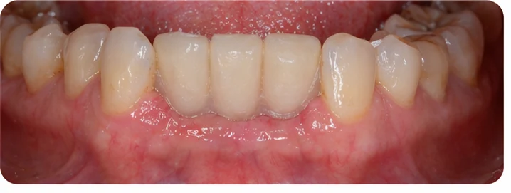
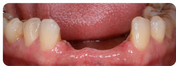
Chybí mi dolní oční + dva premoláry — jako si ho nahradím?

Dolní ekvivalent S25a. BEZ fazety — gravitace kompenzuje.

Gravitace pomáhá — konstrukce leží na dolní řadě.

Plus balení doporučené u tří chybějících zubů.

Náročnost

4/5

Čas

25 min

Materiál

DentiFlex, 5,5 g (většinu lahvičky)

Úspěšnost

85%

Retence

Zaklesnutí (tvarový zámek)

Řada zubů

Dolní, zadní/žvýkací zóna

Jak konstrukce drží

Materiál se po ztuhnutí zaklíní mezi okolní zuby. Žádné lepidlo, žádná chemie — čistě mechanické držení. Můstek zevnitř, korunka zvenku.

Z čeho se konstrukce skládá

Konstrukce se skládá z keramické korunky a můstku z DentiFlex materiálu. Můstek je schovaný zevnitř (od jazyka) — zvenku vidíte jen nový zub.

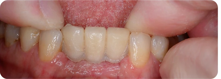
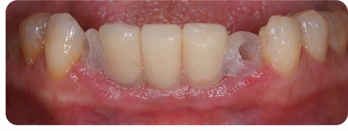
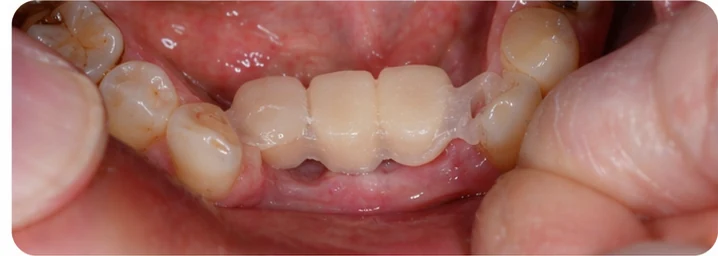
DOLNÝ OČNÝ + DVA PREMOLÁRY — prierez (tvarový zámek) ▲ VENKU (rty) · ▼ UVNITŘ (jazyk) Okolní zub (kotva) Okolní zub (kotva) KORUNKY MŮSTEK (DentiFlex, 80–85 °C) zámek zámek Vytlačený materiál mezi můstkem a okolními zuby = TVAROVÝ ZÁMEK
DOLNÝ OČNÝ + DVA PREMOLÁRY — pohled zepředu Okolní NOVÝ ZUB Okolní Zvenku vidíte jen korunky. Můstek je schovaný zevnitř.
DOLNÝ OČNÝ + DVA PREMOLÁRY — ohyb můstku ✗ Rovný můstek Trčí ven! Rovný = nesleduje oblouk ✓ Ohnutý můstek (10–20°) Sleduje oblouk ✓ Ohnutý = kopíruje křivku
Gravitácia: S25a (horní) vs S27a (dolní) HORNÝ OČNÝ + DVA PREMOLÁRY Konstrukce Gravitace PROTI Táhne dolů — 5/5 Kontakty musí být EXTRA těsné DOLNÝ OČNÝ + DVA PREMOLÁRY Konstrukce Gravitace POMÁHÁ Drží na místě — 4/5
DOLNÝ OČNÝ + DVA PREMOLÁRY — postup v jednom pohlede 🦷 Korunka 💧 Voda 📦 DentiFlex Změkčit 📏 Můstek ⬇️ Vtlačit 👄 Do úst 🔧 Kontakty 📐 Výška Ztuhnout Hotovo Celkový čas: 25 min

Vizuální princip Denticor

Vizuální postup pro oční zub a dva premoláre dole

Přechod z špičáku zubu do bočnho úseku si ptá kombináciu různých tvarov korunek. Můstek musí držet všechny tři zuby najednou a po vložení se tvaruje tak, aby se spolehlivo oprel o okolní zuby v přední i bočnej časti.

