Chybí mi tři dolní zadní zuby — dá se to nahradit?

Tři zadní zuby v dolním rade — náročný scénář, ale v dolním rade realistickejší jako hore. Gravitácia pomáha a konstrukce leží na dásni stabilnejšie.

Hodně materiálu, hodně trpělivosti, ale zvládnutelné. Pokud první pokus nesedí — materiál do horké vody a odznova. Zvládnete to — robte to v pokoji, bez stresu, krok za krokem.

Nároční, ale zvládnutelné. Pokud první pokus nesedí — materiál do horké vody a odznova. Zvládnete to — robte to v pokoji, bez stresu, krok za krokem.

Náročnost

6/10 — náročnější

Čas

30 — 45 minut

Materiál

DentiFlex, 14 — 16 g

Úspěšnost

72 — 80 %

Výdrž

2–6 týdnů

Řada zubů

Dolní, zadní zóna

Proč právě DentiFlex?

Tři zadní zuby = DentiFlex pro maximálnu pevnost, 14 — 16 gramov. V dolním rade gravitace výrazne pomáha oproti hornému. Konstrukce je velká, ale leží na dásni stabilne.

Z čeho se konstrukce skládá

Celá náhrada se skládá z nového zubu a můstku z DentiFlex materiálu. Můstek i zaklesnutí jsou z jednoho kusu — konce můstku prsty vytáhnete a ohnete okolo sousedních zubů.

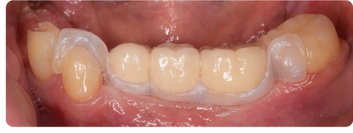
Tři zuby na jednom můstku — pohled zezadu Sousední Sousední ZUB 1 ZUB 2 ZUB 3 MŮSTEK Tři zuby na jednom můstku. Zaklesnutí na obou koncích okolo sousedů.

Vizuální princip Denticor

Vizuální postup pro tři zadní zuby dole

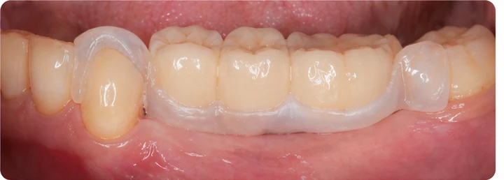
Při tří zadných dolních zubech se pracuje s větššími korunkami a širšou základňou. DentiFlex drží nové zuby jako jeden celok, obopína jejich zospodu a po stranách a po vložení se dotvaruje tak, aby se pevne oprel o okolní zuby.

Vizuální postup pro tři zadní zuby dole — princip vloženia Denticor můstku s novými zuby a jeho dotvarovania o okolní zuby Vizuální postup pro tři zadní zuby dole — princip vloženia Denticor můstku s novými zuby a jeho dotvarovania o okolní zuby Vizuální postup pro tři zadní zuby dole — princip vloženia Denticor můstku s novými zuby a jeho dotvarovania o okolní zuby Vizuální postup pro tři zadní zuby dole — princip vloženia Denticor můstku s novými zuby a jeho dotvarovania o okolní zuby Vizuální postup pro tři zadní zuby dole — princip vloženia Denticor můstku s novými zuby a jeho dotvarovania o okolní zuby Vizuální postup pro tři zadní zuby dole — princip vloženia Denticor můstku s novými zuby a jeho dotvarovania o okolní zuby Vizuální postup pro tři zadní zuby dole — princip vloženia Denticor můstku s novými zuby a jeho dotvarovania o okolní zuby Vizuální postup pro tři zadní zuby dole — princip vloženia Denticor můstku s novými zuby a jeho dotvarovania o okolní zuby
Při tří zadných dolních zubech se pracuje s větššími korunkami a širšou základňou. DentiFlex drží nové zuby jako jeden celok, obopína jejich zospodu a po stranách a po vložení se dotvaruje tak, aby se pevne oprel o okolní zuby.
Toto je princípová vizualizácia. V praxi rozhoduje zejména správná velikost zubů a dostatečná hrúbka můstku.

Postup krok za krokem

1

Vyberte tři nové zuby a vyplňte dutinky

Zadní tvary. Každému vyplňte dutinku materiálom.

2

Připravte si horkou vodu

Ohřejte vodu na 80–85 °C. Nesmí vřít. Jednoduchá zkouška: ponoříte prst na dvě sekundy — pokud je to horké, ale ještě snesitelné, teplota je správná.

3

Změkčete DentiFlex

Odoberte 14 — 16 gramov a vhoďte do horké vody. Za 2 — 3 minuty se granulky stanú průhlednnými a měkdokudi. Spojte jejich do jedné kuličky. DentiFlex tuhne rychlejší jako PLUS — pracujte proto svižne.

