Chybí mi tři dolní přední zuby — jako si jejich nahradím?

Tři dolní přední zuby — viditelná mezera při rozprávaní a při úsměve zdola. Pocit, že něco chybí, je neustály.

Dolní variant je jednodušší jako horní — gravitace drží konstrukci na místě. Tři malé dolní zuby spotrebujú méně materiálu jako tři horní, a celý proces je stabilnejší.

Výrazne jednodušší jako horní variant. Gravitácia pomáha. Zvládnete to.

Náročnost

5/10 — středně nároční

Čas

25–35 minut

Materiál

DentiFlex, 8–10 g

Úspěšnost

78 — 85 %

Výdrž

3–7 týdnů

Řada zubů

Dolní, přední zóna

Proč právě DentiFlex?

Tři přední dolní zuby = DentiFlex pro přesné tvarování. 8 — 10 gramov materiálu. Dolní řadu je výrazne jednodušší jako horní — gravitace pomáha a konstrukce leží stabilne.

Z čeho se konstrukce skládá

Celá náhrada se skládá z nového zubu a můstku z DentiFlex materiálu. Můstek i zaklesnutí jsou z jednoho kusu — konce můstku prsty vytáhnete a ohnete okolo sousedních zubů.

Tři zuby na jednom můstku — pohled zezadu Sousední Sousední ZUB 1 ZUB 2 ZUB 3 MŮSTEK Tři zuby na jednom můstku. Zaklesnutí na obou koncích okolo sousedů.

Schválený vizuální návod

Jak vypadá náhrada tří dolních předních zubů

Při tří dolních předních zubech se připraví jeden spoločný DentiFlex můstek s tromi vhodne zvolenými korunkami. Obrázky ukazujú princip: nejprve výběr velikosti, potom vytvorenie můstku, vloženie celku a dotvarování při okolních zubech.

Medzera po tří dolních předních zubech 1. Medzera po tří dolních předních zubech

Ukážka dolného radu, kde chybí tři sousední přední zuby. Dáseň musí byt zahojené a bez zánětu.

Kontrola velikosti korunek v mezeře 2. Kontrola velikosti korunek v mezeře

Z 84 korunek se vyberou také tvary, aby zuby vyplnili mezeru prirodzene a po bokoch zůstal prostor pro DentiFlex.

Tvar spoločního můstku 3. Tvar spoločního můstku

Při tří zubech je DentiFlex můstek dlhší než při jednom zube, ale při dolních předních zubech stále nižší a kompaktnejší než v horním rade.

Tři korunky vložené do DentiFlexu 4. Tři korunky vložené do DentiFlexu

Nové zuby se nejprve osadia do měkkého můstku mimo úst jako jeden spoločný celok.

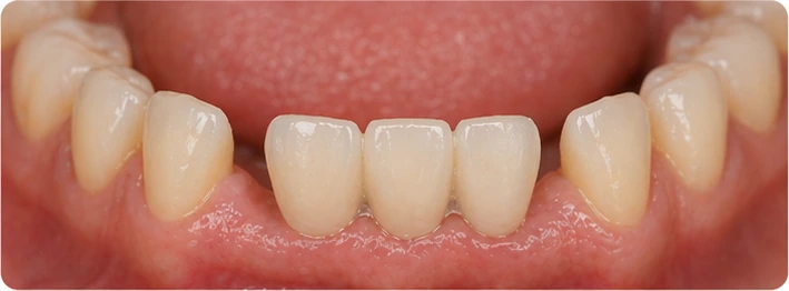
Hotová náhrada mimo úst 5. Hotová náhrada mimo úst

DentiFlex drží tři korunky jako jeden blok. Materiál obopína zuby ze stran i zospodu.

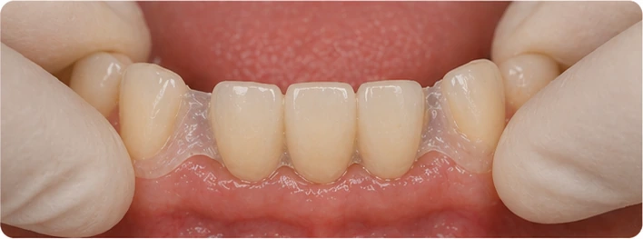
Vloženie celku do dolní mezery 6. Vloženie celku do dolní mezery

Celá trojzubová náhrada se vloží najednou. V dolním rade gravitace pomáha, protože můstek v mezeře prirodzene sedí.

Dotvarování při okolních zubech 7. Dotvarování při okolních zubech

DentiFlex se prstami přitlačí a dotvaruje k sousedním zubem, aby se vytvořila stabilní opora.

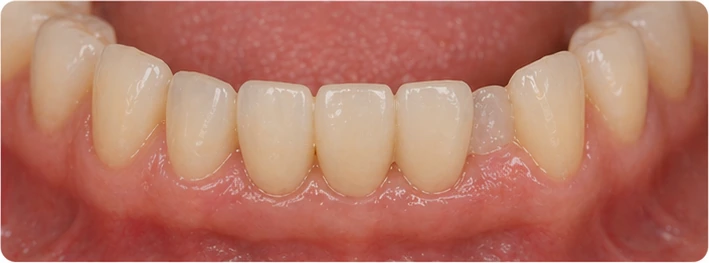
Výsledek po usadení 8. Výsledek po usadení

Zepředu mají byt viditelné zejména nové zuby. DentiFlex může byt jemne viditelný při dásni nebo v bočních kontaktoch.

