Chybí mi dolní dva střední + boční — jako si ho nahradím?

Dolní ekvivalent S24b. BEZ fazety — gravitace kompenzuje.

Gravitace pomáhá — konstrukce leží na dolní řadě.

Plus balení doporučené u tří chybějících zubů.

Náročnost

3/5

Čas

20 min

Materiál

DentiFlex, 4,5 g (asi polovinu lahvičky)

Úspěšnost

90%

Retence

Zaklesnutí (tvarový zámek)

Řada zubů

Dolní, přední zóna

Jak konstrukce drží

Materiál se po ztuhnutí zaklíní mezi okolní zuby. Žádné lepidlo, žádná chemie — čistě mechanické držení. Můstek zevnitř, korunka zvenku.

Z čeho se konstrukce skládá

Konstrukce se skládá z keramické korunky a můstku z DentiFlex materiálu. Můstek je schovaný zevnitř (od jazyka) — zvenku vidíte jen nový zub.

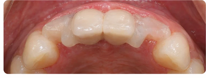
DOLNÉ DVA STREDNÉ + BOČNÝ — prierez (tvarový zámek) ▲ VENKU (rty) · ▼ UVNITŘ (jazyk) Okolní zub (kotva) Okolní zub (kotva) KORUNKY MŮSTEK (DentiFlex, 80–85 °C) zámek zámek Vytlačený materiál mezi můstkem a okolními zuby = TVAROVÝ ZÁMEK
DOLNÉ DVA STREDNÉ + BOČNÝ — pohled zepředu Okolní NOVÝ ZUB Okolní Zvenku vidíte jen korunky. Můstek je schovaný zevnitř.
Gravitácia: S24b (horní) vs S26b (dolní) HORNÉ DVA STREDNÉ + BOČNÝ REZÁK Konstrukce Gravitace PROTI Táhne dolů — 5/5 Kontakty musí být EXTRA těsné DOLNÉ DVA STREDNÉ + BOČNÝ Konstrukce Gravitace POMÁHÁ Drží na místě — 3/5
DOLNÉ DVA STREDNÉ + BOČNÝ — postup v jednom pohlede 🦷 Korunka 💧 Voda 📦 DentiFlex Změkčit 📏 Můstek ⬇️ Vtlačit 👄 Do úst 🔧 Kontakty 📐 Výška Ztuhnout Hotovo Celkový čas: 20 min

Vizuální princip Denticor

Vizuální postup pro dva sousední dolní přední zuby

Tato koláž ukazuje princip pro dva sousední dolní přední zuby: vyberou se širšie korunky, mezi novými zuby a okolními zuby se nechá prostor približne 1 – 2 mm na DentiFlex a celý můstek se po vložení dotvaruje přímo v mezeře.

Vizuální postup pro dva sousední dolní přední zuby — princip vloženia Denticor můstku s novými zuby a jeho dotvarovania o okolní zuby Vizuální postup pro dva sousední dolní přední zuby — princip vloženia Denticor můstku s novými zuby a jeho dotvarovania o okolní zuby Vizuální postup pro dva sousední dolní přední zuby — princip vloženia Denticor můstku s novými zuby a jeho dotvarovania o okolní zuby Vizuální postup pro dva sousední dolní přední zuby — princip vloženia Denticor můstku s novými zuby a jeho dotvarovania o okolní zuby Vizuální postup pro dva sousední dolní přední zuby — princip vloženia Denticor můstku s novými zuby a jeho dotvarovania o okolní zuby Vizuální postup pro dva sousední dolní přední zuby — princip vloženia Denticor můstku s novými zuby a jeho dotvarovania o okolní zuby Vizuální postup pro dva sousední dolní přední zuby — princip vloženia Denticor můstku s novými zuby a jeho dotvarovania o okolní zuby Vizuální postup pro dva sousední dolní přední zuby — princip vloženia Denticor můstku s novými zuby a jeho dotvarovania o okolní zuby
Tato koláž ukazuje princip pro dva sousední dolní přední zuby: vyberou se širšie korunky, mezi novými zuby a okolními zuby se nechá prostor približne 1 – 2 mm na DentiFlex a celý můstek se po vložení dotvaruje přímo v mezeře.
Obrázok je princípový. Přesná šírka korunek a množství DentiFlexu se vždy přizpůsobujú reálnej mezeře.