Proč průhledné? Materiál mění barvu podle stavu — bílé granulky = tvrdý. Průhledná hmota = měkký, připravený na tvarování. Když v ústech ztuhne, opět zbělá.
4

Vytvořte můstek

Kuličku roztlačte na plochý oblúčik dlouhý asi 6 cm. Toto je můstek — základ, na kterém bude nový zub sediet. Můstek se umisťuje na vnitřnú stranu zubů, teda od jazyka. Zvonku ho nikdo neuvidí — viditelný bude jen nový zub. Masívny můstek — centimeter a pol široký, hrubý.

5

Tři nové zuby do můstku

Všechny tři zuby zatlačte vedle sebe do můstku. Mezi každým nechte kousek materiálu — spojí je dohromady. Všechny musí být ve stejné výšce.

6

Vytvořte zaklesnutí

Zaklesnutí ne jsou žádná samostatná súčiastka — jsou to jednoduše konce toho istého můstku. Uchopte levý konec můstku prstami a vytiahnite ho do jazýčku dlhého asi 1 — 1,5 cm. To isté na pravom konci. Masívne zaklesnutí — dva centimetre, široké. I když gravitace pomáha, tři těžk zuby potřebují pevné uchytenie. Tyto jazýčky potom v ústech ohnete okolo sousedních zubů — obejmou jejich a budou držet celou konstrukci na místě.

Žádné lepidlo, žádná chemie. Celé drží čistě mechanicky — zaklesnutí obepnou sousední zuby a drží na místě.
7

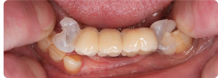
Vložte do úst a tvarujte

Celou konstrukci vložte do mezery v dolní řadě. Palci přitlačte zaklesnutí okolo sousedních zubů. Tvarujte je tak, aby co nejlépe kopírovaly tvar sousedů.

V dolní řadě gravitace pomáhá — konstrukce leží v mezeře místo toho, aby visela. Zaklesnutí nemusí být tak extrémně těsná jako v horní řadě.
8

Zarovnejte výšku

Velmi jemně skusujte — jen natolik, abyste zarovnali nový zub do správné výšky. Nesmí být vyšší než sousední zuby. Pokud je, můstek zatlačte hlouběji.

9

Nechte ztuhnout

Popíjejte studenou vodu, nebo prostě počkejte 2–3 minuty. Materiál ztuhne do trvalého tvaru. Od tohoto momentu drží.

Zkouška úsměvu

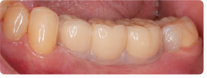
Otevřete ústa dokořán před zrcadlem, jako byste se od srdce smáli. Drží? Výborně, hotovo!

Co když se to nepovede napoprvé?

Vůbec to nevadí. Vhoďte celou konstrukci zpět do horké vody — materiál opět změkne a můžete začít znovu. Nic se neztratí ani neznehodnotí. DentiFlex je možné opakovaně změkčovat a přetvarovávat bez jakékoli ztráty kvality. Materiál je k tomu navržen.

Péče

Na noc zub vyjímejte. Jednou týdně ho namočte do ústní vody (Listerine nebo podobné). Na čištění nikdy nepoužívejte horkou vodu — materiál by změkl a ztratil tvar. Stačí vlažná voda a měkký kartáček.

Kdy Denticor není vhodný

Pokud máte na místě chybějícího zubu čerstvou ránu, zánět nebo otok — počkejte na zhojení. Pokud se sousední zuby kývají — Denticor nemá o co se zachytit. V těchto případech nejprve navštivte zubaře.

Související návody

Vaše situace může být trochu jiná. Podívejte se, zda Vám nesedí některý z těchto scénářů:

Stejná situace v horní řadě?

Tři stoličky nebo premoláry v horním rade — 7/10, 35 — 50 minut

Chybí jen jedna dolní stolička?

Stolička se sousedními zuby z obou stran — 3/10, 15–20 minut

Chybí jen dva dolní zadní zuby?

Dva premoláry nebo premolár a stolička v dolní řadě — 4/10, 25–35 minut

Nevíte, který návod je Váš?

AI diagnostika to zjistí za 2 minuty, vytvoří návod na míru a pořadí nejvhodnější Denticor balení.

Vyzkoušet diagnostiku →

Nepoužívejte Denticor při: čerstvé ráně po extrakci, zánětu dásní, kývajících se zubech, koncových mezerách (bez sousedního zubu z jedné strany).

AI Zjistěte, zda je Denticor pro Vás
Spustit diagnostiku