Obrázky slúžia jako orientačné vysvetlenie principu. Přesná šírka můstku, velikost korunek a množství DentiFlexu se vždy přizpůsobujú konkrétníj mezeře.

Postup krok za krokem

1

Vyberte tři nové zuby

Tři malé přední tvary. Dolní přední zuby jsou nejmenší — i tři vedle seba tvoří pomerne malú mezeru.

2

Připravte si horkou vodu

Ohřejte vodu na 80–85 °C. Nesmí vřít. Jednoduchá zkouška: ponoříte prst na dvě sekundy — pokud je to horké, ale ještě snesitelné, teplota je správná.

3

Změkčete DentiFlex

Odoberte 8 — 10 gramov a vhoďte do horké vody. Za 2 — 3 minuty se granulky stanú průhlednnými a měkdokudi. Spojte jejich do jedné kuličky.

Proč průhledné? Materiál mění barvu podle stavu — bílé granulky = tvrdý. Průhledná hmota = měkký, připravený na tvarování. Když v ústech ztuhne, opět zbělá.
4

Vytvořte můstek

Kuličku roztlačte na plochý oblúčik dlouhý asi 4,5 — 5 cm. Toto je můstek — základ, na kterém bude nový zub sediet. Můstek se umisťuje na vnitřnú stranu zubů, teda od jazyka. Zvonku ho nikdo neuvidí — viditelný bude jen nový zub. Kratší než pro horní tři přední — dolní zuby jsou menšie.

5

Tři nové zuby do můstku

Všechny tři zuby zatlačte vedle sebe do můstku. Mezi každým nechte kousek materiálu — spojí je dohromady. Všechny musí být ve stejné výšce.

6

Vytvořte zaklesnutí

Zaklesnutí ne jsou žádná samostatná súčiastka — jsou to jednoduše konce toho istého můstku. Uchopte levý konec můstku prstami a vytiahnite ho do jazýčku dlhého asi 1 — 1,5 cm. To isté na pravom konci. Kratšie zaklesnutí — asi centimeter a pol. Dolní zuby jsou tesne vedle seba. Tyto jazýčky potom v ústech ohnete okolo sousedních zubů — obejmou jejich a budou držet celou konstrukci na místě.

Žádné lepidlo, žádná chemie. Celé drží čistě mechanicky — zaklesnutí obepnou sousední zuby a drží na místě.
7

Vložte do úst a tvarujte

Celou konstrukci vložte do mezery v dolní řadě. Palci přitlačte zaklesnutí okolo sousedních zubů. Tvarujte je tak, aby co nejlépe kopírovaly tvar sousedů.

V dolní řadě gravitace pomáhá — konstrukce leží v mezeře místo toho, aby visela. Zaklesnutí nemusí být tak extrémně těsná jako v horní řadě.
8

Zarovnejte výšku

Velmi jemně skusujte — jen natolik, abyste zarovnali nový zub do správné výšky. Nesmí být vyšší než sousední zuby. Pokud je, můstek zatlačte hlouběji. Všechny tři na stejné výške.

9

Nechte ztuhnout

Popíjejte studenou vodu, nebo prostě počkejte 2–3 minuty. Materiál ztuhne do trvalého tvaru. Od tohoto momentu drží.

Zkouška úsměvu

Otevřete ústa dokořán před zrcadlem, jako byste se od srdce smáli. Drží? Výborně, hotovo!

Co když se to nepovede napoprvé?

Vůbec to nevadí. Vhoďte celou konstrukci zpět do horké vody — materiál opět změkne a můžete začít znovu. Nic se neztratí ani neznehodnotí. DentiFlex je možné opakovaně změkčovat a přetvarovávat bez jakékoli ztráty kvality. Materiál je k tomu navržen.

Péče

Na noc zub vyjímejte. Jednou týdně ho namočte do ústní vody (Listerine nebo podobné). Na čištění nikdy nepoužívejte horkou vodu — materiál by změkl a ztratil tvar. Stačí vlažná voda a měkký kartáček.

Kdy Denticor není vhodný

Pokud máte na místě chybějícího zubu čerstvou ránu, zánět nebo otok — počkejte na zhojení. Pokud se sousední zuby kývají — Denticor nemá o co se zachytit. V těchto případech nejprve navštivte zubaře.

Související návody

Vaše situace může být trochu jiná. Podívejte se, zda Vám nesedí některý z těchto scénářů:

Stejná situace v horní řadě?

Tři přední zuby v horním rade — 6/10, 30 — 40 minut

Chybí jen jeden dolní přední zub?

Malý přední zub v dolní řadě — 2/10, 10–15 minut

Chybí jen dva dolní přední zuby?

Dva malé přední zuby v dolní řadě — 3/10, 15–25 minut

Nevíte, který návod je Váš?

AI diagnostika to zjistí za 2 minuty, vytvoří návod na míru a pořadí nejvhodnější Denticor balení.

Vyzkoušet diagnostiku →

Nepoužívejte Denticor při: čerstvé ráně po extrakci, zánětu dásní, kývajících se zubech, koncových mezerách (bez sousedního zubu z jedné strany).

AI Zjistěte, zda je Denticor pro Vás
Spustit diagnostiku