytenie o okolní zuby. Na obrázku je princip, jako se tři nové zuby usadia do jedného můstku a celý celok se následně vloží do mezery.

Vizuální postup pro dva premoláre a stoličku hore — princip vloženia Denticor můstku s novými zuby a jeho dotvarovania o okolní zuby Vizuální postup pro dva premoláre a stoličku hore — princip vloženia Denticor můstku s novými zuby a jeho dotvarovania o okolní zuby Vizuální postup pro dva premoláre a stoličku hore — princip vloženia Denticor můstku s novými zuby a jeho dotvarovania o okolní zuby Vizuální postup pro dva premoláre a stoličku hore — princip vloženia Denticor můstku s novými zuby a jeho dotvarovania o okolní zuby Vizuální postup pro dva premoláre a stoličku hore — princip vloženia Denticor můstku s novými zuby a jeho dotvarovania o okolní zuby Vizuální postup pro dva premoláre a stoličku hore — princip vloženia Denticor můstku s novými zuby a jeho dotvarovania o okolní zuby Vizuální postup pro dva premoláre a stoličku hore — princip vloženia Denticor můstku s novými zuby a jeho dotvarovania o okolní zuby Vizuální postup pro dva premoláre a stoličku hore — princip vloženia Denticor můstku s novými zuby a jeho dotvarovania o okolní zuby
Horní zadní úsek potřebuje pevnú oporu směrem k podnebiu a dobré zachytenie o okolní zuby. Na obrázku je princip, jako se tři nové zuby usadia do jedného můstku a celý celok se následně vloží do mezery.
Při horních zadných zubech býva rozhodujúce zejména to, jako můstek sedí zvnútra a zezadu.

Postup krok za krokem

1

Preskúmajte mezeru — tři žvýkací zuby

Otevřete ústa dokořán a v zrcadle si prezrite mezeru. Vlevo je oční zub (kotva můstku) — konický, posledný ze skupiny předních zubů. Vpravo je druhá stolička (silná zadní kotva) — velký zadní zub. Mezi nimi je široká mezera — celá boční žvýkací zóna chybí: dva premoláry a stolička.

2

Připravte horkou vodu (80–85 °C)

Uvařte vodu, odstavte z plotny a nechte mírně vychladnout. Voda nesmí vřít. Zkouška: ponoříte prst na dvě sekundy — pokud je to horké, ale ještě snesitelné, teplota je správná.

3

Vysypte téměř celou lahvičku DentiFlexu (~7 g a více)

Tři žvýkací zuby + najrobustnejší můstek — toto je scénář s největšou spotrebou materiálu ze všech. Vysypte téměř celou lahvičku.

4

Změkčete granulky (1,5–3 minuty)

Granulky vhoďte do horké vody. Za 1,5–3 minuty zmenia farbu z bielej na průhlednú a stanú se měkdokudi. Lžičkou jejich vyjměte a spojte do jedné velké kuličky. Pracujte plynulo — materiál tuhne rychle.

Proč průhlednné? Materiál mení farbu podle stavu — biele granulky = tvrdé. Průhledná hmota = měkká, připravená na tvarování. Když v ústech ztuhne, opět zbeleje.
5

Vytvorte robustný můstek s tromi korunkami

Kuličku roztlačte na dlhú lištu (~5–6 cm). Můstek má tři korunky vedle seba zleva doprava: 1) Prvý premolár — stredne velká korunka s dvěma hrbolky nahor. 2) Druhý premolár — stejná velikost jako první, takisto dva hrboleky nahor. 3) Stolička — největšia korunka, výrazne větší než premoláry, se čtyřmi hrbolky nahor. Můstek musí byt dost hrubý (~4 mm) — tři žvýkací zuby vyvíjajú velký tlak při jedení.

