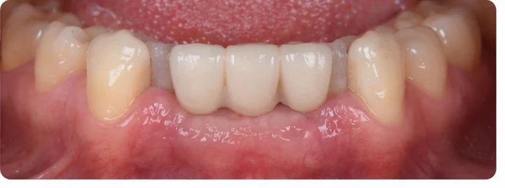
Chybí mi dolní stredný + boční + oční — jako si ho nahradím?

Dolní ekvivalent S24a. Ohyb 10–20°. Gravitácia pomáha.

Gravitace pomáhá — konstrukce leží na dolní řadě.

Plus balení doporučené u tří chybějících zubů.

Náročnost

4/5

Čas

25–30 min

Materiál

DentiFlex, 5,5 g (většinu lahvičky)

Úspěšnost

85%

Retence

Zaklesnutí (tvarový zámek)

Řada zubů

Dolní, přední zóna

Jak konstrukce drží

Materiál se po ztuhnutí zaklíní mezi okolní zuby. Žádné lepidlo, žádná chemie — čistě mechanické držení. Můstek zevnitř, korunka zvenku.

Z čeho se konstrukce skládá

Konstrukce se skládá z keramické korunky a můstku z DentiFlex materiálu. Můstek je schovaný zevnitř (od jazyka) — zvenku vidíte jen nový zub.

DOLNÝ STREDNÝ + BOČNÝ + OČNÝ — prierez (tvarový zámek) ▲ VENKU (rty) · ▼ UVNITŘ (jazyk) Okolní zub (kotva) Okolní zub (kotva) KORUNKA MŮSTEK (DentiFlex, 80–85 °C) zámek zámek Vytlačený materiál mezi můstkem a okolními zuby = TVAROVÝ ZÁMEK
DOLNÝ STREDNÝ + BOČNÝ + OČNÝ — pohled zepředu Okolní NOVÝ ZUB Okolní Zvenku vidíte jen korunky. Můstek je schovaný zevnitř.
DOLNÝ STREDNÝ + BOČNÝ + OČNÝ — ohyb můstku ✗ Rovný můstek Trčí ven! Rovný = nesleduje oblouk ✓ Ohnutý můstek (10–20°) Sleduje oblouk ✓ Ohnutý = kopíruje křivku
Gravitácia: S24a (horní) vs S26a (dolní) HORNÝ STREDNÝ + BOČNÝ + OČNÝ ZUB Konstrukce Gravitace PROTI Táhne dolů — 5/5 Kontakty musí být EXTRA těsné DOLNÝ STREDNÝ + BOČNÝ + OČNÝ Konstrukce Gravitace POMÁHÁ Drží na místě — 4/5
DOLNÝ STREDNÝ + BOČNÝ + OČNÝ — postup v jednom pohlede 🦷 Korunka 💧 Voda 📦 DentiFlex Změkčit 📏 Můstek ⬇️ Vtlačit 👄 Do úst 🔧 Kontakty 📐 Výška Ztuhnout Hotovo Celkový čas: 25–30 min

Vizuální princip Denticor

Vizuální postup pro tři sousední zuby v dolním oblúku

Tři zuby vedle seba v dolní predno-bočnej časti už potřebují dlhší a pevnější můstek. Korunky musí pasovat do prostoru tak, aby po stranách ostal prostor na stabilizační DentiFlex, který se po vložení dotlačí k okolním zubem.

Vizuální postup pro tři sousední zuby v dolním oblúku — princip vloženia Denticor můstku s novými zuby a jeho dotvarovania o okolní zuby Vizuální postup pro tři sousední zuby v dolním oblúku — princip vloženia Denticor můstku s novými zuby a jeho dotvarovania o okolní zuby Vizuální postup pro tři sousední zuby v dolním oblúku — princip vloženia Denticor můstku s novými zuby a jeho dotvarovania o okolní zuby Vizuální postup pro tři sousední zuby v dolním oblúku — princip vloženia Denticor můstku s novými zuby a jeho dotvarovania o okolní zuby Vizuální postup pro tři sousední zuby v dolním oblúku — princip vloženia Denticor můstku s novými zuby a jeho dotvarovania o okolní zuby Vizuální postup pro tři sousední zuby v dolním oblúku — princip vloženia Denticor můstku s novými zuby a jeho dotvarovania o okolní zuby Vizuální postup pro tři sousední zuby v dolním oblúku — princip vloženia Denticor můstku s novými zuby a jeho dotvarovania o okolní zuby Vizuální postup pro tři sousední zuby v dolním oblúku — princip vloženia Denticor můstku s novými zuby a jeho dotvarovania o okolní zuby
Tři zuby vedle seba v dolní predno-bočnej časti už potřebují dlhší a pevnější můstek. Korunky musí pasovat do prostoru tak, aby po stranách ostal prostor na stabilizační DentiFlex, který se po vložení dotlačí k okolním zubem.
Při tejto situaci je důležit, aby byl můstek dostatečně robustný, ale zepředu stále co nejméně nápadný.

Postup krok za krokem

1

Preskúmajte mezeru — tři zuby v rohu

Otevřete ústa. Tři zuby chybí — od stredovej línie přes roh oblúka. Vlevo je opačný stredný rezák (tenký, levá kotva), vpravo je premolár (hrubý, hlavná kotva). Medzera má mierny ohyb — približne 10–20° — tam, kde se přední rovina mení na bočnú.

2

Připravte horkou vodu (80–85 °C)

Uvařte vodu, odstavte z plotny a nechte mírně vychladnout. Voda nesmí vřít. Zkouška: ponoříte prst na dvě sekundy — pokud je to horké, ale ještě snesitelné, teplota je správná.