Vizuální postup pro oční zub a dva premoláre dole — princip vloženia Denticor můstku s novými zuby a jeho dotvarovania o okolní zuby Vizuální postup pro oční zub a dva premoláre dole — princip vloženia Denticor můstku s novými zuby a jeho dotvarovania o okolní zuby Vizuální postup pro oční zub a dva premoláre dole — princip vloženia Denticor můstku s novými zuby a jeho dotvarovania o okolní zuby Vizuální postup pro oční zub a dva premoláre dole — princip vloženia Denticor můstku s novými zuby a jeho dotvarovania o okolní zuby Vizuální postup pro oční zub a dva premoláre dole — princip vloženia Denticor můstku s novými zuby a jeho dotvarovania o okolní zuby Vizuální postup pro oční zub a dva premoláre dole — princip vloženia Denticor můstku s novými zuby a jeho dotvarovania o okolní zuby Vizuální postup pro oční zub a dva premoláre dole — princip vloženia Denticor můstku s novými zuby a jeho dotvarovania o okolní zuby Vizuální postup pro oční zub a dva premoláre dole — princip vloženia Denticor můstku s novými zuby a jeho dotvarovania o okolní zuby
Přechod z špičáku zubu do bočnho úseku si ptá kombináciu různých tvarov korunek. Můstek musí držet všechny tři zuby najednou a po vložení se tvaruje tak, aby se spolehlivo oprel o okolní zuby v přední i bočnej časti.
Tato kombinácia je mechanicky náročnějšía než čisto přední zuby, proto je pevnost základne klíčová.

Postup krok za krokem

1

Preskúmajte mezeru -- tři různé zuby, mierny ohyb

Otevřete ústa dokořán před zrkadlom. Tři chybějící zuby: oční zub (konický, v rohu oblúka) + dva premoláry (žvýkací, s 2 hrbolky). Medzera prechádza přes ROH oblúka. Mierny ohyb 10-15 stupňov. Boční řezák (levá kotva) je TENKÝ. Druhá stolička/premolár (pravá kotva) je HRUBÝ.

Kontrola: Široká mezera prechádza přes roh. Mierny ohyb viditelný. Tenká kotva vlevo, hrubá vpravo.
Častá chyba: Ignorovat ohyb. Rovný můstek v rohu nesedí.
2

Připravte tři korunky -- různé typy

Korunka 1: ŠPICATÁ s hrotom (oční zub). Korunka 2: s DVA HRBOLČEKMI (první premolár). Korunka 3: s DVA HRBOLČEKMI (druhý premolár). Korunky premolárov jsou větššie než oční. Priložte k mezeře.

Kontrola: Tři různé korunky: špičatá + dve žvýkací. Velkostne sediacé.
Častá chyba: Všechny stejné. Očný zub = špičatý, premoláry = 2 hrboleky.
3

Horká voda 80-85 stupňov

Kanvica, odstavit, 1-2 min. Keramický hrnček. NETESTUJTE prstem.

Kontrola: 80-85 stupňov. Mierne se parí.
Častá chyba: Příliš horká.
4

DentiFlex -- asi polovicu až většinu lahvičky (5-6 g)

Tři zuby vrátane dvou žvýkacích = více materiálu. Asi polovica až většina lahvičky DentiFlex (tvrdší). NIE PLUS.

Kontrola: Střední až větššie množství granuliek.
Častá chyba: Málo materiálu pro tři zuby. Radšej více.
5

Změkčete (1,5-3 min)

Do vody 80-85 stupňov. Biele potom mliečne potom ÚPLNE PRIESVITNÉ. Lžičkou. Kulička.

Kontrola: Priesvitná kulička.
Častá chyba: Vybrat skoro.
6

Vytvorte můstek s troma korunkami -- MIERNY OHYB

Roztlačte na 4-5 cm, asi 3 mm hrubý. Tři korunky: špičatá (oční, vlevo) + dve premolárové (2 hrboleky, vpravo). Nejprve ROVNÝ, potom OHNITE 10-15 stupňov MEDZI špičákem a prvým premolárom -- tam je roh oblúka. NIE ostrý lom -- jemný oblúk. Gravitácia bude kompenzovat i nepřesný ohyb.