6

Vložte můstek do úst — zevnitř

Otevřete ústa dokořán. Můstek vložte zvnútra (od jazyka). Korunky smerujú von k lícu, můstek k jazyku. Levý konec (za prvým premolárom) ide k očnímu zubu. Pravý konec (za stoličkou) ide k druhej stoličke. Můstek je rovný — vložte ho celý najednou, ne po častiach. Přitlačte nahor k podnebiu.

7

Dotvarujte zaklesnutí při obou kotvách

Konce můstku jemne přitlačte okolo sousedních zubů, aby vznikll tvarový zámek. Levý konec — při očnom zube — přitlačte pevne, oční zub je vyšší a konický. Pravý konec — při druhej stoličke — přitlačte takisto pevne. Druhá stolička je velká a unesie tesný kontakt. Obě kotvy musí byt tesné — žvýkací zóna nesie při jedení velký tlak.

Žádné lepidlo. Můstek drží mechanicky — zaklesnutí obejme sousední zuby a tvarový zámek ho stabilizuje na místě. Robustný kontakt na obou kotvách je při žvýkacích zubech klíčový.
8

Zarovnajte výšku — kritické na tří pozíciách

Zahryznutím zkontrolujte všechny tři korunky. Tři příliš vysoké žvýkací zuby = tři body bolesti při jedení. Pravidlo: radšej o něco nižšie než výše. Kontrolujte každou korunku zvlášt — při zahryznutí musíte cítit, kde zub prekáža. Pokud prekáža, jemne dotvarujte.

9

Nechte ztuhnout — 3 minuty, nepít!

Můstek tuhne 3 minuty přímo v ústech. Najrobustnejší můstek — počkejte celé 3 minuty, nepite a nejedzte. Materiál se potom stabilne ukotví.

Skúška — žuvaním a rečou

Najdůležitejší test při žvýkacích zubech je zahryznutie: zkuste jemne zatnút zuby — ani jedna z tří korunek nesmie prekážat. Zkuste pomalšie zahryznút na měkký chlieb — drží? Řekněte A-E-I-O-U — žádné pohyby můstku? Hotovo.

Co když se to nepovede napoprvé?

DentiFlex je možné opakovaně zahřívat (80–85 °C) a přetvarovat — nic nemůžete pokazit. Materiál se přitom nepoškodí.

Nedrží / padá

Příčina: Kontakty volné.

Řešení: Změkčete (80–85 °C). Těsnější kontakty.

Bolí při skousnutí

Příčina: Příliš vysoký.

Řešení: Změkčete. Zatlačte hlouběji. Raději nižší.

Ztuhl rychle

Příčina: DentiFlex tuhne rychle.

Řešení: Horká voda (80–85 °C), změkne.

Péče

Na noc konstrukci vyjímejte. Jednou týdně namočte do ústní vody (Listerine nebo podobné). Na čištění NIKDY nepoužívejte horkou vodu — materiál by změkl. Stačí vlažná voda a měkký kartáček.

Kdy Denticor není vhodný

Pokud máte čerstvou ránu, zánět nebo otok — počkejte na zhojení. Pokud se okolní zuby kývají — Denticor nemá o co se zachytit. V těchto případech nejprve navštivte zubaře.

Související návody

Vaše situace může být trochu jiná:

HORNÍ PŘEDNÍ ŘEZÁK

2/5 obtížnost, 10–15 minut

HORNÍ BOČNÍ ŘEZÁK

2/5 obtížnost, 10–15 minut

HORNÍ ŠPIČÁK

4/5 obtížnost, 15–20 minut

Nevíte, který návod je Váš?

AI diagnostika to zjistí za 2 minuty, vytvoří návod na míru a pořadí nejvhodnější Denticor balení.

Vyzkoušet diagnostiku →

Nepoužívejte Denticor při: čerstvé ráně po extrakci, zánětu dásní, kývajících se zubech. Při pochybnostech nejprve navštivte zubaře.

AI Zjistěte, zda je Denticor pro Vás
Spustit diagnostiku