Postup krok za krokem

1

Najdite tři MALÉ ploché korunky

Vysypte korunky na čistý stůl. Hledáte tři NAJMENŠIE ploché korunky v balení. Dolní přední rezáky jsou nejmenší zuby v ústech. Dva střední rezáky jsou ROVNAKÉ (nejmenší) a jeden boční rezák je NEPATRNE VÄČŠÍ. Priložte k mezeře -- musí byt proporčné s okolními drobnými zuby.

Kontrola: Tři velmi malé ploché korunky. Dva stejné (střední) + jeden nepatrne větší (boční).
Častá chyba: Beriete korunky horních rezákov (větššie). Dolní přední jsou VÝRAZNE menšie.
2

Připravte horúcu vodu 80-85 stupňov

Uvarte kanvicu. Odstavte a POČKAJTE 1-2 MINÚTY. Nalejte do keramického hrnčeka. NETESTUJTE prstem -- při tejto teplotě páli! Materiál po vybraní na prstoch nepáli.

Kontrola: Mierne se parí. 80-85 stupňov.
Častá chyba: Voda hned po varení -- příliš horká, materiál bude tekutý.
3

DentiFlex -- asi polovicu lahvičky (4-5 g)

Z lahvičky DentiFlex (tvrdší) vysypte asi POLOVICU (4-5 g). Tři malé zuby potřebují více materiálu než jeden zub, ale méně než větššie trojice. DentiFlex, NIE DentiFlex.

Kontrola: Asi polovica lahvičky. Střední množství granuliek.
Častá chyba: Příliš hodně (hrubý můstek se nezmestí) nebo příliš málo (tři korunky se neuchytia).
4

Změkčete granulky v horké vode (1,5-3 min)

Granulky do vody 80-85 stupňov. Sledujte zmenu: biele (tvrdé) potom mliečne (ještě ne) potom ÚPLNE PRIESVITNÉ jako sklo (HOTOVÉ). Vyberte LYŽIČKOU. Na dlani nepáli. Spojte do kuličky stláčaním mezi dlaňami.

Kontrola: Priesvitná kulička. Teplá, měkká, poddajná.
Častá chyba: Vybrat příliš skoro (ještě biele/mliečne). Sledujte farbu -- příesvitné = hotové.
5

Vytvorte TENKÝ ROVNÝ můstek s troma malými korunkami

Kuličku roztlačte na TENKÝ oblúčik: asi 4 cm dlouhý, asi 2 mm hrubý, asi 6 mm široký. TENKÝ -- dolní přední zuby jsou drobné, hrubý můstek se nezmestí. Přes stredovú líniu = ROVNÝ můstek (žiaden ohyb). Tři korunky vedle seba: stredný rezák (nejmenší), stredný rezák (stejný), boční rezák (nepatrne větší). Všechny tři plochým hrotom NAHOR.

Kontrola: Tenký rovný můstek s troma drobnými korunkami v rade. Proporčné s okolními zuby.
Častá chyba: Příliš hrubý můstek (nad 3 mm). Dolní přední jsou drobné -- můstek musí byt tenký.
6

Vložte do úst -- gravitace POMÁHA

Můstek ZVNÚTRA (od jazyka). Korunky VON (k perám). Jemne položte do mezery v dolním rade. VÝHODA: gravitace drží konstrukci na místě -- nepadá! Máte více času na tvarování. Střední na stredný, boční k očnímu zubu.