Kontrola: Můstek s miernym ohybom. Špičatá korunka vlevo, dve žvýkací vpravo.
Častá chyba: Rovný můstek v rohu nesedí. Ostrý lom praskne.
7

Vložte -- gravitace pomáha, méně stresu

Zvnútra (od jazyka). Špičatá korunka do rohu (pozice špičáku). Dve žvýkací dozadu (pozície premolárov). Gravitácia drží -- výrazne méně stresu než horní ekvivalent S25a.

Kontrola: Ohyb sedí v rohu oblúka. Tři korunky na místě. Gravitácia drží.
Častá chyba: Ohyb mimo roh oblúka.
8

Dotvarujte kontakty

BOČNÝ REZÁK (levá kotva): tenký, menšia plocha -- přitlačte JEMNE. Gravitácia kompenzuje. STOLIČKA/PREMOLÁR (pravá kotva): hrubý -- HLAVNÁ KOTVA -- přitlačte DÔKLADNE. Jazykem zkontrolujte obě strany.

Kontrola: Konstrukce drží sama. Nehýbe sa.
Častá chyba: Silný tlak na tenkou kotvu. Slabý kontakt s hlavnou kotvou.
9

Zarovnajte výšku -- dva žvýkací zuby!

DÔLEŽITÉ: dva premoláry jsou ŽUVACIE. Zahryznutím -- nesmú byt výše než okolní. Radšej o milimeter NIŽŠIE. Očný zub -- hrot mírně dlhší (normálne). Gravitácia stabilizuje, takže přesnější kontrola výšky než při horním ekvivalente.

Kontrola: Zahryznuty pohodlné. Žiaden bodový tlak na premoláry. Hrot v norme.
Častá chyba: Nechat premoláry příliš vysoké -- bolí při jedle.
10

Ztuhnout -- 3 minuty

Gravitácia drží. 3 minuty NEPIŤ. Studenú vodu na urychlénie.

Kontrola: Tvrdé. Ohyb drží tvar.
Častá chyba: Pipat.

Skúška -- žuvanie + estetika

Vizuální: špičatý hrot v rohu + dva premoláry? Zahryznutie: 5x jemne. Žuvanie měkkého jedla. Reč: A-E-I-O-U. Jazyk tlačí -- hýbe sa?

Kontrola: Tři zuby na místě. Žuvanie pohodlné. Drží.
Častá chyba: Pokud padá: kontakty nebo ohyb. Pokud tlačí: výška.

Co když se to nepovede napoprvé?

DentiFlex je možné opakovaně zahřívat (80–85 °C) a přetvarovat — nic nemůžete pokazit. Materiál se přitom nepoškodí.

Nedrží / padá

Příčina: Kontakty volné.

Řešení: Změkčete (80–85 °C). Těsnější kontakty.

Bolí při skousnutí

Příčina: Příliš vysoký.

Řešení: Změkčete. Zatlačte hlouběji. Raději nižší.

Ztuhl rychle

Příčina: DentiFlex tuhne rychle.

Řešení: Horká voda (80–85 °C), změkne.

Péče

Na noc konstrukci vyjímejte. Jednou týdně namočte do ústní vody (Listerine nebo podobné). Na čištění NIKDY nepoužívejte horkou vodu — materiál by změkl. Stačí vlažná voda a měkký kartáček.

Kdy Denticor není vhodný

Pokud máte čerstvou ránu, zánět nebo otok — počkejte na zhojení. Pokud se okolní zuby kývají — Denticor nemá o co se zachytit. V těchto případech nejprve navštivte zubaře.

Související návody

Vaše situace může být trochu jiná:

DOLNÍ PŘEDNÍ ŘEZÁK

1/5 obtížnost, 10 minut

DOLNÍ BOČNÍ ŘEZÁK

1/5 obtížnost, 10 minut

DOLNÍ ŠPIČÁK

3/5 obtížnost, 15 minut

Nevíte, který návod je Váš?

AI diagnostika to zjistí za 2 minuty, vytvoří návod na míru a pořadí nejvhodnější Denticor balení.

Vyzkoušet diagnostiku →

Nepoužívejte Denticor při: čerstvé ráně po extrakci, zánětu dásní, kývajících se zubech. Při pochybnostech nejprve navštivte zubaře.

AI Zjistěte, zda je Denticor pro Vás
Spustit diagnostiku