3

Vysypte většinu DentiFlexu (~5–6 g)

Tři zuby v dolním oblúku potřebují méně materiálu než horní oblúk — dolní přední zuby jsou menšie. Vysypte približne tři štvrtiny lahvičky.

4

Změkčete granulky (1,5–3 minuty)

Granulky vhoďte do horké vody. Za 1,5–3 minuty zmenia farbu z bielej na průhlednú a stanú se měkdokudi. Lžičkou jejich vyjměte a spojte do jedné kuličky. Pracujte plynulo — materiál tuhne rychle.

Proč průhlednné? Materiál mení farbu podle stavu — biele granulky = tvrdé. Průhledná hmota = měkká, připravená na tvarování. Když v ústech ztuhne, opět zbeleje.
5

Vytvořte rovný můstek se třemi korunkami

Nejprve vytvorte rovný můstek — ohyb pridáte v dalším kroku. Tři korunky vedle seba zleva doprava: 1) Střední rezák — největší přední spodný zub, plochý a široký. 2) Boční řezák — menší než stredný, mírně zaoblený. 3) Očný zub — konický, špičatý nahor. Můstek musí byt rovný a všechny tři pozície v jedné rovine.

6

Ohnite můstek (mierny ohyb 10–20°)

Bod ohybu je mezi bočnm rezákom a špičákem zubem — přesně tam, kde se přední rovina mení na bočnú. Přední čast (stredný + boční rezák) zůstává v přední rovine. Čast s špičákem zubem jemne ohnite dozadu. Uhol je mierny — jen 10–20°. Dolní oblúk je plytší než horní, takže nemusíte tlačit velký úhel.

7

Vložte můstek sekvenčne — gravitace pomáha

Můstek nemůžete vložit celý najednou kvůli ohybu. Postup: 1) Přední konec priložte k opačnému střednímu rezáku — jemne, je tenký. 2) Navigujte ohyb okolo rohu oblúka. 3) Boční konec priložte k premoláru — pevnější, premolár je hlavná kotva. 4) Přitlačte celý můstek nadol. Výhoda dolní čelisti: gravitace drží můstek — méně stresu při vkladaní.

8

Dotvarujte zaklesnutí — extra opatrne při tenšom sousedovi

Konce můstku jemne přitlačte okolo sousedních zubů, aby vznikll tvarový zámek. Levý konec — při opačnom strednom rezáku — pritláčajte zvlášt jemne. Střední rezák je v dolním rade tenší a krehkejší. Pravý konec — při premoláre — můžete přitlačit pevnější. Premolár je hlavná kotva, unesie tesný kontakt.

Žádné lepidlo. Můstek drží mechanicky — zaklesnutí obejme sousední zuby a tvarový zámek ho stabilizuje na místě. V dolní čelisti pomáha i gravitace.
9

Dotvarujte konický hrot špičáku zubu

Korunka špičáku zubu je špičatá — má zachovaný konický hrot smerujúci nahor. Skontrolujte v zrcadle, či hrot ostal výrazný a symetrický s špičákem zubem na opačnej strane. Pokud je příliš zaoblený, jemne ho dotvarujte prstami, dokud je materiál ještě měkký.

10

Zarovnajte výšku všech tří korunek

Zahryznutím zkontrolujte výšku všech tří korunek. Žádná nesmie prekážat při skuse — tři prekážajúce zuby způsobjú bolest při jedení. Pravidlo: radšej o něco nižšie než výše.

11

Nechte ztuhnout — 3 minuty, nepít!

Můstek tuhne 3 minuty přímo v ústech. Během čekání nepite a nejedzte. Po stuhnutí materiál stabilne drží.

Skúška — čtyři testy

1) Vizuálne — před zrkadlom zkontrolujte výšku, tvar a symetriu s opačnou stranou. 2) Zhryznutím — zatnite zuby, žádná korunka nesmie prekážat. 3) Rečou — řekněte A-E-I-O-U, drží? 4) Jazykem — projděte jazykem po vnitřnej strane můstku, je hladký a bez ostrých hrán? Hotovo.

Co když se to nepovede napoprvé?

DentiFlex je možné opakovaně zahřívat (80–85 °C) a přetvarovat — nic nemůžete pokazit. Materiál se přitom nepoškodí.

Nedrží / padá

Příčina: Kontakty volné.

Řešení: Změkčete (80–85 °C). Těsnější kontakty.

Ztuhl rychle

Příčina: DentiFlex tuhne rychle.

Řešení: Horká voda (80–85 °C), změkne.

Péče

Na noc konstrukci vyjímejte. Jednou týdně namočte do ústní vody (Listerine nebo podobné). Na čištění NIKDY nepoužívejte horkou vodu — materiál by změkl. Stačí vlažná voda a měkký kartáček.

Kdy Denticor není vhodný

Pokud máte čerstvou ránu, zánět nebo otok — počkejte na zhojení. Pokud se okolní zuby kývají — Denticor nemá o co se zachytit. V těchto případech nejprve navštivte zubaře.

Související návody

Vaše situace může být trochu jiná:

DOLNÍ PŘEDNÍ ŘEZÁK

1/5 obtížnost, 10 minut

DOLNÍ BOČNÍ ŘEZÁK

1/5 obtížnost, 10 minut

DOLNÍ ŠPIČÁK

3/5 obtížnost, 15 minut

Nevíte, který návod je Váš?

AI diagnostika to zjistí za 2 minuty, vytvoří návod na míru a pořadí nejvhodnější Denticor balení.

Vyzkoušet diagnostiku →

Nepoužívejte Denticor při: čerstvé ráně po extrakci, zánětu dásní, kývajících se zubech. Při pochybnostech nejprve navštivte zubaře.

AI Zjistěte, zda je Denticor pro Vás
Spustit diagnostiku