Kontrola: Tři nové drobné zuby v mezeře. Gravitácia drží. Žiaden stres.
Častá chyba: Můstek zvonku (od pier). VŽDY zvnútra, od jazyka.
7

Dotvarujte kontakty -- obě strany

OPAČNÝ BOČNÝ REZÁK (jedna strana): TENKÝ -- jemne přitlačte. Gravitácia kompenzuje tenkou kotvu. OČNÝ ZUB (druhá strana): HRUBÝ, konický -- hlavná kotva. Přitlačte důkladnějšie. Jazykem projděte po obou stranách -- cítite mezeru? Přitlačte.

Kontrola: Konstrukce drží sama. Jazyk necíti mezeru na žádnéj strane.
Častá chyba: Příliš silný tlak na tenkou kotvu (boční rezák). Jemne -- gravitace kompenzuje.
8

Zarovnejte výšku

Jemne zahryznutím. Dolní přední ne jsou primárne žvýkací, ale nesmú prekážat. Podívejte do zrkadla -- tři nové zuby v stejné línii s okolními?

Kontrola: Zahryznuty pohodlné. Tři zuby v stejné výške jako okolní.
Častá chyba: Nechat příliš vysoké.
9

Ztuhnout -- 3 minuty nepít!

Gravitácia drží konstrukci i během tuhnutia. 3 minuty NEPIŤ jazykem. Popíjajte studenú vodu na urychlénie.

Kontrola: Po 3 minútach jazykem cítite TVRDÉ. Nehýbe sa.
Častá chyba: Pipat jazykem.

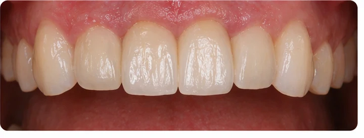
Skúška

Vizuální test: tři drobné zuby na místě? Proporčné? Artikulačný: A-E-I-O-U. Drží? Úsměv: dolní přední viditelné při širokom úsměve. Zahryznutie: 3x jemne zahryznutím. Pohodlné?

Kontrola: Tři nové zuby na místě. Držia při rozprávaní a úsměve.
Častá chyba: Pokud se hýbe do stran -- kontakty. Změkčete, přitlačte tesnejšie.

Co když se to nepovede napoprvé?

DentiFlex je možné opakovaně zahřívat (80–85 °C) a přetvarovat — nic nemůžete pokazit. Materiál se přitom nepoškodí.

Nedrží / padá

Příčina: Kontakty volné.

Řešení: Změkčete (80–85 °C). Těsnější kontakty.

Ztuhl rychle

Příčina: DentiFlex tuhne rychle.

Řešení: Horká voda (80–85 °C), změkne.

Péče

Na noc konstrukci vyjímejte. Jednou týdně namočte do ústní vody (Listerine nebo podobné). Na čištění NIKDY nepoužívejte horkou vodu — materiál by změkl. Stačí vlažná voda a měkký kartáček.

Kdy Denticor není vhodný

Pokud máte čerstvou ránu, zánět nebo otok — počkejte na zhojení. Pokud se okolní zuby kývají — Denticor nemá o co se zachytit. V těchto případech nejprve navštivte zubaře.

Související návody

Vaše situace může být trochu jiná:

DOLNÍ PŘEDNÍ ŘEZÁK

1/5 obtížnost, 10 minut

DOLNÍ BOČNÍ ŘEZÁK

1/5 obtížnost, 10 minut

DOLNÍ ŠPIČÁK

3/5 obtížnost, 15 minut

Nevíte, který návod je Váš?

AI diagnostika to zjistí za 2 minuty, vytvoří návod na míru a pořadí nejvhodnější Denticor balení.

Vyzkoušet diagnostiku →

Nepoužívejte Denticor při: čerstvé ráně po extrakci, zánětu dásní, kývajících se zubech. Při pochybnostech nejprve navštivte zubaře.

AI Zjistěte, zda je Denticor pro Vás
Spustit diagnostiku